相关产品推荐更多 >
万千商家帮你免费找货
0 人在求购买到急需产品
- 详细信息
- 文献和实验
- 技术资料
- 库存:
50
- 英文名:
PreScript One-Step RT-PCR Kit
- 保质期:
二年
- 供应商:
上海泽叶生物科技有限公司
- 保存条件:
-20℃保存
- 规格:
50rxn/100rxn
产品概述
PreScript One-Step RT-PCR Kit采用了一步(One Step)RT-PCR 法。RNA→cDNA→PCR一管式反应,中途不需开盖添加任何试剂,降低污染风险。反转录反应使用了英赞特别开发的新型反转录酶PreScript Ⅲ Reverse Transcriptase。该反转录酶对具有复杂二级结构的 RNA 模板也具有很强的延伸能力;PCR 反应使用了扩增性能优越的Hot Start型DNA聚合酶C-SsoRobust Taq DNA Polymerase,大大提高了本试剂盒的扩增性能和反应特异性。
在本试剂盒中,已将PreScript Ⅲ Reverse Transcriptase、C-SsoRobust Taq DNA Polymerase、RNase Inhibitor 以及 One Step RT-PCR 用稳定剂等配制成了预混型的Prescript One-Step Enzyme Mix;同时把反应用Buffer、dNTP以及Enhancer Solution配制成了预混型的2× One-Step RT-PCR Buffer的形式,简化了反应液配制过程。反转录温度可以设定为50℃,能够有效抑制非特异性扩增,可对RNA进行高效的RT-PCR扩增。
产品内容
| 组分 | ZY035A | ZY035B |
| Prescript One-Step Enzyme Mix | 100 μL | 400 μL |
| 2× One-Step RT-PCR Buffer | 625 μL× 2 | 1.25 mL× 2 |
| Control F-1 Primer(20 μM) | 20 μL | 80 μL |
| Control R-1 Primer(20 μM) | 20 μL | 80 μL |
| Positive Control RNA | 20 μL | 80 μL |
| RNase Free ddH2O | 625 μL× 2 | 1.25 mL× 2 |
产品优势
扩增能力强:该试剂盒扩增长至3 kb基因片段,产物可用于TA克隆
检测灵敏度高:可检测低至10 pg的Total RNA,满足RNA检测的需求
操作简便:一管式反应,最大程度减少移液次数,避免操作失误 及交叉污染
实验案例
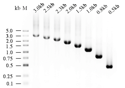
1. 扩增能力及灵敏度
以Hela细胞来源的20 ng Total RNA为模板,扩增片段长度为0.5 kb~3.0 kb的基因片段,结果表明,本产品可轻松扩至3 kb,且无明显非特异产生。
将人293T细胞来源的100 ng Total RNA进行10倍梯度稀释,共5个梯度(100 ng~10 pg),扩增基因为GAPDH,片段长度为0.8 kb的基因片段,实验结果表明,PreScript One-Step RT-PCR Kit检测限低至10 pg。
应用范围
一步法RT-PCR、病毒RNA检测、TA克隆
产品存储
-20℃保存
风险提示:丁香通仅作为第三方平台,为商家信息发布提供平台空间。用户咨询产品时请注意保护个人信息及财产安全,合理判断,谨慎选购商品,商家和用户对交易行为负责。对于医疗器械类产品,请先查证核实企业经营资质和医疗器械产品注册证情况。
文献和实验This protocol uses C. therm. Polymerase One-Step RT-PCR system from Roche. 1. Setup master mix 1: 25 mM dNTP 0.8 m l DMSO
Two-Step RT-PCR protocol We will provide both one-step and two-step protocols for RT -PCR . We recommend the two-step protocol for this class. In the one-step protocol, the components of RT and PCR are mixed in a single tube
using the AllPrep DNA/RNA 96 Kit. Real-time RT-PCR analysis of the PGK1 transcript was performed using a primer-probe set that could amplify and detect both mRNA and genomic DNA sequences. The flat amplification plot for the no RT control (-RT) indicates
技术资料暂无技术资料 索取技术资料










