相关产品推荐更多 >
万千商家帮你免费找货
0 人在求购买到急需产品
- 详细信息
- 文献和实验
- 技术资料
- 免疫原:
GST fusion protein with residues 1-46 (Intracellular, N-terminus) of rabbit CaV1.2a, with serine 44 replaced with alanine (Accession : P15381).
- 亚型:
IgG
- 形态:
Liquid
- 保存条件:
Store as concentrated solution. Centrifuge briefly prior to opening vial. For short-term storage (1-2 weeks), store at 4ºC. For long-term storage, aliquot and store at -20ºC or below. Avoid multiple freeze-thaw cycles.
- 克隆性:
Polyclonal
- 标记物:
Unconjugated
- 适应物种:
Human, Mouse, Rat
- 保质期:
12 months from the shipping date of the product.
- 抗原来源:
Rabbit
- 目录编号:
GTX16606
- 级别:
Primary Antibodies
- 库存:
Available
- 供应商:
GeneTex
- 宿主:
Rabbit
- 应用范围:
WB, ICC/IF, IHC-P, IP
- 浓度:
0.95 mg/ml (Please refer to the vial label for the specific concentration.)
- 靶点:
Cav1.2
- 抗体英文名:
Cav1.2 antibody
- 抗体名:
Cav1.2 抗体
- 规格:
50 μl
WB analysis of rat heart membrane lysates using GTX16606 Cav1.2 antibody preincubated with or without immunogen peptide.
Dilution : 1:200
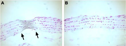
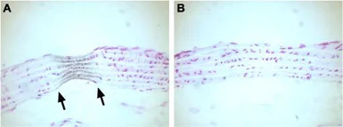
IHC-P analysis of rat heart tissue using GTX16606 Cav1.2 antibody. CaV1.2a was visualized with immuno-peroxidase methods and final brown-black diaminobenzidine color product (arrows in A). Cresyl violet is used as the counterstain. When the antibody was pre-incubated with the control peptide antigen, staining was blocked (B).
风险提示:丁香通仅作为第三方平台,为商家信息发布提供平台空间。用户咨询产品时请注意保护个人信息及财产安全,合理判断,谨慎选购商品,商家和用户对交易行为负责。对于医疗器械类产品,请先查证核实企业经营资质和医疗器械产品注册证情况。
文献和实验近期,来自广西大学动物科技学院的李一星教授和广西壮族自治区人民医院的周磊教授团队在 Imeta 杂志发表了题为「HLF and PPARα axis regulates metabolic‐associated fatty liver disease through extracellular vesicles derived from the intestinal microbiota」的科研论文,IF = 33.2。 研究背景: 代谢相关性脂肪肝(Metabolic
【操作步骤】6.2 分文章作者,亲手教你如何轻松搞定生信文章
大家好,今天跟大家分享一篇文章「DDX60 is associated with glioma malignancy and serve as a potential immunotherapy biomarker」。 该文章是由笔者于 2021 年 2 月发表于《Frontiers in Oncology》杂志上的,目前该杂志中科院分区 2 区,影响因子 6.2 分。 今天就通过该文章跟大家分享一下肿瘤方向生信文章的套路及绘图方法~ 信息发展到这个年代,许多科研道友仍然闻「代码」色变,总想走
pH 0.2mol/L Na2CO3(ml) 0.2mol/L NaHCO3(ml) 9.2
技术资料暂无技术资料 索取技术资料





![Prostatic Acid Phosphatase antibody [SPM312]](https://img1.dxycdn.com/2022/0328/256/6687957281401700453-14.jpg!wh200)



![MD2 antibody [1A2E3]](https://img1.dxycdn.com/2022/0328/565/4071585411219500453-14.jpg!wh200)

