相关产品推荐更多 >
万千商家帮你免费找货
0 人在求购买到急需产品
- 详细信息
- 询价记录
- 文献和实验
- 技术资料
- 免疫原:
nuclear factor of kappa light polypeptide gene enhancer in B-cells 2(p49/p100)
- 亚型:
IgG
- 形态:
liquid
- 保存条件:
PBS with 0.02% sodium azide and 50% glycerol pH 7.3, -20℃ for 12 months(Avoid repeated freeze / thaw cycles.)
- 克隆性:
多克隆抗体
- 适应物种:
Human, Mouse, Rat
- 保质期:
-20℃ for 12 months(Avoid repeated freeze / thaw cycles.)
- 抗原来源:
nuclear factor of kappa light polypeptide gene enhancer in B-cells 2(p49/p100)
- 目录编号:
FNab05707
- 级别:
科研
- 库存:
100
- 供应商:
武汉菲恩生物科技有限公司
- 宿主:
Rabbit
- 应用范围:
ELISA, IHC, WB
- 靶点:
nuclear factor of kappa light polypeptide gene enhancer in B-cells 2(p49/p100)
- 抗体英文名:
NFKB2,p52,p100-Specific antibody
- 抗体名:
NFKB2,p52,p100-Specific antibody
- 规格:
20μg/50μg/100μg
| 规格: | 20μg | 产品价格: | ¥570.0 |
|---|---|---|---|
| 规格: | 50μg | 产品价格: | ¥1140.0 |
| 规格: | 100μg | 产品价格: | ¥1900.0 |

NFKB2,p52,p100-Specific antibody|NFKB2,p52,p100特异性抗体宿主来源于Rabbit,克隆性:polyclonal,适用种属:Human, Mouse, Rat,验证应用:ELISA, IHC, WB
-------------------------------------------------------------------------------------------------------------------------
产品介绍
| 产品名称 | NFKB2,p52,p100-Specific antibody |
|---|---|
| 货号 | FNab05707 |
| 规格 | 20μg, 50μg, 100μg |
| 纯化方法 | Immunogen affinity purified |
| 纯度 | ≥95% as determined by SDS-PAGE |
| 宿主 | Rabbit |
| 克隆性 | polyclonal |
| 亚型 | IgG |
| 存储 | PBS with 0.02% sodium azide and 50% glycerol pH 7.3, -20℃ for 12 months(Avoid repeated freeze / thaw cycles.) |
| 分子量 | 52/110 kDa |
| Uniprot ID | Q00653 |
| 适用种属 | Human, Mouse, Rat |
| 验证应用 | ELISA, IHC, WB |
| 建议稀释比例 | WB: 1:500 - 1:2000; IHC: 1:50 - 1:200 |
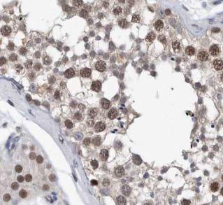
| 图片 | ![]() Immunohistochemistry of paraffin-embedded human testis using FNab05707(NFKB2,p52,p100-Specific antibody) at dilution of 1:50 |
![]() Hela cells were subjected to SDS PAGE followed by western blot with FNab05707(NFKB2,p52,p100-Specific Antibody) at dilution of 1:1000 |
|
| 注意事项 | NFKB2,p52,p100-Specific antibody|NFKB2,p52,p100特异性抗体仅供科研使用 |

风险提示:丁香通仅作为第三方平台,为商家信息发布提供平台空间。用户咨询产品时请注意保护个人信息及财产安全,合理判断,谨慎选购商品,商家和用户对交易行为负责。对于医疗器械类产品,请先查证核实企业经营资质和医疗器械产品注册证情况。
- 作者
- 内容
- 询问日期
文献和实验【进展|热点】Nature Immunology:发现三个调控NF-kB非经典信号通路的microRNA
://www.nature.com/ni/journal/v11/n9/abs/ni.1918.html 内容简介: NF-κB是一组重要的转录因子,参与了诸多免疫反应过程,其中最为人熟知的就是在天然免疫中,NF-κB是最终启动炎症因子表达的因素之一。 NF-κB家族包括5个成员,即RelA(p65)、RelB、c-Rel、p105-p50(NF-κB1)和p100-p52(NF-κB2),两两形成同源或者异源二聚体的形式发挥作用。通常情况下,NF-κB与其抑制蛋白IκB(包括IκBα、IκBβ
CD66a/CD66b/CD66c/CD66d/CD66e/CD66f/CD67分子
CD66a/CD66b/CD66c/CD66d/CD66e/CD66f/CD67 分子 CD66a 常用单克隆抗体或代号: BGP- 1 主要表达细胞: G,En [M] 分子质量(kDa)和结构: gp180- 200(胆汁糖蛋白- 1)(IgSF) 功 能: 嗜同性结合,也可识别CD62E CD66b 常用单克隆抗体或代号: MF25.1;(P100,原CD67,CGM6) 主要表达
FcR阻断剂,让流式实验中的干扰无处遁形 说到Fc阻断,就不得不提到抗体。抗体的结构分为Fab和Fc段,Fab段是与目标分子特异性结合的区域,Fc段是Ig与效应分子或者细胞相互作用的部位[1](图1)。Fc受体(Fragment Crystallizable Receptor,FcR)是免疫调节受体中非常重要的受体,主要在先天免疫细胞上表达,能被抗体的Fc段识别并结合,从而引发免疫应答。 图1:抗体结构 为什么要做Fc阻断? 在细胞学实验中,正确区分阳性和阴性细胞十分重要。获得良好
技术资料暂无技术资料 索取技术资料










