相关产品推荐更多 >
万千商家帮你免费找货
0 人在求购买到急需产品
- 详细信息
- 询价记录
- 文献和实验
- 技术资料
- 提供商:
中科光华(西安)智能生物科技有限公司
- 服务名称:
组织芯片
| 芯片编号: | D260701 | |||||||||
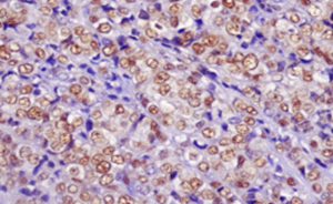
| 芯片说明: | 胰腺癌组织芯片 | |||||||||
| 样本描述: | 检测组含24例胰腺导管腺癌组织,对照组设胰腺导管腺癌2例 | |||||||||
| 取样方式: | 一例一点 | |||||||||
| 点数: | 26 | |||||||||
| 例数: | 24 | |||||||||
| 点样直径: | 1.5mm | |||||||||
| 组织固定方式: | 福尔马林固定24h | |||||||||
| QA/QC: | IHC | |||||||||
| 检测组 | 对照组 | |||||||||
| 1 | 2 | 3 | 4 | 5 | 6 | |||||
| A | 导管腺癌II级 | 导管腺癌II级 | 导管腺癌II级 | 导管腺癌II级 | 导管腺癌II级 | |||||
| B | 导管腺癌II级 | 导管腺癌II级 | 导管腺癌II级 | 导管腺癌II级 | 导管腺癌II-III级 | |||||
| C | 导管腺癌II级 | 导管腺癌III级 | 导管腺癌II级 | 导管腺癌II级 | 导管腺癌II-III级 | |||||
| D | 导管腺癌III级 | 导管腺癌III级 | 导管腺癌III级 | 导管腺癌I-II级 | 导管腺癌III级 | 导管腺癌II-III级 | ||||
| E | 导管腺癌III级 | 导管腺癌III级 | 导管腺癌III级 | 导管腺癌III级 | 导管腺癌III级 | |||||
风险提示:丁香通仅作为第三方平台,为商家信息发布提供平台空间。用户咨询产品时请注意保护个人信息及财产安全,合理判断,谨慎选购商品,商家和用户对交易行为负责。对于医疗器械类产品,请先查证核实企业经营资质和医疗器械产品注册证情况。
- 作者
- 内容
- 询问日期
文献和实验指DNA双链的局部,由具有互补性单链 DNA与之结合所产生的环状结构。当 DNA复制开始,在原来的双链中仅一方被新合成的短 DNA单链被置换的情况下可以见到(为 Displacement loop之简称)。可通过人工使 DNA单链结合来制成此结构。由 RNA单链所产生的类似结构称为 R环。
组织芯片 组织 芯片技术又称组织微阵列(tissue microarray,TMA),是近年来发展起来的以形态学为基础的分子生物学新技术,是一种高通量、多样本的分析工具。它是将数十个甚至上千个微小组织片整齐排列在一张载玻片上而制成的高通量组织切片,形成微阵列,将标记特定基因的核酸探针或抗体探针与之杂交,以检测该基因在不同组织中的表达情况。因此组织芯片是传统核酸原位杂交或免疫组织化学实验的集成,核酸原位杂交或免疫组织化学一次检测一个基因在一种
of each component.2D gel electrophoresis is generally used as a component of proteomics and is the step used for the isolation of proteins for further characterisation by mass spectroscopy. In the lab this technique is used for 2 main purposes, firstly for the large
技术资料









