相关产品推荐更多 >
万千商家帮你免费找货
0 人在求购买到急需产品
- 详细信息
- 文献和实验
- 技术资料
- 免疫原:
Recombinant protein encompassing a sequence within the center region of human DNA polymerase delta. The exact sequence is proprietary.
- 亚型:
IgG
- 形态:
Liquid
- 保存条件:
Store as concentrated solution. Centrifuge briefly prior to opening vial. For short-term storage (1-2 weeks), store at 4ºC. For long-term storage, aliquot and store at -20ºC or below. Avoid multiple freeze-thaw cycles.
- 克隆性:
Polyclonal
- 标记物:
Unconjugated
- 适应物种:
Human, Rat
- 保质期:
12 months from the shipping date of the product.
- 抗原来源:
Human
- 目录编号:
GTX102888
- 级别:
Primary Antibodies
- 库存:
Available
- 供应商:
GeneTex
- 宿主:
Rabbit
- 应用范围:
WB, ICC/IF, IHC-P
- 浓度:
0.56 mg/ml (Please refer to the vial label for the specific concentration.)
- 靶点:
DNA polymerase delta
- 抗体英文名:
DNA polymerase delta antibody
- 抗体名:
DNA polymerase delta 抗体
- 规格:
100 μl/25 μl
| 规格: | 100 μl | 产品价格: | ¥4000.0 |
|---|---|---|---|
| 规格: | 25 μl | 产品价格: | ¥1700.0 |
DNA polymerase delta antibody detects POLD1 protein by Western blot analysis.
A. 30 μg Rat2 whole cell lysate/extract
5 % SDS-PAGE
DNA polymerase delta antibody (GTX102888) dilution: 1:1000
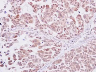
DNA polymerase delta antibody detects DNA polymerase delta protein at cytoplasm and nucleus on human lung adenocarcinoma by immunohistochemical analysis.
Sample: Paraffin-embedded human lung adenocarcinoma.
DNA polymerase delta antibody (GTX102888) diluted at 1:250.
Antigen Retrieval: Trilogy™ (EDTA based, pH 8.0) buffer, 15min
Various whole cell extracts (30 μg) were separated by 5% SDS-PAGE, and the membrane was blotted with DNA polymerase delta antibody (GTX102888) diluted at 1:500. The HRP-conjugated anti-rabbit IgG antibody (GTX213110-01) was used to detect the primary antibody.
Immunofluorescence analysis of PFA-fixed HeLa, using DNA Polymerase delta, catalytic subunit(GTX102888) antibody at 1:200 dilution.
Sample (30 ug of whole cell lysate)
A: Molt-4 (GTX27912)
7.5% SDS PAGE
GTX102888 diluted at 1:3000
风险提示:丁香通仅作为第三方平台,为商家信息发布提供平台空间。用户咨询产品时请注意保护个人信息及财产安全,合理判断,谨慎选购商品,商家和用户对交易行为负责。对于医疗器械类产品,请先查证核实企业经营资质和医疗器械产品注册证情况。
文献和实验Valdez BC et al., Leuk Lymphoma 2017 (PMID:28394191)
We report a simple homogeneous fluorescence assay for quantification of DNA polymerase function in high throughput. The fluorescence signal is generated by the DNA polymerase triggering opening of a molecular beacon extension of the template
The Polymerase Chain Reaction (PCR)
. Did He Really Invent PCR? • The basic principle of replicating a piece of DNA using two primers had already been described by Gobind Khorana in 1971:– Kleppe et al. (1971) J. Mol. Biol. 56, 341-346. • Progress was limited by primer synthesis and polymerase
能催化从四种5′-脱氧核苷三磷酸游离出焦磷酸而使DNA进行聚合反应的酶。EC2.7.7.7.。必须以DNA为模板,合成的DNA与模板具有互补的碱基排列(碱基互补性)。是与DNA复制和修复有关的重要的酶,虽可从许多组织分离出来,但对大肠杆菌的这种酶的研究较为先进。康伯格(A.Kornberg,1958)最初从大肠杆菌将此酶纯化,并弄清了其结构和特异性,但以后经过分子遗传学的研究,已明确了这种酶主要与DNA修复有关。因此重新进行与DNA复制有关酶的检索,发现两种新的酶。康伯格最初发现的酶称为
技术资料暂无技术资料 索取技术资料






![CD3 antibody [KT3] (Low endotoxin, azide free)](https://img1.dxycdn.com/2023/0711/451/6106825198874858761-14.jpg!wh200)


