相关产品推荐更多 >
万千商家帮你免费找货
0 人在求购买到急需产品
- 详细信息
- 文献和实验
- 技术资料
- 免疫原:
Carrier-protein conjugated synthetic peptide encompassing a sequence within the C-terminus region of human MMP7. The exact sequence is proprietary.
- 亚型:
IgG
- 形态:
Liquid
- 保存条件:
Store as concentrated solution. Centrifuge briefly prior to opening vial. For short-term storage (1-2 weeks), store at 4ºC. For long-term storage, aliquot and store at -20ºC or below. Avoid multiple freeze-thaw cycles.
- 克隆性:
Polyclonal
- 标记物:
Unconjugated
- 适应物种:
Human, Mouse, Rat, Bovine
- 保质期:
12 months from the shipping date of the product.
- 抗原来源:
Human
- 目录编号:
GTX104658
- 级别:
Primary Antibodies
- 库存:
Available
- 供应商:
GeneTex
- 宿主:
Rabbit
- 应用范围:
WB, IHC-P, ELISA
- 浓度:
0.45 mg/ml (Please refer to the vial label for the specific concentration.)
- 靶点:
MMP7
- 抗体英文名:
MMP7 antibody [C2C3], C-term
- 抗体名:
MMP7 抗体 [C2C3], C-term
- 规格:
100 μl/25 μl
| 规格: | 100 μl | 产品价格: | ¥4000.0 |
|---|---|---|---|
| 规格: | 25 μl | 产品价格: | ¥1700.0 |
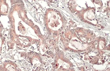
MMP7 antibody [C2C3], C-term detects MMP7 protein at cytoplasm by immunohistochemical analysis.
Sample: Paraffin-embedded human colon cancer.
MMP7 stained by MMP7 antibody [C2C3], C-term (GTX104658) diluted at 1:500.
Antigen Retrieval: Citrate buffer, pH 6.0, 15 min
Indirect ELISA analysis was performed by coating the plate with recombinant HEK293 expressed, full-length human MMP-7 / PUMP1 protein, His Tag (4000-62.5 ng/mL). Coated protein was probed with MMP7 antibody [C2C3], C-term (GTX104658) (1 μg/mL). Goat anti-rabbit IgG antibody (HRP) (GTX213110-01) (1:10000) was used to detect the bound primary antibody.
A549 whole cell extract and conditioned medium (30 μg) were separated by 12% SDS-PAGE, and the membrane was blotted with MMP7 antibody [C2C3], C-term (GTX104658) diluted at 1:500. The HRP-conjugated anti-rabbit IgG antibody (GTX213110-01) was used to detect the primary antibody.
MMP7 antibody [C2C3], C-term detects MMP7 protein at cytoplasm by immunohistochemical analysis.
Sample: Paraffin-embedded human endometrial carcinoma.
MMP7 stained by MMP7 antibody [C2C3], C-term (GTX104658) diluted at 1:500.
Antigen Retrieval
风险提示:丁香通仅作为第三方平台,为商家信息发布提供平台空间。用户咨询产品时请注意保护个人信息及财产安全,合理判断,谨慎选购商品,商家和用户对交易行为负责。对于医疗器械类产品,请先查证核实企业经营资质和医疗器械产品注册证情况。
文献和实验Mo H et al., Antioxid Redox Signal 2016 (PMID:27960539)
Ho WT et al., Am J Pathol 2015 (PMID:26216284)
Wang JM et al., J Biol Chem 2014 (PMID:24713700)
Oelusarz A et al., Physiol Rep 2013 (PMID:24273653)
Zhou D et al., Sci Rep 2013 (PMID:23698793)
Ting-Yang Hsieh et al., Molecules 2022 (PMID:35565989)
Jinhua Miao et al., Physiol Rep 2021 (PMID:33463897)
Seongki Min et al., Cell Death Dis 2021 (PMID:34772924)
Luo C et al., J Am Soc Nephrol 2018 (PMID:29440280)
Zhou D et al., FASEB J 2019 (PMID:31461626)
Wang P et al., Glia 2018 (PMID:29600597)
Luo W et al., World J Surg Oncol 2018 (PMID:29466986)
Zhou L et al., Am J Pathol 2015 (PMID:26475416)
Cai T et al., J Cell Mol Med 2017 (PMID:29193729)
Pei YF et al., Biochim Biophys Acta 2017 (PMID:29045811)
于研究。 性能参数 LIST OF ANTBODY PRODUCTS AP8401a BDP1 N-term Antibody AP8408b MEG2 C-term Antibody AP8451b PPP3CA C-term Antibody AP8449b CTDSP1 C-term Antibody AP8408a MEG2 N-term Antibody AP8451a PPP3CA N-term Antibody AP8449
【资源】全面归类网址:毕赤酵母表达各种来源蛋白(细菌,真菌,植物,人类等)
europaea (olive tree) aeroallergen Ole e 1S, 60 mg/L, α-MF[115, 334, 391]Olea europaea 1,3-β-glucanase Ole e 9 C-term.seg.S, 100 mg/L, α-MF, active486Oleaceae sp. (lilac and privet) pollen allergensS, 30 mg/L, reactive481Pepper endo-b-1,4-glucanase cCel1S
技术资料暂无技术资料 索取技术资料








