相关产品推荐更多 >
万千商家帮你免费找货
0 人在求购买到急需产品
- 详细信息
- 询价记录
- 文献和实验
- 技术资料
- 免疫原:
CD63 molecule
- 亚型:
IgG
- 形态:
liquid
- 保存条件:
-20℃ 12月
- 克隆性:
polyclonal
- 标记物:
未标记
- 适应物种:
Human, Mouse, Rat
- 保质期:
-20℃ 12月
- 抗原来源:
CD63 molecule
- 目录编号:
FNab01490
- 级别:
科研
- 库存:
100
- 供应商:
武汉菲恩生物科技有限公司
- 宿主:
Rabbit
- 应用范围:
ELISA, IHC, WB
- 靶点:
CD63
- 抗体英文名:
CD63 antibody
- 抗体名:
CD63抗体
- 规格:
50ug/100ug
| 规格: | 50ug | 产品价格: | ¥900.0 |
|---|---|---|---|
| 规格: | 100ug | 产品价格: | ¥1500.0 |

产品介绍
| 产品名称 | CD63 antibody |
| 中文名称 | CD63抗体 |
| 货号 | FNab01490 |
| 规格 | 50ug/100ug |
| 宿主 | Rabbit |
| 反应种属 | Human, Mouse, Rat |
| 验证应用 | ELISA, IHC, WB |
| 状态 | liquid |
| 纯化方法 | Immunogen affinity purified |
| 纯度 | ≥95% as determined by SDS-PAGE |
| 克隆性 | polyclonal |
| 亚型 | IgG |
| 免疫原 | CD63 molecule |
| 免疫原别称 | CD63 antigen|Granulophysin|Lysosomal-associated membrane protein 3 (LAMP-3)|Lysosome integral membrane protein 1 (Limp1)|Melanoma-associated antigen ME491|OMA81H|Ocular melanoma-associated antigen|Tetraspanin-30 (Tspan-30)|CD63|MLA1|TSPAN30 |
| Uniprot ID | P08962 |
| 分子量 | 26-60 kDa |
| 建议稀释比例 | WB: 1:500 - 1:2000; IHC: 1:50 - 1:200 |
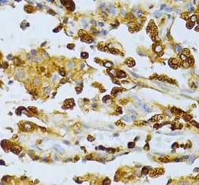
| 验证图片 | Immunohistochemistry of paraffin-embedded human lung cancer using FNab01490( CD63 Antibody) at dilution of 1:100 heat mediated antigen retrieved with Tris-EDTA buffer(pH9). Mouse spleen were subjected to SDS PAGE followed by western blot with FNab01490( CD63 Antibody) at dilution of 1:1000 |
| 存储 | PBS with 0.02% sodium azide and 50% glycerol pH 7.3, -20℃ for 12 months (Avoid repeated freeze / thaw cycles.) |
| 注意事项 | CD63 antibody仅供科研使用 |
菲恩生物抗体产品优势
种类齐全:有10000多种经过验证的免多抗和小鼠单抗,包括流式抗体、内参抗体、标签抗体、小分子化合物抗体、对照抗体等;
多种标记/非标记二抗:针对兔、羊、小鼠、大鼠、人等多个种属。100多种标记二抗,标记物包括HRP、Biotin、FITC、Cy3、Alexa Fluor 488、Alexa Fluor 594等,通过了蛋白质印迹、免疫荧光、免疫组织化学、流式细胞术和ELISA等免疫学相关应用的充分验证,可满足各种实验需求;
验证过多种实验:ELISA、WB、IHC、IF、IP、FC等应用,并进行了广泛的物种交叉实验。
风险提示:丁香通仅作为第三方平台,为商家信息发布提供平台空间。用户咨询产品时请注意保护个人信息及财产安全,合理判断,谨慎选购商品,商家和用户对交易行为负责。对于医疗器械类产品,请先查证核实企业经营资质和医疗器械产品注册证情况。
- 作者
- 内容
- 询问日期
文献和实验CD63 分子 CD63 常用单克隆抗体或代号: RUU- SP2.28,CLB 主要表达细胞: Pt,M,Mac,(G,T,B) [Pt] 分子质量(kDa)和结构: gp53,血小板颗粒蛋白(TM4- SF) 功 能: 血小板活化,中性粒细胞- 活化内皮细胞粘附 CD63 Aka lysosomal-membrane-associated glycoprotein 3, LAMP
过滤孔,导致膜的寿命减短,分离效率较低。同时,外泌体会粘附在膜上,导致产量降低。 免疫磁珠法:用包被抗标记物抗体的磁珠与外泌体囊泡孵育后结合,即可将外泌体吸附并分离出来。该方法分离得到的外泌体的生物活性易受 pH 和盐浓度影响,不利于下游实验。 试剂盒分离法:目前商业化的外泌体提取试剂盒多种多样,提取效果良莠不齐。同时试剂盒本身的价格比较高,且外泌体的得率和纯度一般,不是性价比高的一种分离方法。此方法得到的外泌体对于后续的鉴定实验、细胞实验和动物实验等可能有影响。 五、如何鉴定外泌
体颗粒表面有 CD63 抗原。血小板活化时,由于颗粒膜蛋白与血小板膜蛋白相互融合,使颗粒膜蛋白翻转到血小板膜表面。因此,可通过检测这些颗粒膜蛋白来判断血小板的活化状态。 3. 采血 EDTA 抗凝采血,取后段血。因前段血中可能有组织液存在,造成人为血小板活化。 4. 试剂选择 FITC 标记的 CD42b 抗体 PE 标记的 CD62p 或 CD63 抗体 在血小板膜表面稳定表达的抗原有 CD
技术资料暂无技术资料 索取技术资料









