相关产品推荐更多 >
万千商家帮你免费找货
0 人在求购买到急需产品
- 详细信息
- 文献和实验
- 技术资料
- 免疫原:
A phospho specific peptide corresponding to residues surrounding Y1175 of human VEGF Receptor 2
- 亚型:
IgG
- 形态:
liquid
- 保存条件:
-20℃ 12月
- 克隆性:
polyclonal
- 标记物:
未标记
- 适应物种:
Human, Mouse, Rat
- 保质期:
-20℃ 12月
- 抗原来源:
A phospho specific peptide corresponding to residues surrounding Y1175 of human VEGF Receptor 2
- 目录编号:
FNab09964
- 级别:
科研
- 库存:
100
- 供应商:
武汉菲恩生物科技有限公司
- 宿主:
Rabbit
- 应用范围:
ELISA, WB, IHC
- 靶点:
Phospho-VEGF Receptor 2 (Y1175)
- 抗体英文名:
Phospho-VEGF Receptor 2 (Y1175) antibody
- 抗体名:
Phospho-VEGF Receptor 2 (Y1175)抗体
- 规格:
50ug/100ug
| 规格: | 50ug | 产品价格: | ¥1140.0 |
|---|---|---|---|
| 规格: | 100ug | 产品价格: | ¥1900.0 |

产品介绍
| 产品名称 | Phospho-VEGF Receptor 2 (Y1175) antibody |
| 中文名称 | Phospho-VEGF Receptor 2 (Y1175)抗体 |
| 货号 | FNab09964 |
| 规格 | 50ug/100ug |
| 宿主 | Rabbit |
| 反应种属 | Human, Mouse, Rat |
| 验证应用 | ELISA, WB, IHC |
| 状态 | liquid |
| 纯化方法 | Immunogen affinity purified |
| 纯度 | ≥95% as determined by SDS-PAGE |
| 克隆性 | polyclonal |
| 亚型 | IgG |
| 免疫原 | A phospho specific peptide corresponding to residues surrounding Y1175 of human VEGF Receptor 2 |
| 免疫原别称 | Vascular endothelial growth factor receptor 2 (VEGFR-2)|Fetal liver kinase 1 (FLK-1)|Kinase insert domain receptor (KDR)|Protein-tyrosine kinase receptor flk-1|KDR|FLK1|VEGFR2 |
| Uniprot ID | P35968 |
| 分子量 | 250 kDa |
| 建议稀释比例 | WB: 1:500 - 1:1000; IHC: 1:50 - 1:100 |
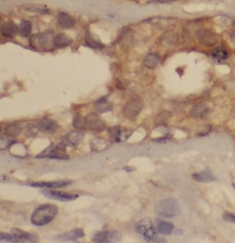
| 验证图片 | Immunohistochemistry of paraffin-embedded human breast carcinoma tissue slide using FNab09964 at dilution of 1:50 HUVE cells were subjected to SDS PAGE followed by western blot with FNab09964 at dilution of 1:600 |
| 存储 | PBS with 0.02% sodium azide and 50% glycerol pH 7.3, -20℃ for 12 months(Avoid repeated freeze / thaw cycles.) |
| 注意事项 | Phospho-VEGF Receptor 2 (Y1175) antibody仅供科研使用 |
菲恩生物抗体产品优势
种类齐全:有10000多种经过验证的免多抗和小鼠单抗,包括流式抗体、内参抗体、标签抗体、小分子化合物抗体、对照抗体等;
多种标记/非标记二抗:针对兔、羊、小鼠、大鼠、人等多个种属。100多种标记二抗,标记物包括HRP、Biotin、FITC、Cy3、Alexa Fluor 488、Alexa Fluor 594等,通过了蛋白质印迹、免疫荧光、免疫组织化学、流式细胞术和ELISA等免疫学相关应用的充分验证,可满足各种实验需求;
验证过多种实验:ELISA、WB、IHC、IF、IP、FC等应用,并进行了广泛的物种交叉实验。
风险提示:丁香通仅作为第三方平台,为商家信息发布提供平台空间。用户咨询产品时请注意保护个人信息及财产安全,合理判断,谨慎选购商品,商家和用户对交易行为负责。对于医疗器械类产品,请先查证核实企业经营资质和医疗器械产品注册证情况。
文献和实验,美国加州基因技术公司(Genentech)的Germaine Fuh和同事突变了HER2的抗体,然后在突变体中筛选出了能够同时绑定HER2和VEGF的变异。这是首次创造出能绑定到2种无关联蛋白的抗体。Fuh说:“这将开启双重标靶型疗法之门。” 重点研发抗体疗法的Genmab生物技术公司副总裁Paul Parren表示,结果令人吃惊。他说:“我们以前根本没有这样考虑过抗体,它让人不禁要猜测,这种分子是否也有可能在自然界中存在。” Variants of the Antibody
【求助】请问VEGF到底是通过酪氨酸激酶途径还是PKC途径转导信号的?
。) 这个问题不矛盾,一个在上面,一个在下面。 Flk-1 (human counterpart, KDR) tyrosine kinase, which is one of the two VEGF receptors, is crucial for vascular development. Recently, we showed that, among tyrosine residues of KDR, tyrosine residues 1175 (Y1175
“借助一种称为新生儿Fc受体(Neonatal Fc receptor, FcRn)的免疫蛋白,抗体能进入被感染的细胞发挥作用。”这是来自马里兰大学,中国农业大学,加州理工学院的研究人员发表的题为“Intracellular neutralization of viral infection in polarized epithelial cells by neonatal Fc receptor (FcRn)-mediated IgG
技术资料暂无技术资料 索取技术资料








