相关产品推荐更多 >
万千商家帮你免费找货
0 人在求购买到急需产品
- 详细信息
- 文献和实验
- 技术资料
- 品系:
详询
- 细胞类型:
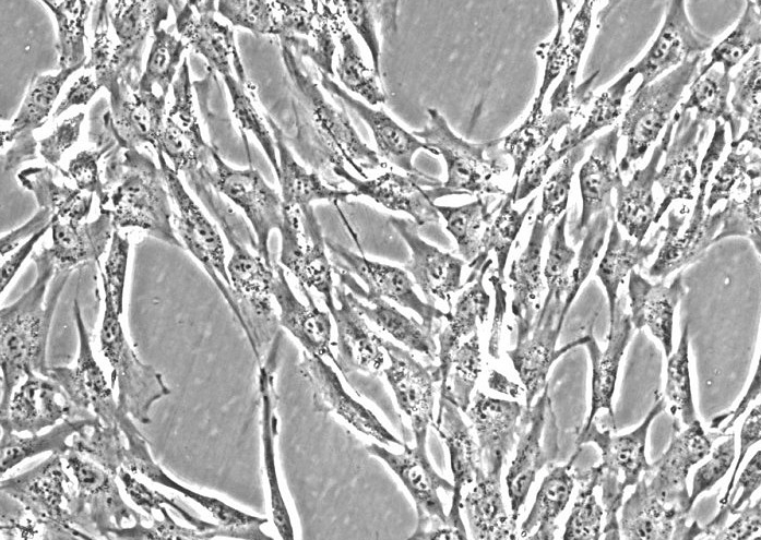
结肠癌细胞
- 肿瘤类型:
详见说明书
- 供应商:
上海晅科生物科技有限公司
- 库存:
100
- 英文名:
Caco-2
- 生长状态:
贴壁细胞
- 年限:
详见说明书
- 运输方式:
常温运输/干冰运输
- 器官来源:
男;72岁
- 是否是肿瘤细胞:
是
- 细胞形态:
上皮细胞样
- 免疫类型:
详询
- 物种来源:
人
- 相关疾病:
人结肠癌
- 组织来源:
结肠,结直肠腺癌
1.产品名称:Caco-2人结肠癌细胞(通过STR鉴定)
2.组织来源:结肠,结直肠腺癌
3.产品规格:1×10⁶cells/T25培养瓶
T25操作说明
T25收货:
1.收货后拆开包装,不打开封口膜,75%酒精消毒T25瓶表面;
2.显微镜下观察细胞并拍照,放入37度培养箱平衡2h;
3.细胞密度80%以上即可吸走培养基消化传代;若密度低于80%可以吸走多余培养基,留8ml左右继续培养至细胞密度80%以上。
Tips:
1.若收货当天没有时间处理细胞,T25瓶可以不开封,放至37度培养箱过夜;
2.若细胞出现漂浮,T25瓶不开封,放至37度培养箱过夜,若细胞贴壁即说明活性正常,按正常操作消化传代即可;若未贴壁,收集细胞培养基离心后,将细胞重悬接种到新的培养瓶中,同时原瓶还贴壁的细胞加培养基继续培养;
3.若T25瓶出现漏液或者破碎,及时拍照联系客服。
Caco-2人结肠癌细胞(通过STR鉴定) 常见问题
▲倍增和代数有什么区别?
倍增是培养物中细胞总数的翻倍,通常是指细胞指数或对数生长期。代数是指细胞群从培养瓶中移出,传代培养过程的次数,传代培养的目的,是使细胞处于低密度以刺激其进一步生长。
▲接收到的冻存细胞该如何处理?
收到包装箱后,立即将冻存细胞从干冰移入液氮中冻存。此过程尽量快,以避免升温。不要将细胞储存在-80℃,这样会对细胞造成不可挽回的伤害。
▲冻存的细胞该如何开始培养?
(1) 将一管细胞从液氮罐中取出,注意保护手和眼睛。
(2) 将冻存管快速的放入37℃水浴中,轻轻握住并旋转,直到管内物体完全融化。
(3) 将冻存管立即从水浴中拿出,擦干,转入无菌环境。
(4) 用70%的酒精冲洗冻存管,然后擦去多余酒精。
(5) 打开盖子,注意手指不要碰到里面的螺纹(注意,由于冻存管有负压,开盖时可能会有少量溢出,这是正常现象)。
(6) 用多聚赖氨酸(或参照说明书)包被培养瓶。多数细胞推荐的接种密度为每平方厘米5000个细胞。
(7) 盖好培养瓶的盖子,轻轻摇晃培养瓶以使细胞分布均匀。若需要气体交换可打开盖子。
(8) 将培养瓶放入培养箱中(37℃,5%CO2,95%空气)。
(9) 放入培养箱后第6-16小时更换一次培养基,以去除残留的二甲基亚枫和未贴壁的细胞。
▲细胞培养过程中,多久更换一次培养基?
这取决于细胞生长的速度。一般而言2-3天更换一次培养基,许多细胞培养实验室通常在周一,周三,周五更换培养基。
注意:冻存细胞复苏后,在6-16小时内更换培养基,以去除残留的二甲基亚枫和死亡的细胞。
▲培养瓶中应该加入多少体积的培养基?
我们推荐的用量为:T-25培养瓶5ml,T-75培养瓶15ml,T-150培养瓶30ml。
更多Caco-2人结肠癌细胞(通过STR鉴定)敬请咨询!
风险提示:丁香通仅作为第三方平台,为商家信息发布提供平台空间。用户咨询产品时请注意保护个人信息及财产安全,合理判断,谨慎选购商品,商家和用户对交易行为负责。对于医疗器械类产品,请先查证核实企业经营资质和医疗器械产品注册证情况。
文献和实验据统计约 30% 细胞系被交叉污染或错误辨识,因使用了交叉污染或错误辨识的细胞而导致研究结论错误、结果不可重复、临床细胞治疗灾难性后果……,这浪费大量时间、精力和金钱。Everything was going along fine until they discovered their HeLa cell line expressed Y chromosome markers因此近年 NIH、ATCC、Nature 和 Science 等对此多次发出呼吁,要求研究者对细胞进行鉴定。STR 基因
、 miRNA靶基因的验证与miRNA靶基因 的预测方法相比,对miRNA靶基因进行实验验证的方法并不多,目前还没有一个快速、简便、高通量的鉴定方法。最直接的鉴定方法是, 利用荧光定量PCR及Westernblot方法分别检测转染或敲低miRNA后细胞中mRNA水平及蛋白水平的变化,从而确定miRNA与靶基因的对应关系。这种方法能够直接鉴定出miRNA的靶基因, 准确度高但不能鉴定miRNA的靶位点。转染或敲低miRNA:方式主要有两种,一种是构建miRNA过表达载体的稳定表达系统,一种是人工合成miRNA
关于如何鉴定收到的新细胞是否有污染,很多站友,特别是新接触细胞培养的站友通常没有太多经验,在此我分享下我这边接收到新细胞后是如何判断是否有污染的。一、肉眼观察以下几项:1. 细胞瓶身:如果瓶身上没有裂缝,正常;如果瓶身上有裂缝,则污染几率非常大。2. 培养基颜色:如果培养基颜色是红色或者粉色,正常;如果是橙色,则可能是污染或者细胞过密;如果是黄色,则污染几率非常大。3. 培养基澄清度:如果培养基澄清,正常;如果有少许漂浮物,则可能是污染或者有细胞凋亡;如果培养基很浑浊,甚至出现絮状物,则污染
技术资料暂无技术资料 索取技术资料









