相关产品推荐更多 >
万千商家帮你免费找货
0 人在求购买到急需产品
- 详细信息
- 询价记录
- 文献和实验
- 技术资料
- 免疫原:
transcription factor 4
- 亚型:
IgG
- 形态:
liquid
- 保存条件:
-20℃ 12月
- 克隆性:
polyclonal
- 标记物:
未标记
- 适应物种:
Human, Mouse
- 保质期:
-20℃ 12月
- 抗原来源:
transcription factor 4
- 目录编号:
FNab08553
- 级别:
科研
- 库存:
100
- 供应商:
武汉菲恩生物科技有限公司
- 宿主:
Rabbit
- 应用范围:
ELISA, WB, IHC, IP
- 靶点:
TCF4
- 抗体英文名:
TCF4 antibody
- 抗体名:
TCF4抗体
- 规格:
50ug/100ug
| 规格: | 50ug | 产品价格: | ¥1140.0 |
|---|---|---|---|
| 规格: | 100ug | 产品价格: | ¥1900.0 |

产品介绍
| 产品名称 | TCF4 antibody |
| 中文名称 | TCF4抗体 |
| 货号 | FNab08553 |
| 规格 | 50ug/100ug |
| 宿主 | Rabbit |
| 反应种属 | Human, Mouse |
| 验证应用 | ELISA, WB, IHC, IP |
| 状态 | liquid |
| 纯化方法 | Immunogen affinity purified |
| 纯度 | ≥95% as determined by SDS-PAGE |
| 克隆性 | polyclonal |
| 亚型 | IgG |
| 免疫原 | transcription factor 4 |
| 免疫原别称 | Transcription factor 4 (TCF-4)|Class B basic helix-loop-helix protein 19 (bHLHb19)|Immunoglobulin transcription factor 2 (ITF-2)|SL3-3 enhancer factor 2 (SEF-2)|TCF4|BHLHB19|ITF2|SEF2 |
| Uniprot ID | P15884 |
| 分子量 | 72 kDa |
| 建议稀释比例 | WB: 1:500-1:1000; IP: 1:500-1:1000; IHC: 1:20-1:200 |
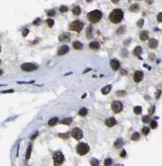
| 验证图片 |
Immunohistochemistry of paraffin-embedded human testis slide using FNab08553(TCF4 Antibody) at dilution of 1:50 IP Result of anti-TCF4 (IP: FNab08553, 3ug; Detection: FNab08553 1:500) with mouse lung tissue lysate 3000ug.
mouse lung tissue were subjected to SDS PAGE followed by western blot with FNab08553(TCF4 Antibody) at dilution of 1:600 |
| 存储 | PBS with 0.02% sodium azide and 50% glycerol pH 7.3, -20℃ for 12 months(Avoid repeated freeze / thaw cycles.) |
| 注意事项 | TCF4 antibody仅供科研使用 |
菲恩生物抗体产品优势
种类齐全:有10000多种经过验证的免多抗和小鼠单抗,包括流式抗体、内参抗体、标签抗体、小分子化合物抗体、对照抗体等;
多种标记/非标记二抗:针对兔、羊、小鼠、大鼠、人等多个种属。100多种标记二抗,标记物包括HRP、Biotin、FITC、Cy3、Alexa Fluor 488、Alexa Fluor 594等,通过了蛋白质印迹、免疫荧光、免疫组织化学、流式细胞术和ELISA等免疫学相关应用的充分验证,可满足各种实验需求;
验证过多种实验:ELISA、WB、IHC、IF、IP、FC等应用,并进行了广泛的物种交叉实验。
风险提示:丁香通仅作为第三方平台,为商家信息发布提供平台空间。用户咨询产品时请注意保护个人信息及财产安全,合理判断,谨慎选购商品,商家和用户对交易行为负责。对于医疗器械类产品,请先查证核实企业经营资质和医疗器械产品注册证情况。
- 作者
- 内容
- 询问日期
文献和实验的,所以你做EMSA时不可能检测到.再者一般认为TCF4和DNA是一直处于结合状态。 如果要想检测的话,我觉得应该用ChIP,如果你的抗体好的话,做这个不成问题。 基因小子 昨天的回复太匆忙了,所以没有说清楚。 TCF4/LEF1它们是一直接合在DNA上面的,接受信号刺激之后,如Wnt ligand之后,与之相互作用的一些蛋白发生了改变,如beta-catenin 可以把一些co-repressor(Grouch,TLE)竞争掉,以此来激活下Wnt
浅析染色质免疫沉淀(ChIP)技术在 DNA 与蛋白质相互作用研究中的重要性
染色质免疫沉淀(ChIP)是研究蛋白质-DNA 相互作用的一项强大技术,广泛用于多个领域的染色质相关蛋白的研究(如组蛋白及其异构体,转录因子等),特别适用于已知启动子序列或整个基因位点的组蛋白修饰分析研究。这项技术采用特定抗体来富集存在组蛋白修饰或者转录调控的 DNA 片段,通过多种下游检测技术(定量 PCR ,芯片,测序等)来检测此富集片段的 DNA 序列。 ChIP 技术自诞生之后,已成功的应用于人或动物细胞和组织 [1] 、植物组织 [2] 、酵母 [3] 以及细菌、质粒
的)地点:清华大学生物医学馆人物:左)CST 技术工程师李博士;右)清华大学某实验室苏博士(此处为实验掠影)晴朗的一天,按照约定的时间,我们如期而至。这次我们使用的 SimpleChIP® 酶解法试剂盒货号为 9003,专门用于细胞样品,所配套的 protein G 微珠为磁性微珠。实验设计如下:阴性对照(IgG)管 1 个,目的抗体(TCF4)管 1 个,阳性对照(组蛋白 H3)管 1 个因此,此次实验后续有 3 个 ChIP 反应,按照试剂盒的细胞数要求,每一次 ChIP 实验约需要 4×106
技术资料暂无技术资料 索取技术资料








