万千商家帮你免费找货
0 人在求购买到急需产品
- 详细信息
- 询价记录
- 文献和实验
- 技术资料
- 提供商:
北京义翘神州科技股份有限公司
- 服务名称:
磷酸化抗体定制服务
- 规格:
欢迎询价
磷酸化抗体定制服务
磷酸化抗体能特异性识别特定磷酸化位点,检测该蛋白在细胞受到刺激时磷酸化水平增强或减弱,进而反映该蛋白的功能状态的变化。非磷酸化抗体主要用于检测组织或细胞中该蛋白表达情况,组织分布或细胞定位,同时可作为测定磷酸化水平变化的内参。
义翘神州提供的磷酸化抗体制备服务包括多肽的设计与合成、多肽偶联、动物免疫、抗体纯化和QC检测等。我们在磷酸化抗体开发方面具有丰富的经验,可提供磷酸化多克隆抗体服务和磷酸化单克隆抗体服务。并且,最终交付的抗体经过磷酸化多肽与非磷酸化多肽的双重检测,确保特异性识别磷酸化的氨基酸位点。我们还可以按客户最终应用要求制定个性化免疫、筛选及检测方案,以满足客户验证要求。
磷酸化抗体的应用
- 蛋白磷酸化水平往往和蛋白活性相关:很多信号通路蛋白在受到某些刺激后都是通过改变其磷酸化水平而引起细胞的一系列反应,但其蛋白含量不见得会有多大的变化。
- 磷酸化抗体:针对特定磷酸化位点制备,检测该蛋白在细胞受到刺激时蛋白质的功能状态的变化(磷酸化水平增强或减弱)。
- 非磷酸化抗体:主要检测组织或细胞中该蛋白表达情况,组织分布或细胞定位,同时可作为磷酸化水平变化的内参。
服务优势

磷酸化兔多克隆抗体制备服务
- 周期: 15-19周

- 交付标准: ELISA效价>1:256,000; 与非磷酸化多肽的交叉反应<10%
磷酸化鼠单克隆抗体制备服务
- 周期: 5-7个月

- 交付标准: ELISA检测与磷酸化多肽结合,与非磷酸化多肽交叉反应<2%
磷酸化兔单克隆抗体制备服务

交付内容:
• 阳性克隆的抗体重链及轻链序列
• 分别含有抗体重链、轻链的商业表达载体
• 每个阳性克隆0.1-0.5mg纯化抗体
• 2mg磷酸化多肽
• 2mg非磷酸化多肽
• 质量检验报告 (CoA)
交付标准:
• 纯化抗体与磷酸化多肽结合,与非磷酸化多肽的交叉反应<2%
磷酸化兔单克隆抗体制备服务案例
义翘神州开发了多款磷酸化抗体产品可供客户选择,如S6K1 Thr389磷酸化兔单抗。通过自有的兔单B流式分选技术制备的兔单克隆抗体具有高特异性、高灵敏度(1: 200000)等特点。
高特异性验证

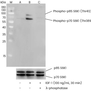
Western blot analysis of extracts from serum-starved MCF7, untreated (line A); treated with IGF-1 (Cat# 10598-HNAE) (100 ng/mL, 30 min; +) (line B); treated with IGF-1 and λ-phosphatase (line C) using Phospho-S6K1 (Thr389) rabbit monoclonal Antibody (Cat# 110396-R0001) at 1:5000 dilution(upper), or Anti-RPS6KB1 rabbit polyclonal antibody (Cat# 10099-T38) (lower) at 1:5000 dilution.

Western blot analysis of extracts from serum-starved MCF7, untreated (line A); treated with IGF-1 (Cat# 10598-HNAE) (100 ng/mL, 30 min), without peptide (line B) or antigen-specific phosphopeptide (line C) or antigen-specific peptide (line D) using Phospho-S6K1 (Thr389) rabbit monoclonal Antibody (Cat# 110396-R0001) at 1:5000 dilution.
超高稀释度

Western blot analysis of extracts from serum-starved MCF7, treated with IGF-1 (Cat# 10598-HNAE) (100 ng/mL, 30 min), using Phospho-S6K1 (Thr389) rabbit monoclonal Antibody (Cat# 110396-R0001) (Sino Biological) and other brands’ antibodies (company C, company P) at dilution of 1:1000, 1:10000 and 1:200000.
立即咨询磷酸化抗体制备服务
扫码咨询磷酸化抗体制备服务

(欢迎小伙伴来咨询哦!请注明来源、姓名,单位)
下载产品相关技术资料,获取更多磷酸化抗体定制服务相关内容!
风险提示:丁香通仅作为第三方平台,为商家信息发布提供平台空间。用户咨询产品时请注意保护个人信息及财产安全,合理判断,谨慎选购商品,商家和用户对交易行为负责。对于医疗器械类产品,请先查证核实企业经营资质和医疗器械产品注册证情况。
- 作者
- 内容
- 询问日期
文献和实验- 磷酸化抗体的特异性高,单抗开发过程可以介入筛选,能够很好地保证最终抗体的效果。 ——冯*淇,2022/4/15
- 技术老师给了很多建议及指导,最终交付给我们的抗体也很好用。——水*鸣, 2022/2/3
- 我们同时做了单抗和多抗,都很好。——管*, 2021/10/1
- 帮我们筛选的单抗特异性很好。——吕*媛,2021/6/27
prince1101 非磷酸化抗体是识别总得蛋白的,比如AKT。 P-AKT和AKT其实只差一些磷酸基,分子量稍大点,以前听别人讲P-AKT和AKT之间有shift,有时候WB是可以做出来的。 用的是梯度胶?分子量在68KD左右。应该怎么样来配胶呢?梯度胶的浓度? 谢谢! prince1101 希望高手能赐教! ourlab 某些 AKT抗体,如cell
本节课重点介绍磷酸化修饰位点的蛋白激酶预测、GSEA 方法、 iKAP方法等知识点。
haohuaiyong 各位战友,最近我在做磷酸化STAT3的检测,用cell signaling公司的磷酸化检测抗体与总STAT3抗体做WB,实验组(bFGF+EGF)与阳性对照的磷酸化水平是有增加的,但总STAT3在实验组是减少的而在对照组是强表达的,我看别人的文献都是将总STAT3作为阳性内参一样,应该是不变化的啊,为什么我做了好多次都是不均一的啊?实在是搞不明白,请做过这方面的战友帮忙!谢谢! dzhzh 你的灌注











