相关产品推荐更多 >
万千商家帮你免费找货
0 人在求购买到急需产品
- 详细信息
- 文献和实验
- 技术资料
- 免疫原:
Purified recombinant fragment of human CRP expressed in E. Coli.
- 亚型:
IgG1
- 形态:
Liquid
- 保存条件:
Store as concentrated solution. Centrifuge briefly prior to opening vial. For short-term storage (1-2 weeks), store at 4ºC. For long-term storage, aliquot and store at -20ºC or below. Avoid multiple freeze-thaw cycles.
- 克隆性:
Monoclonal
- 标记物:
Unconjugated
- 适应物种:
Human
- 保质期:
12 months from the shipping date of the product.
- 抗原来源:
Human
- 目录编号:
GTX60566
- 级别:
Primary Antibodies
- 库存:
Available
- 供应商:
GeneTex
- 宿主:
Mouse
- 应用范围:
WB, IHC-P, FACS, ELISA
- 靶点:
C Reactive Protein
- 抗体英文名:
C Reactive Protein antibody [1G1]
- 抗体名:
C Reactive Protein 抗体 [1G1]
- 规格:
100 μl
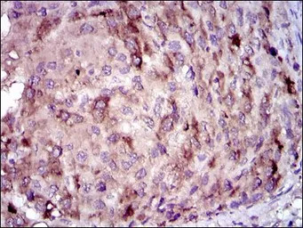
IHC-P analysis of liver cancer tissue using GTX60566 C Reactive Protein antibody [1G1].
WB analysis of human CRP recombinant protein using GTX60566 C Reactive Protein antibody [1G1].
FACS analysis of MCF-7 cells using GTX60566 C Reactive Protein antibody [1G1].
Green : C Reactive Protein
Red : negative control
ELISA analysis of antigen using GTX60566 C Reactive Protein antibody [1G1].
Black : Control antigen 100ng
Purple : Antigen 10ng
Blue : Antigen 50ng
Red : Antigen 100ng
风险提示:丁香通仅作为第三方平台,为商家信息发布提供平台空间。用户咨询产品时请注意保护个人信息及财产安全,合理判断,谨慎选购商品,商家和用户对交易行为负责。对于医疗器械类产品,请先查证核实企业经营资质和医疗器械产品注册证情况。
文献和实验Combined 3C-ChIP-Cloning (6C) Assay: A Tool to Unravel Protein-Mediated Genome Architecture
between chromatin elements without specifically identifying the protein components that mediate such interactions. Here we describe a detailed protocol for C ombined 3C -C hIP-C loning (6C) technology, which combines multiple techniques to identify the proteins
ANTIBODY BINDING TO PROTEIN A AND PROTEIN G
., Finstad, J., Williams, Jr., R. C. 1970. Phylogenetic insight into evolution of mammalian Fc fragment of g G globulin using staphylococcal protein A. J. Immunol. 104:140-147. Kronvall, G. 1973. A surface component in group A, C, and G streptococci
Protein A Purification of Antibody
, overnight, 2-8o C. Re-equilibrate column with Binding Buffer. Store column at 2-8o C. Determine protein concentration of Ab, aliquot, and store at -20o C. Note Extinction Coefficient for IgG
技术资料暂无技术资料 索取技术资料







![SUPV3L1 antibody [GT244]](https://img1.dxycdn.com/2022/0329/347/3431100669365020453-14.jpg!wh200)



