相关产品推荐更多 >
万千商家帮你免费找货
0 人在求购买到急需产品
- 详细信息
- 文献和实验
- 技术资料
- 供应商:
上海康朗生物科技有限公司
- 库存:
大量
- 目录编号:
kl-7416R
- 克隆性:
多克隆
- 抗原来源:
Rabbit
- 保质期:
12个月
- 抗体英文名:
DNA polymerase delta antibody
- 抗体名:
DNA聚合酶δ 抗体
- 宿主:
Rabbit
- 适应物种:
Human, Mouse, Rat, Rabbit,
- 免疫原:
KLH conjugated synthetic peptide derived from Human DNA polymerase delta:101-200/469
- 亚型:
IgG
- 形态:
冻干粉或液体
- 应用范围:
WB=1:500-2000 ELISA=1:500-1000 IHC-P=1:400-800 IHC-F=1:400-800 ICC=1:100-500 IF=1:100-500
- 浓度:
1mg/ml
- 保存条件:
-20 °C
- 规格:
100ul 200ul
| 中文名称 | DNA聚合酶δ 抗体 |
| 别 名 | DNA polymerase delta subunit 2; DNA polymerase delta subunit p50; DNA polymerase subunit delta 2; DNA polymerase subunit delta p50; DPOD2_HUMAN; POLD 2; POLD2. |
| 规格价格 | 100ul/1380元 购买 200ul/2200元 购买 大包装/询价 |
| 说 明 书 | 100ul 200ul |
| 研究领域 | 细胞生物 染色质和核信号 信号转导 表观遗传学 |
| 抗体来源 | Rabbit |
| 克隆类型 | Polyclonal |
| 交叉反应 | Human, Mouse, Rat, Rabbit, |
| 产品应用 | WB=1:500-2000 ELISA=1:500-1000 IHC-P=1:400-800 IHC-F=1:400-800 ICC=1:100-500 IF=1:100-500 (石蜡切片需做抗原修复) not yet tested in other applications. optimal dilutions/concentrations should be determined by the end user. |
| 分 子 量 | 51kDa |
| 细胞定位 | 细胞核 |
| 性 状 | Lyophilized or Liquid |
| 浓 度 | 1mg/ml |
| 免 疫 原 | KLH conjugated synthetic peptide derived from Human DNA polymerase delta:101-200/469 |
| 亚 型 | IgG |
| 纯化方法 | affinity purified by Protein A |
| 储 存 液 | 0.01M TBS(pH7.4) with 1% BSA, 0.03% Proclin300 and 50% Glycerol. |
| 保存条件 | Store at -20 °C for one year. Avoid repeated freeze/thaw cycles. The lyophilized antibody is stable at room temperature for at least one month and for greater than a year when kept at -20°C. When reconstituted in sterile pH 7.4 0.01M PBS or diluent of antibody the antibody is stable for at least two weeks at 2-4 °C. |
| PubMed | PubMed |
| 产品介绍 | background: DNA replication, recombination and repair, all of which are necessary for genomic stability, require the presence of exonucleases (1). In DNA replication, these enzymes are involved in the processing of Okazaki fragments, whereas in DNA repair, they function to excise damaged DNA fragments and correct recombinational mismatches (2). These exonucleases include the family of DNA polymerases (3). DNA pol α, β, ∂, and e are involved in DNA replication and repair (4). DNA pol ∂ and DNA pol e are multisubunit enzymes, with DNA pol ∂ consisting of two subunits p125, which interacts with the sliding DNA clamp protein PCNA, and p50 (5). The nuclear-encoded DNA pol © is the only DNA polymerase required for the replication of the mitochondrial DNA (6). DNA pol Ω is ubiquitously expressed in various tissues and mediates the cellular mechanism of damage-induced mutagenesis (7). DNA pol œ is a DNA polymerase-helicase that binds ATP and is involved in the repair of interstrand crosslinks (8). Function: The function of the small subunit is not yet clear. Subcellular Location: Nucleus. Similarity: Belongs to the DNA polymerase delta/II small subunit family. SWISS: P49005 Gene ID: 5425 Database links: Entrez Gene: 281991 Cow Entrez Gene: 5425 Human Entrez Gene: 18972 Mouse Entrez Gene: 289758 Rat Omim: 600815 Human SwissProt: P49004 Cow SwissProt: P49005 Human SwissProt: O35654 Mouse SwissProt: Q6AXY4 Rat Unigene: 306791 Human Unigene: 35788 Mouse Unigene: 22989 Rat Important Note: This product as supplied is intended for research use only, not for use in human, therapeutic or diagnostic applications. |
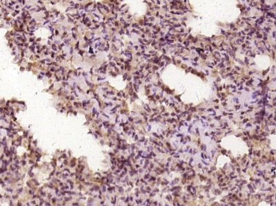
| 产品图片 | ![]() Sample: MOLT-4(Human) Cell Lysate at 30 ug Primary: Anti-DNA polymerase delta (bs-7416R) at 1/300 dilution Secondary: IRDye800CW Goat Anti-Rabbit IgG at 1/20000 dilution Predicted band size: 51 kD Observed band size: 51 kD ![]() Sample: Hela(Human) Cell Lysate at 30 ug Primary: Anti-DNA polymerase delta (bs-7416R) at 1/300 dilution Secondary: IRDye800CW Goat Anti-Rabbit IgG at 1/20000 dilution Predicted band size: 51 kD Observed band size: 51 kD ![]() Paraformaldehyde-fixed, paraffin embedded (rat lung tissue); Antigen retrieval by boiling in sodium citrate buffer (pH6.0) for 15min; Block endogenous peroxidase by 3% hydrogen peroxide for 20 minutes; Blocking buffer (normal goat serum) at 37°C for 30min; Antibody incubation with (POLD2) Polyclonal Antibody, Unconjugated (bs-7416R) at 1:400 overnight at 4°C, followed by operating according to SP Kit(Rabbit) (sp-0023) instructionsand DAB staining. |
风险提示:丁香通仅作为第三方平台,为商家信息发布提供平台空间。用户咨询产品时请注意保护个人信息及财产安全,合理判断,谨慎选购商品,商家和用户对交易行为负责。对于医疗器械类产品,请先查证核实企业经营资质和医疗器械产品注册证情况。
文献和实验We report a simple homogeneous fluorescence assay for quantification of DNA polymerase function in high throughput. The fluorescence signal is generated by the DNA polymerase triggering opening of a molecular beacon extension of the template
The Polymerase Chain Reaction (PCR)
. Did He Really Invent PCR? • The basic principle of replicating a piece of DNA using two primers had already been described by Gobind Khorana in 1971:– Kleppe et al. (1971) J. Mol. Biol. 56, 341-346. • Progress was limited by primer synthesis and polymerase
能催化从四种5′-脱氧核苷三磷酸游离出焦磷酸而使DNA进行聚合反应的酶。EC2.7.7.7.。必须以DNA为模板,合成的DNA与模板具有互补的碱基排列(碱基互补性)。是与DNA复制和修复有关的重要的酶,虽可从许多组织分离出来,但对大肠杆菌的这种酶的研究较为先进。康伯格(A.Kornberg,1958)最初从大肠杆菌将此酶纯化,并弄清了其结构和特异性,但以后经过分子遗传学的研究,已明确了这种酶主要与DNA修复有关。因此重新进行与DNA复制有关酶的检索,发现两种新的酶。康伯格最初发现的酶称为
技术资料暂无技术资料 索取技术资料













