相关产品推荐更多 >
万千商家帮你免费找货
0 人在求购买到急需产品
- 详细信息
- 文献和实验
- 技术资料
- 免疫原:
Human placental laminin.
- 亚型:
IgG2b
- 形态:
Liquid
- 保存条件:
Store as concentrated solution. Centrifuge briefly prior to opening vial. For short-term storage (1-2 weeks), store at 4℃. For long-term storage, aliquot and store at -20℃ or below. Avoid multiple freeze-thaw cycles.
- 克隆性:
Monoclonal
- 标记物:
Unconjugated
- 适应物种:
Human
- 保质期:
12 months from the shipping date of the product.
- 抗原来源:
Human
- 目录编号:
GTX17688
- 级别:
Primary Antibodies
- 库存:
Available
- 供应商:
GeneTex
- 宿主:
Mouse
- 应用范围:
WB, IHC-Fr, IP, ELISA, Purification
- 浓度:
Batch dependent(Please refer to the vial label for the specific concentration.)
- 靶点:
Laminin 511
- 抗体英文名:
Laminin 511 antibody [12D]
- 抗体名:
Laminin 511 抗体 [12D]
- 规格:
100 μl
Protein structure of laminin-511
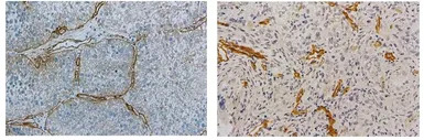
IHC-Fr analysis of lung cancer (SCC and ADC) tissue using GTX17688 Laminin 511 antibody [12D].
Left panel : Lung squamous cell carcinoma (SCC)
Right panel : lung adenocarcinoma (ADC)
IHC-Fr analysis of normal mammary gland using GTX17688 Laminin 511 antibody [12D].
Black arrows : Vascular basement membrane
White arrowheads : Mammary gland basement membrane
WB analysis of recombinant human intact laminin-511 (Lm511, containing consisting of alpha5, beta 1 and gamma 1 chains ) protein under non-reducing conditions using GTX17688 Laminin 511 antibody [12D].
Dilution : 1:1000
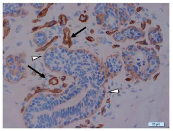
IHC-Fr analysis of non-invasive breast carcinoma tissue using GTX17688 Laminin 511 antibody [12D].
Image A : Vascular basement membrane
Image B : Mammary gland basement membrane
Image C : Basement membrane-like structures surrounding tumor cells
ELISA anaiysis of seven recombinant human laminins using GTX17688 Laminin 511 antibody [12D].
风险提示:丁香通仅作为第三方平台,为商家信息发布提供平台空间。用户咨询产品时请注意保护个人信息及财产安全,合理判断,谨慎选购商品,商家和用户对交易行为负责。对于医疗器械类产品,请先查证核实企业经营资质和医疗器械产品注册证情况。
文献和实验PMID: 24737780, 2014
技术资料暂无技术资料 索取技术资料


![Laminin 511 antibody [12D]](https://img1.dxycdn.com/2022/0328/146/0664482537295700453-14.jpg)


![Influenza A virus Nucleoprotein antibody [B247M]](https://img1.dxycdn.com/2022/0328/899/2447893991393400453-14.jpg!wh200)




