相关产品推荐更多 >
万千商家帮你免费找货
0 人在求购买到急需产品
- 详细信息
- 文献和实验
- 技术资料
- 供应商:
上海信裕生物科技有限公司
- 库存:
50
- 克隆性:
多克隆
- 抗原来源:
Rabbit
- 保质期:
一年
- 抗体英文名:
C3/C3a Rabbit Polyclonal Antibody
- 抗体名:
C3/C3a Rabbit Polyclonal Antibody
- 保存条件:
C3/C3a Rabbit Polyclonal Antibody -20ºC保存,Western一抗稀释液-20ºC或4ºC保存,一年有效。Western一抗稀释液优先推荐4ºC保存,长期不使用可以考虑-20ºC保存,但冻融可能会导致出现轻微的浑浊和少量不溶物。
WB, Western blot; IP, Immunoprecipitation; IF, Immunofluorescence; IHC, Immunohistochemistry; ICC, Immunocytochemistry; FC, Flow Cytometry; ChIP, Chromatin Immunoprecipitation Assay; ChIP-seq, ChIP-sequencing.
H, Human; M, Mouse; R, Rat; C, Chicken; Cw, Cow; Dg, Dog; Gp, Guinea pig; Hm, Hamster; Hr, Horse; Mk, Monkey; Pg, Pig; Rb, Rabbit; S, Sheep; Z, Zebrafish; All, all species expected.
配套提供了Western一抗稀释液,可以用于Western检测或其它适当用途时的一抗稀释。
建议抗体使用时的稀释比例如下(实际使用时需根据抗原水平的高低作适当调整):
| WB | IP | IF | IHC | ICC | FC | ChIP | ChIP-seq |
| 1:500-1:2000 | - | 1:50-1:200 | 1:50-1:200 | 1:50-1:200 | - | - | - |
抗体详细信息如下::
| About this Antibody | |
| Name | C3/C3a Rabbit Polyclonal Antibody |
| Category | Rabbit Polyclonal Antibody (pAb); Primary antibody |
| Isotype | IgG |
| Purification method | Affinity purification |
| Positive samples | HepG2, HL-60, HeLa, THP-1, Mouse liver, Rat liver |
| Cellular location | Secreted |
| Customer validation | - |
| About the Immunogen | |
| Immunogen | Recombinant fusion protein of human C3 / C3a (NP_000055.2). |
| Sequence | KVTIKPAPETEKRPQDAKNTMILEICTRYRGDQDATMSILDISMMTGFAPDTDDLKQLANGVDRYISKYELDKAFSDRNTLIIYLDKVSHSEDDCLAFKVHQYFNVELIQPGAVKVYAYYNLEESCTRFYHPEKEDGKLNKLCRDELCRCAEENCFIQKSDDKVTLEERLDKACEPGVDYVYKTRLVKVQLSNDFDEYIMAIEQTIKSGSDEVQVGQQRTFISPIKCREALKLEEKKHYLMWGLSSDFWGEKPNLSYIIGKDTWVEHWPEEDECQDEENQKQCQDLGAFTESMVVFGCPN |
| Gene ID | 718 |
| Swiss Prot | P01024 |
| Synonyms | C3; AHUS5; ARMD9; ASP; C3a; C3b; CPAMD1; HEL-S-62p; Complement Component C3a |
| Category | Complement Activation Pathway |
| Background | Complement Component C3a (C3a) is an anaphylotoxin polypeptide comprising amino acids (aa) 672-748 of the Complement C3 precursor protein. Anaphylatoxins are proteolytically generated from the C3, C4 and C5 alpha chains by convertases formed by other complement fragments. They share 30 - 36% aa identity, and mediate inflammatory responses that vary in strength in the order C5a > C3a > C4a. Like C4a and C5a, the 77 aa, 9 kDa human C3a contains six conserved cysteine residues that form a knot structure and possess an overall basic charge. It is not glycosylated. The C-terminal regions of C3a and C4a, but not C5a, shows antimicrobial activity. Human C3a shows 67-69% aa identity with mouse, rat, guinea pig, bovine, porcine and canine C3a. C3a formation is common to all three pathways of complement activation: classical (antibody-mediated), lectin and alternative. It binds the G-protein coupled C3a receptor (C3aR) on myeloid peripheral blood leukocytes, and on activated lymphocytes, endothelial and internal organ epithelial cells. C3a contributes to both innate and adaptive immunity. It activates mast cells and neutrophils, triggering robust mast cell degranulation in airways during asthmatic allergen challenges. It enhances lipopolysaccharide-induced prostaglandin, cytokine and chemokine secretion by macrophages and other cells. It assists in Th2-type inflammatory reactions and stimulates smooth muscle contraction and leukocyte chemotaxis. Endogenous carboxypeptidase-N can remove the arginine at the C-terminus of the anaphylatoxins to create desArg forms. C3adesArg, also called ASP (Acylation-Stimulating Protein) is an adipocyte-derived protein that binds the C5L2 (GPR77) receptor and stimulates adipose tissue triglyceride synthesis. The anaphylactic activity of ASP is weaker than that of C3a. C5L2 is also involved in C3a and C5a activity. |
包装清单:
| 产品编号 | 产品名称 | 包装 |
| XY-6357 | C3/C3a Rabbit Polyclonal Antibody | 50μl |
| XY-050 | Western一抗稀释液 | 50ml |
| — | 说明书 | 1份 |
保存条件:
C3/C3a Rabbit Polyclonal Antibody -20ºC保存,Western一抗稀释液-20ºC或4ºC保存,一年有效。Western一抗稀释液优先推荐4ºC保存,长期不使用可以考虑-20ºC保存,但冻融可能会导致出现轻微的浑浊和少量不溶物。
注意事项:
如果本抗体用于Western blot (WB)、免疫荧光(IF)、免疫细胞化学(ICC)等实验,请注意回收使用过的稀释抗体。回收的抗体通常至少可以重复使用5-10次。稀释后的抗体,包括已经使用过的稀释抗体,请4℃保存。
回收后重复使用的抗体,使用方法同新鲜稀释的抗体。如果在重复使用过程中发现抗体出现轻微混浊现象,可以10,000g离心1-3分钟,取上清用于后续检测。如果回收的抗体出现明显的絮状物或长霉长菌等情况,则可以考虑废弃该抗体。
提供的Western一抗稀释液也可以用于免疫荧光(IF)、免疫组化(IHC)、免疫细胞化学(ICC)等适当用途。如果希望获得最佳的检测效果,请考虑使用上述检测专用的一抗稀释液。
本产品仅限于专业人员的科学研究用,不得用于临床诊断或治疗,不得用于食品或药品,不得存放于普通住宅内。
为了您的安全和健康,请穿实验服并戴一次性手套操作。
使用说明:
请根据抗体的实际用途选择相应的使用方法。
1. Western检测:
a. 按照推荐的稀释比例用信裕生物提供的Western一抗稀释液稀释抗体。
b. 把经过封闭的蛋白膜与稀释好的一抗4℃缓慢摇动过夜或室温缓慢摇动2小时,确保稀释的抗体至少能在摇动的瞬间覆盖蛋白膜。
c. 回收稀释的一抗,4℃保存以备下次继续使用。
d. 按照Western的实验步骤进行后续的洗涤、二抗孵育、洗涤和检测等操作。
2. 免疫染色:
可以使用信裕生物生产的免疫染色一抗稀释液(P0103)稀释抗体,使用后注意回收稀释好的一抗,
3. 其它实验操作请自行参考适当的protocol进行。
4. 代表性图片:
![]() |
![]() |
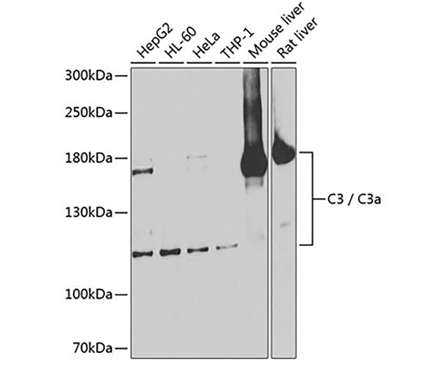
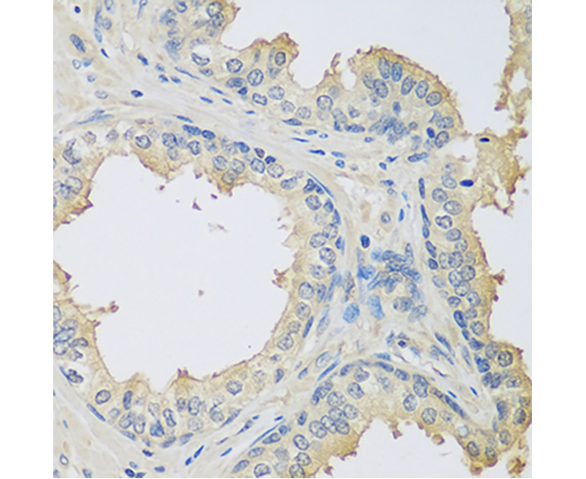
| Fig. 1. Western blot analysis of extracts of various cell lines, using C3 / C3a antibody at 1:1000 dilution. Secondary antibody: HRP-labeled Goat Anti-Rabbit IgG(H+L) (A0208) at 1:1000 dilution. Lysates/proteins: 25µg per lane. Blocking buffer: QuickBlock™ Blocking Buffer (P0231). Detection: BeyoECL Star (P0018A). Exposure time:1s. | Fig. 2. Immunohistochemistry of paraffin-embedded human prostate using C3 / C3a antibody at dilution of 1:100 (40x lens). |
![]() |
|
| Fig. 3. Immunofluorescence analysis of human liver cancer cells using C3 / C3a antibody at dilution of 1:100. Blue: DAPI for nuclear | |
风险提示:丁香通仅作为第三方平台,为商家信息发布提供平台空间。用户咨询产品时请注意保护个人信息及财产安全,合理判断,谨慎选购商品,商家和用户对交易行为负责。对于医疗器械类产品,请先查证核实企业经营资质和医疗器械产品注册证情况。
文献和实验补体成分 C3(C3a/C3b) 补体成分:C3 血清浓度(μg/ml):550-1200 分子量(kDa):195 亚单位(链)及分子量(kDa):α∶110;β∶85 激活产物:C3a;C3b 生物学活性:C3a 过敏毒素、趋化作用等。 C3b 组成CP、AP中的C3、C5转化
上海西唐生物科技有限公司 021-55229872, 65333639 www.westang.com 小鼠补体C3a (C3a)ELISA 试剂盒 ( 用于血清、血浆、细胞培养上清液和尿液、唾液生物体液内 ) 原理 本实验采用双抗体夹心 ABC-ELISA 法。用抗小鼠 C3a 单抗包被于酶标板上,标准品和样品中的 C3a与单抗结合,加入生物素化的抗小鼠 C3a
人补体C3a (C3a)ELISA 试剂盒 ( 用于血清、血浆、细胞培养上清液和其它生物体液内 ) 原理 本实验采用双抗体夹心 ABC-ELISA 法。用抗人 C3a 单抗包被于酶标板上,标准品和样品中的 C3a与单抗结合,加入生物素化的抗人 C3a ,形成免疫复合物连接在板上,辣根过氧化物酶标记的 Streptavidin 与生物素结合,加入
技术资料暂无技术资料 索取技术资料










