相关产品推荐更多 >
万千商家帮你免费找货
0 人在求购买到急需产品
- 详细信息
- 文献和实验
- 技术资料
- 免疫原:
Recombinant protein expressed in E.coli corresponding to amino acids 300-511 of human AMY2A
- 亚型:
IgG2b
- 形态:
Liquid
- 保存条件:
Store as concentrated solution. Centrifuge briefly prior to opening vial. For short-term storage (1-2 weeks), store at 4ºC. For long-term storage, aliquot and store at -20ºC or below. Avoid multiple freeze-thaw cycles.
- 克隆性:
Monoclonal
- 标记物:
Unconjugated
- 适应物种:
Human, Mouse
- 保质期:
12 months from the shipping date of the product.
- 抗原来源:
Human
- 目录编号:
GTX84887
- 级别:
Primary Antibodies
- 库存:
Available
- 供应商:
GeneTex
- 宿主:
Mouse
- 应用范围:
WB, IHC-P
- 浓度:
0.2 mg/ml (Please refer to the vial label for the specific concentration.)
- 靶点:
alpha amylase 2A (pancreatic)
- 抗体英文名:
alpha amylase 2A (pancreatic) antibody [6D4]
- 抗体名:
alpha amylase 2A (pancreatic) 抗体 [6D4]
- 规格:
100 μl
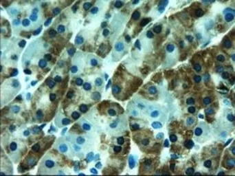
IHC-P analysis of pancreas tissue using GTX84887 alpha amylase 2A (pancreatic) antibody [6D4].
Antigen retrieval : Heat-induced epitope retrieval by 10mM citrate buffer, pH6.0, 100ºC for 10min.
WB analysis of NIH3T3 cell lysate using GTX84887 alpha amylase 2A (pancreatic) antibody [6D4].
Loading : 10 ug per lane
Dilution : 1:200
WB analysis of HEK293T cells transfected with alpha amylase 2A (pancreatic) plasmid (Right) or empty vector (Left) for 48 hrs using GTX84887 alpha amylase 2A (pancreatic) antibody [6D4].
Loading : 5 ug per lane
风险提示:丁香通仅作为第三方平台,为商家信息发布提供平台空间。用户咨询产品时请注意保护个人信息及财产安全,合理判断,谨慎选购商品,商家和用户对交易行为负责。对于医疗器械类产品,请先查证核实企业经营资质和医疗器械产品注册证情况。
文献和实验bacterial proteins. MATERIALS Reagents E. coli strain used as host for preparation of expression library Antibody preparation
【资源】全面归类网址:毕赤酵母表达各种来源蛋白(细菌,真菌,植物,人类等)
Heterologous Proteins Expressed in Pichia pastoris有以下几部分组成:Protein CommentsMode, amount,signal sequenceReferences and Links分别分物种来源如下:BacteriaAlpha galactosidaseS453Bacillus licheniformis alpha-amylaseS, 2.5 g/L, SUC2[53, 54]Bacillus
Antigen Design Sera Purification Tech Sheet
for antibody generation. Algorithms for predicting protein characteristics such as hydrophilicity/hydrophobicity and secondary structure regions such as alpha-helix, beta-sheet and beta-turn aid selection of a potentially exposed, immunogenic internal
技术资料暂无技术资料 索取技术资料







![ADFP antibody [DBM15.60]](https://img1.dxycdn.com/2022/0328/122/1334012206490800453-14.jpg!wh200)
![beta Galactosidase antibody [BG-02]](https://img1.dxycdn.com/2022/0328/966/1173936082768300453-14.jpg!wh200)


