万千商家帮你免费找货
0 人在求购买到急需产品
- 详细信息
- 文献和实验
- 技术资料
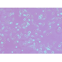
- 细胞类型:
原代细胞
- 供应商:
江西江蓝纯生物试剂有限公司
- 库存:
48
- 生长状态:
良好
- 年限:
2年
- 运输方式:
常温避光
- 物种来源:
大鼠
- 规格:
>5×105细胞数
产品使用:
1)本产品仅能用于科研
2)本产品未通过直接用于活体动物和人的审核
3)本产品未通过用于活体诊断的审核
我们推荐使用大鼠原代心肌成纤维细胞培养基。
细胞特性:
1)大鼠原代心肌成纤维细胞组织来源于实验动物的正常心脏组织。
2)细胞鉴定:纤维连接蛋白(Fibronectin)或波形蛋白(Vimentin)免疫荧光染色为阳性。
3)经鉴定细胞纯度高于90%。
4)不含有 HIV-1、 HBV、HCV、支原体、细菌、酵母和真菌。
5)细胞生长方式:长梭状细胞,贴壁培养。
细胞详述:
心脏是脊椎动物身体中重要的一个器官,主要功能是提供压力,把血液运行至身体各个部分。心脏的作用是推动血液流动,向器官、组织提供充足的血流量,以供应氧和各种营养物质,并带走代谢的终产物(如二氧化碳、无机盐、尿素和尿酸等),使细胞维持正常的代谢和功能。
心脏中,心肌成纤维细胞约占正常心肌组织细胞总数的60%-70%,是心脏中非心肌细胞的主要组成部分,广泛存在于心脏组织中,包围心肌细胞,连接心肌细胞间质,与缺血性心脏病、炎症、肥大、梗死等病理状态密切相关。
大鼠原代心肌成纤维细胞的运输和保存:
视天气状况和运输距离远近,公司与客户协商后选择下述方式中的一种进行。
1)1mL冻存细胞悬液装于1.8ml的冻存管中,置于装满干冰的泡沫保温盒中进行运输;收到细胞后请尽快解冻复苏细胞进行培养,如无法立刻进行复苏操作,冻存细胞可在-80℃的条件下保存1个月。
2)T-25培养瓶充满完全培养基后进行常温运输;收到细胞后请镜下观察细胞生长状态,如铺瓶率超过85%请立即进行传代操作,如悬浮的细胞较多,请将培养瓶至于培养箱中静置过夜以帮助未死亡的悬浮细胞能够再次贴壁。
风险提示:丁香通仅作为第三方平台,为商家信息发布提供平台空间。用户咨询产品时请注意保护个人信息及财产安全,合理判断,谨慎选购商品,商家和用户对交易行为负责。对于医疗器械类产品,请先查证核实企业经营资质和医疗器械产品注册证情况。
文献和实验时间:我师兄曾经告诉我2hr,现在我觉得90min已经很好了。 4、细胞可以先用台盼蓝测定存活率。 5、鉴定:在倒置显微镜下观察,细胞呈梭形、多角形,细胞质透明,细胞核大,呈椭圆形,常含有2-3 个核。IHC可以用I抗体(动物抗人B3、抗波形蛋白、抗血管平滑肌肌动蛋白)其余基本按IHC的步骤来。 丁香园网友googles的观点: 1、用0.05或0.08%的胰酶消化成年大鼠心脏, 效果欠佳, 我是用0.25%的浓度, 分次消化, 6-7次后心
所示即为大鼠原代足细胞。按顺序:图1,2是培养7天传代前的图片,小球周围爬出很多细胞。图3,4是传代第二天细胞情况,过筛后仍有小的组织滤过。图5是传代7天足细胞完全分化图片。 由于本人实验刚有进展,好多图片制作不理想,后续的细胞免疫荧光坚持在做,失败过两次,出结果后再发,不过导师说了就是足细胞! 图1 图2 图3 图4 图5
的[5],但细胞得率均较低,而近些年来国外大多数方法采用以大脑皮质为材料、酶消化及梯度离心分离脑微血管段并进行原代培养[6~9,11,12]。由于原代培养中无法避免地混杂成纤维细胞、周细胞、平滑肌细胞、星型胶质细胞等其他细胞的生长,而且工作量大、过程繁琐且费用高[1],进行较纯的大鼠脑微血管内皮细胞原代培养一直是国内外的一个难点。 本人参照文献[6]、[7]、[8]的方法,成功地摸索出大鼠脑微血管内皮细胞分离和原代培养的方法,并获得纯度较高的脑微血管内皮细胞。 1.材料与方法 1.1 实验动物 每次
技术资料暂无技术资料 索取技术资料










