相关产品推荐更多 >
万千商家帮你免费找货
0 人在求购买到急需产品
- 详细信息
- 文献和实验
- 技术资料
- 免疫原:
Recombinant protein of human LY6E
- 亚型:
IgG
- 保存条件:
Store at -20°C. Avoid freeze / thaw cycles.
- 克隆性:
单克隆
- 适应物种:
Human Mouse
- 目录编号:
K006299P
- 库存:
999
- 供应商:
北京索莱宝科技有限公司
- 宿主:
Rabbit
- 靶点:
LY6E
- 抗体英文名:
Anti-LY6E Polyclonal Antibody
- 抗体名:
RIG-E;RIGE;SCA-2;SCA2;TSA-1
- 规格:
50ul/100ul
| 规格: | 50ul | 产品价格: | ¥2100.0 |
|---|---|---|---|
| 规格: | 100ul | 产品价格: | ¥3500.0 |
产品简介
| 单位 | 支 |
| 别名 | RIG-E;RIGE;SCA-2;SCA2;TSA-1 |
| 宿主 | Rabbit |
| 稀释比例 | WB 1:1000-2000.IF 1:50-200 |
| Gene ID | 4061 |
| Swiss Prot | Q16553 |
| 蛋白分子量 | 14kDa |
| 储存液 | Buffer: PBS with 0.02% sodium azide, 50% glycerol, pH7.3. |
| 亚细胞定位 | Cell membrane GPI-anchor Lipid-anchor |
| 免疫原 | Recombinant protein of human LY6E |
| 纯化方法 | Affinity purification |
| 背景资料 | Sca1, also known as Ly6A/E, is a member of the Ly6 multigene family of type V glycophosphatidylinositol anchored cell surface proteins. It is expressed on multipotent hematopoietic stem cells in bone marrow of mice with both the Ly6.1 and Ly6.2 allotypes. |
| Public Immunogen Range | Recombinant protein of human LY6E |
| 克隆类型 | Polyclonal Antibody |
| 交叉反应 | Human Mouse |
| 应用 | WB IF |
备注: 
实验图
Western blot analysis with LY6E antibody diluted at 1:1000
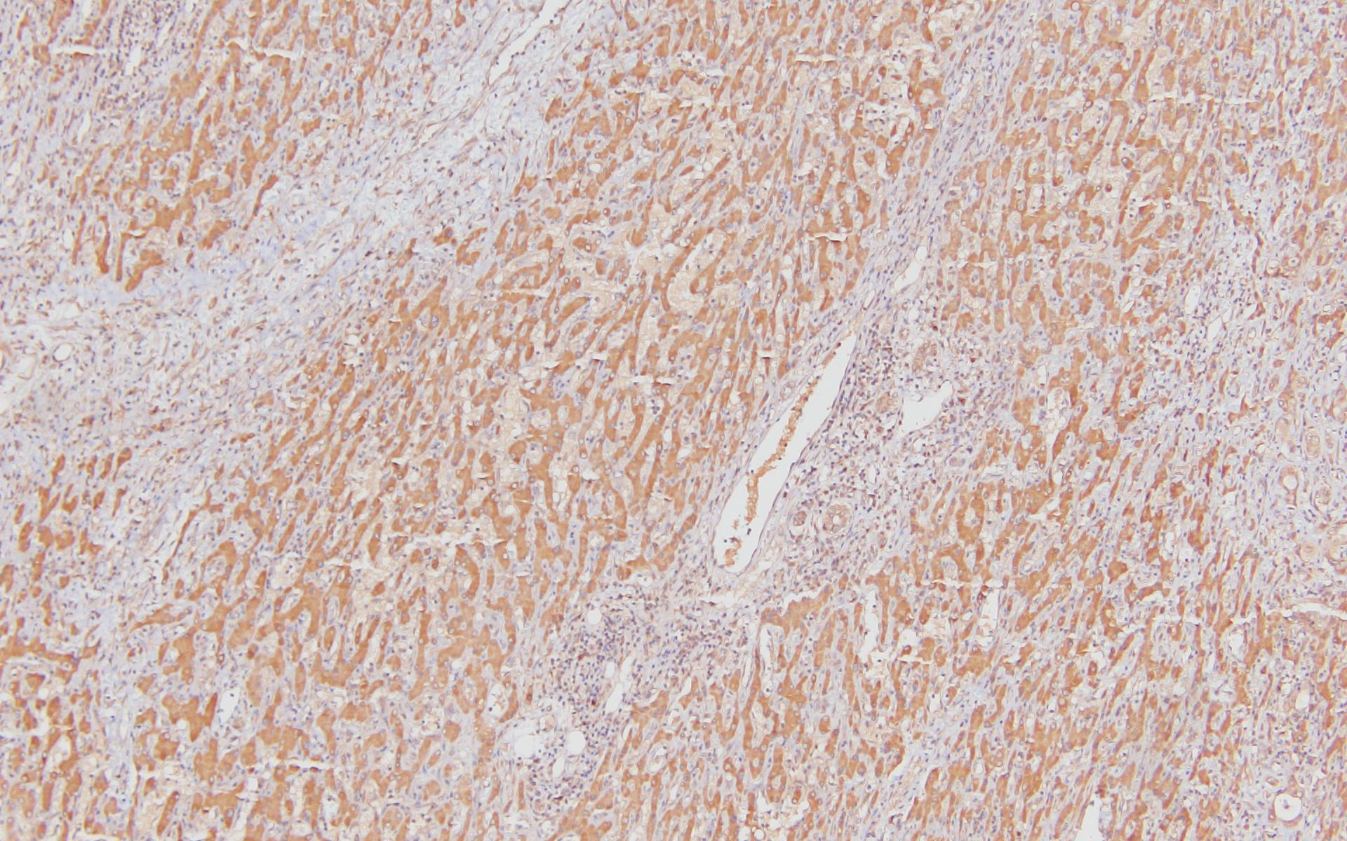
Immunohistochemistry of paraffin-embedded Liver cancer(hu) using LY6E antibody at dilution of 1:100 (x100 lens).
风险提示:丁香通仅作为第三方平台,为商家信息发布提供平台空间。用户咨询产品时请注意保护个人信息及财产安全,合理判断,谨慎选购商品,商家和用户对交易行为负责。对于医疗器械类产品,请先查证核实企业经营资质和医疗器械产品注册证情况。
文献和实验Polyclonal Antibody Production
, if desired this is best accomplished by Protein A Affinity Chromatography. 上一篇:make an Antibody against a Peptides 下一篇:Immunization Protocol for Monoclonal Antibody Production
Polyclonal Antibody Production
Polyclonal Antibody Production Very useful for rapid and simple generation of antibodies for western blots, ELISA assays, and immunoprecipitation. Rabbit Immunization Initial Preparation Your antigen
a simple ELISA method to detect human anti-antibody response.
技术资料暂无技术资料 索取技术资料











