相关产品推荐更多 >
万千商家帮你免费找货
0 人在求购买到急需产品
- 详细信息
- 询价记录
- 文献和实验
- 技术资料
- 提供商:
中科光华(西安)智能生物科技有限公司
- 服务名称:
组织芯片
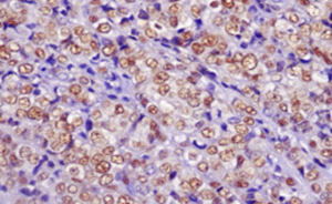
| 芯片编号: | X096Mc02 | ||||||||||||||
| 芯片名称: | 多器官肿瘤及匹配或不匹配的边缘组织芯片 | ||||||||||||||
| 芯片说明: |
多器官肿瘤及匹配或不匹配的边缘组织微阵列,包含22种器官 的肿瘤和边缘组织(甲状腺、骨骼肌、前列腺、淋巴结、肺、喉、 胃、食道、小肠、结肠、直肠、肝脏、胆囊、胰腺、舌、乳腺、 子宫、宫颈、卵巢、大脑、肾脏、膀胱、),一块一点 |
||||||||||||||
| 取样方式: | 一例一点 | ||||||||||||||
| 点数: | 96 | ||||||||||||||
| 例数: | 65 | ||||||||||||||
| 点样直径: | 1.5mm | ||||||||||||||
| 检测片库存: | 20 | ||||||||||||||
| 预实验片库存: | 20 | ||||||||||||||
| H&E染色片库存: | 20 | ||||||||||||||
| 组织固定方式: | 福尔马林固定24h | ||||||||||||||
| QA/QC: | HE染色和IHC染色 | ||||||||||||||
| 应用: |
常规组织学操作包括免疫组织化学(IHC)和原位杂交(ISH), 可以在我们的技术支持页面找到操作流程。 |
||||||||||||||
| 注意事项: |
1.收到产品后请在4°保存,并在3个月内使用; 2.请在实验前60°烤片30分钟; 3.请选择温和的修复方式,以免造成组织脱落。 |
||||||||||||||
风险提示:丁香通仅作为第三方平台,为商家信息发布提供平台空间。用户咨询产品时请注意保护个人信息及财产安全,合理判断,谨慎选购商品,商家和用户对交易行为负责。对于医疗器械类产品,请先查证核实企业经营资质和医疗器械产品注册证情况。
- 作者
- 内容
- 询问日期
文献和实验范围与光电倍增管光阴及不匹配;c. 计数器的光电倍增管光阴极对于较长波长的光谱响应比较好;d. 测量的样品在近紫外区有明显的吸收。 常用的第二闪烁体有:1,4,双2(5苯基恶唑)苯(POPOP)它的溶介度小,在甲苯系统为1.2克/升,在二氧六环中为1.5克/升。溶介速度慢,通常需加热促其溶介,它是目前普遍使用的第二闪烁体。1,4双2(4-甲基-5-苯基恶唑基)-苯(DMPOPOP):它的溶介度比POPOP大,在甲苯系列内为2.3克/升,在二氧六环内是0.8克/升,溶介速度也快,但没有
1分钟。通常将样品杯置入NIR光谱仪内,每秒进行5次扫描;一般扫描50次求得平均值制得最后的光谱,继之将光谱数据进行加工以作数据的定量或定性的解释。通常一次NIR分析仅需2~3分钟。 (一)用于鉴别:目前常用的是借助于计算机辅助的光谱匹配法(Spectral matching),就是将供试药物的光谱和存贮于机内的参比光谱进行对比并计算出“匹配系数(Match index,M.I.)”。若M.I.越接近1.000,则这两个光谱越是匹配;而当M.I.接近于0.000时,则为极不匹配。有时会出现负值
、干燥与消毒,培养基与其他试剂的配制、分装及灭菌,无菌室或超净台的清洁与消毒,培养箱及其他仪器的检查与调试。二、取材 在无菌环境下从机体取出某种组织细胞(视实验目的而定),经过一定的处理(如消化分散细胞、分离等)后接入培养器血中,这一过程称为取材。如是细胞株的扩大培养则无取材这一过程。机体取出的组织细胞的首次培养称为原代培养。理论上讲各种动物和人体内的所有组织都可以用于培养,实际上幼体组织(尤其是胚胎组织)比成年个体的组织容易培养,分化程度低的组织比分化高的容易培养,肿瘤组织比正常组织容易培养。取材











