相关产品推荐更多 >
万千商家帮你免费找货
0 人在求购买到急需产品
- 详细信息
- 文献和实验
- 技术资料
- 免疫原:
Recombinant protein encompassing a sequence within the center region of human Grp78. The exact sequence is proprietary.
- 亚型:
IgG
- 形态:
Liquid
- 保存条件:
Store as concentrated solution. Centrifuge briefly prior to opening vial. For short-term storage (1-2 weeks), store at 4ºC. For long-term storage, aliquot and store at -20ºC or below. Avoid multiple freeze-thaw cycles.
- 克隆性:
Polyclonal
- 标记物:
Unconjugated
- 适应物种:
Human, Mouse, Rat, Zebrafish, Mosquito
- 保质期:
12 months from the shipping date of the product.
- 抗原来源:
Human
- 目录编号:
GTX102580
- 级别:
Primary Antibodies
- 库存:
Available
- 供应商:
GeneTex
- 宿主:
Rabbit
- 应用范围:
WB, ICC/IF, IHC-P, IP
- 浓度:
1.28 mg/ml (Please refer to the vial label for the specific concentration.)
- 靶点:
Knockdown/Knockout validation was supported by customer review data.
- 抗体英文名:
Grp78 antibody [N2C1], Internal
- 抗体名:
Grp78 抗体 [N2C1], Internal
- 规格:
100 μl/25 μl
| 规格: | 100 μl | 产品价格: | ¥4000.0 |
|---|---|---|---|
| 规格: | 25 μl | 产品价格: | ¥1700.0 |
Non-transfected (–) and transfected (+) HepG2 whole cell extracts (30 μg) were separated by 7.5% SDS-PAGE, and the membrane was blotted with Grp78 antibody [N2C1], Internal (GTX102580) diluted at 1:10000. The HRP-conjugated anti-rabbit IgG antibody (GTX213110-01) was used to detect the primary antibody.
Grp78 antibody [N2C1], Internal detects Grp78 protein at cytoplasm in rat prostate by immunohistochemical analysis.
Sample: Paraffin-embedded rat prostate.
Grp78 antibody [N2C1], Internal (GTX102580) diluted at 1:500.
Antigen Retrieval: Citrate buffer, pH 6.0, 15 min
Grp78 antibody [N2C1], Internal detects Grp78 protein at cytosol on mouse intestine by immunohistochemical analysis.
Sample: Paraffin-embedded mouse intestine.
Grp78 antibody [N2C1], Internal (GTX102580) dilution: 1:500.
Antigen Retrieval: Trilogy™ (EDTA based, pH 8.0) buffer, 15min
Whole zebrafish extract (30 μg) was separated by 7.5% SDS-PAGE, and the membrane was blotted with Grp78 antibody [N2C1], Internal (GTX102580) diluted at 1:1000. The HRP-conjugated anti-rabbit IgG antibody (GTX213110-01) was used to detect the primary antibody, and the signal was developed with Trident femto Western HRP Substrate.
Immunoprecipitation of Grp78 protein from HepG2 whole cell extracts using 5 μg of Grp78 antibody [N2C1], Internal (GTX102580).
Western blot analysis was performed using Grp78 antibody [N2C1], Internal (GTX102580).
EasyBlot anti-Rabbit IgG (GTX221666-01) was used as a secondary reagent.
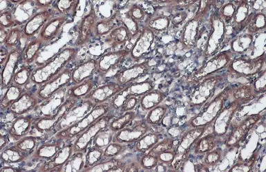
Grp78 antibody [N2C1], Internal detects Grp78 protein at cytoplasm by immunohistochemical analysis.
Sample: Paraffin-embedded rat kidney.
Grp78 stained by Grp78 antibody [N2C1], Internal (GTX102580) diluted at 1:1000.
Antigen Retrieval: Citrate buffer, pH 6.0, 15 min
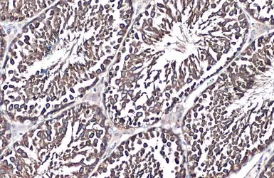
Grp78 antibody [N2C1], Internal detects Grp78 protein at cytoplasm by immunohistochemical analysis.
Sample: Paraffin-embedded mouse testis.
Grp78 stained by Grp78 antibody [N2C1], Internal (GTX102580) diluted at 1:500.
Antigen Retrieval: Citrate buffer, pH 6.0, 15 min
Grp78 antibody [N2C1], Internal detects Grp78 protein at cytosol on rat hind brain by immunohistochemical analysis.
Sample: Paraffin-embedded rat hind brain.
Grp78 antibody [N2C1], Internal (GTX102580) dilution: 1:500.
Antigen Retrieval: Trilogy™ (EDTA based, pH 8.0) buffer, 15min
Grp78 antibody [N2C1], Internal detects Grp78 protein at cytoplasm in mouse brain by immunohistochemical analysis.
Sample: Paraffin-embedded mouse brain.
Grp78 antibody [N2C1], Internal (GTX102580) diluted at 1:500.
Antigen Retrieval: Citrate buffer, pH 6.0, 15 min
Various whole cell extracts (30 μg) were separated by 7.5% SDS-PAGE, and the membrane was blotted with Grp78 antibody [N2C1], Internal (GTX102580) diluted at 1:5000. The HRP-conjugated anti-rabbit IgG antibody (GTX213110-01) was used to detect the primary antibody.
风险提示:丁香通仅作为第三方平台,为商家信息发布提供平台空间。用户咨询产品时请注意保护个人信息及财产安全,合理判断,谨慎选购商品,商家和用户对交易行为负责。对于医疗器械类产品,请先查证核实企业经营资质和医疗器械产品注册证情况。
文献和实验Chen X et al., Redox Biol 2017 (PMID:28499253)
Cueno ME et al., Microb Pathog 2015 (PMID:26541671)
Chen J et al., mBio 2020 (PMID:32934082)
Weng SC et al., Insect Mol Biol 2020 (PMID:32338421)
Cai H et al., Int J Mol Med 2020 (PMID:31922237)
In the field of therapeutic recombinant proteins, monoclonal antibodies (mAbs) have achieved a rising success with more than 30 mAbs that have reached the market in the past 20 years. From a structural standpoint, one of the most important
. For most substrates, it is believed, though it has been demonstrated experimentally only for a few, that the first ubiquitin moiety is conjugated, via its C-terminal Gly76 residue, to an ε-NH2 group of an internal Lys residue. Recent findings indicate
Using MZEF to Find Internal Coding Exons
) was designed to help identify one of the most important classes of exons, i.e. the internal coding exons, in human genomic DNA sequences. It is neither for predicting intronless genes, nor for assembling predicted exons into complete gene models
技术资料暂无技术资料 索取技术资料






![Fibronectin antibody [HFN7.1]](https://img1.dxycdn.com/2023/0711/451/6106825198874858761-14.jpg!wh200)

