相关产品推荐更多 >
万千商家帮你免费找货
0 人在求购买到急需产品
- 详细信息
- 文献和实验
- 技术资料
- 细胞类型:
源性细胞
- 供应商:
江西江蓝纯生物试剂有限公司
- 库存:
50
- 英文名:
BEL-7402
- 生长状态:
良好
- 年限:
2年
- 运输方式:
常温避光
- 物种来源:
人
- 规格:
T25
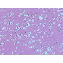
细胞介绍:
BEL-7402细胞株是1974年从临床肝癌手术标本中建立的。细胞群体倍增时间为20小时。移植到处理过的wistar大鼠中的能形成肿瘤结节。细胞形态呈上皮样细胞。在电子显微镜下亦显示上皮细胞所具有的桥粒和张力原纤维,与临床肝癌 细胞相似。分瓶培养第四天时,其有丝分裂指数约为7%。BEL-7402细胞的染色 体数为不足三倍体,有一个异常的近端着丝点染色体。间接免疫荧光法测 BEL-7402细胞内的AFP为阳性反应。LDH同工酶谱显示与成年人肝细胞不同,而与人胚肝及临床肝癌相近。
细胞特性:
1)来源:肝癌
2)形态:上皮细胞样
3)含量:>lxl06 个/mL
4)污染:支原体、细菌、酵母和真菌检测为阴性
5)规格:T25瓶或者lmL冻存管包装
人肝癌细胞(BEL-7402)运输和保存:可选择干冰运输及发送复苏存活细胞方式:(1)干冰运输,收到后立即转入液氮冻存或直接复苏;(2)存活细胞,收到后应继续生长,传代达到细胞生长状态良时,再进行冻存。具体操作见细胞培养步骤。
细胞培养步骤:
1)培养基及培养冻存条件准备:
1.准备 RPIVM-1640 培养基,90%;北美胎牛 血清(United States,GIBCO,货号16000-044),10%。
2.培养条件:气相:空气,95%;二氧化碳,5%。温度:37摄氏度,培养箱 湿度为70%-80%。
3.冻存液:90%完全培养基,10%DMSO,现用现配。液氮储存。
2)细胞处理:
复苏细胞:将含有lmL细胞悬液的冻存管在37°C水浴中迅速摇晃解冻,加入4mL培养基混合均匀。在1000RPM条件下离心4分钟,弃去上清液,补加l-2mL培养基后吹匀。然后将所有细胞悬液加入培养瓶中培养过夜(或将细胞悬液加入l〇cm皿中,加入约8ml培养基,培养过夜)。第二天换液并检 查细胞密度。
细胞传代:如果细胞密度达80%-90%,即可进行传代培养。
人肝癌细胞(BEL-7402)对于贴壁细胞,传代可参考以下方法:
弃去培养上清,用不含钙、镁离子的PBS润洗细胞1-2次。力口2m丨消化液(0.25%Trypsin-0.53mMEDTA)于培养瓶中,置于37°C培养箱中消化1-2分钟,然后在显微镜下观察细胞消化情况,若细胞大部 分变圆并脱落,迅速拿回操作台,轻敲几下培养瓶后加少量培养基终止消化。按6-8ml/瓶补加培养基,轻轻打匀后吸出,在1000RPM条件下离心4分钟,弃去上清液,补加l-2mL培养液后吹匀。将细胞悬液按1: 2到1: 5的比例分到新的含8ml培养基的新皿中或者瓶中。
细胞冻存:待细胞生长状态良时,可进行细胞冻存。贴壁细胞冻存时,弃去培养基后加入少量胰酶,细胞变圆脱落后,加入约lml含血清的培养基后加入冻存管中,再添加1〇%DMSO后进行冻存。
注意事项:
收到细胞后,若发现干冰己挥发干净、冻存管瓶盖脱落、破损及细胞有污染,请立即与我们联系。
所有动物细胞均视为有潜在的生物危害性,必须在二级生物安全台内操作,并请注意防护,所有废液及接触过此细胞的器皿需要灭菌后方能丢弃。
风险提示:丁香通仅作为第三方平台,为商家信息发布提供平台空间。用户咨询产品时请注意保护个人信息及财产安全,合理判断,谨慎选购商品,商家和用户对交易行为负责。对于医疗器械类产品,请先查证核实企业经营资质和医疗器械产品注册证情况。
文献和实验AbstractAIM:To study the effect of a varying concentrations of ars enic trioxide on human hepatoma cell line BEL-7402 cultured in vitro and its mechanism of action.METHODS:The BEL-7402 cells were treated with arsenic trioxide (at the concentrations
肝刺激因子对人肝癌细胞BEL-7402 p21ras表达的影响
介导下游信号传导的调节作用, 本实验观察了HSS对人肝癌细胞系BEL-7402 p21ras表达的影响, 以进一步探讨HSS作用的可能机制。1.材料和方法1.1 实验动物[17] 雄性初断乳SD大鼠(60~90 g), 节律光照饲养1周(7∶00~19∶00光照, 19∶00~次日7∶00避光), 自由饮食。1.2 HSS的提取及部分纯化[18]将上述SD大鼠于第8日7∶00~9∶00之间断颈处死, 剖腹摘取肝脏, 制备HSS。将HSS浓缩(CT60, 丹麦Heto生产)至2 ml
材料与方法 1. 主要试剂:MTT、XTT、PMS、DMSO(Sigma公司产品),RPMI 1640(Gibco公司),氟尿嘧啶(上海旭东海普药业有限公司),注射用盐酸阿霉素(深圳万乐药业有限公司),注射用丝裂霉素C(协和发酵工业株式会社),新生小牛血清(杭州四季青公司提供)。 2. 细胞与 细胞培养 :人肝癌细胞系 BEL-7402置含10%新生小牛血清的RPMI
技术资料暂无技术资料 索取技术资料









