相关产品推荐更多 >
万千商家帮你免费找货
0 人在求购买到急需产品
- 详细信息
- 文献和实验
- 技术资料
- 免疫原:
Synthetic peptide, corresponding to amino acids 171-220 of Human Claudin-7.
- 亚型:
IgG
- 形态:
Liquid
- 保存条件:
Store as concentrated solution. Centrifuge briefly prior to opening vial. For short-term storage (1-2 weeks), store at 4ºC. For long-term storage, aliquot and store at -20ºC or below. Avoid multiple freeze-thaw cycles.
- 克隆性:
Polyclonal
- 标记物:
Unconjugated
- 适应物种:
Human, Mouse, Rat
- 保质期:
12 months from the shipping date of the product.
- 抗原来源:
Human
- 目录编号:
GTX66616
- 级别:
Primary Antibodies
- 库存:
Available
- 供应商:
GeneTex
- 宿主:
Rabbit
- 应用范围:
WB, IHC-P, IP
- 浓度:
1 mg/ml (Please refer to the vial label for the specific concentration.)
- 靶点:
Claudin 7
- 抗体英文名:
Claudin 7 antibody
- 抗体名:
Claudin 7 抗体
- 规格:
100 μl
WB analysis of various samples using GTX66616 Claudin 7 antibody.
Lane1 : HCC827 whole cell lysate(40ug)
Lane2 : The Lung tissue lysate of Mouse(40ug)
Lane3 : The Lung tissue lysate of Rat(40ug)
Lane4 : A549 whole cell lysate(40ug)
Lane5 : L02 whole cell lysate(40ug)
Dilution : 1:500
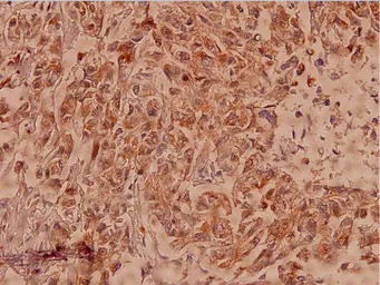
IHC-P analysis of human breast carcinoma tissue using GTX66616 Claudin 7 antibody.
Dilution : 1:100
IP analysis of Hela cell lysate using GTX66616 Claudin 7 antibody (Lane 2 and 3) and nonspecific IgG control antibody (Lane 4 and 5) compared to the input control (Lane 1).
Upward arrow : supernatant
Downward arrow : Immunoprecipitants
风险提示:丁香通仅作为第三方平台,为商家信息发布提供平台空间。用户咨询产品时请注意保护个人信息及财产安全,合理判断,谨慎选购商品,商家和用户对交易行为负责。对于医疗器械类产品,请先查证核实企业经营资质和医疗器械产品注册证情况。
文献和实验STM:广州医科大学刘铭/谢茂彬合作发现肝细胞癌的新潜在治疗靶点 Claudin 6
组于 Science Translational Medicine 杂志(STM)在线发表题为 Targeting tumor lineage plasticity in hepatocellular carcinoma using an anti-CLDN6 antibody-drug conjugate 的研究论文。这项研究揭示了细胞紧密连接(tight junction)蛋白 Claudin 6 通过调控肝癌细胞的谱系可塑性(lineage plasticity),促进肝癌进展与耐药的机制,并初步报道
There are a number of disadvantages with conventional tissue immunohistochemistry for accurate �localisation of claudin proteins. Traditionally, tissue cryopreservation or formaldehyde fixation with wax embedding is utilised
secondary antibody review -- data from 99 publications
cytometry used as a control to detect cell responses targeted antigen 7 Alexa Fluor 488 7 Cy3 8 goat IgG Alexa Fluor 488 1:2000 detect antibody binding in human embryonic kidney 293T cells Invitrogen 9 donkey
技术资料暂无技术资料 索取技术资料







![alpha amylase 2A (pancreatic) antibody [6D4]](https://img1.dxycdn.com/2022/0328/163/2903330031688500453-14.jpg!wh200)
![HDAC3 antibody [GT9080]](https://img1.dxycdn.com/2022/0328/915/4286463623743500453-14.jpg!wh200)


