相关产品推荐更多 >
万千商家帮你免费找货
0 人在求购买到急需产品
- 详细信息
- 文献和实验
- 技术资料
- 免疫原:
Recombinant protein encompassing a sequence within the N-terminus region of human Actin Gamma 1. The exact sequence is proprietary.
- 亚型:
IgG
- 形态:
Liquid
- 保存条件:
Store as concentrated solution. Centrifuge briefly prior to opening vial. For short-term storage (1-2 weeks), store at 4ºC. For long-term storage, aliquot and store at -20ºC or below. Avoid multiple freeze-thaw cycles.
- 克隆性:
Polyclonal
- 标记物:
Unconjugated
- 适应物种:
Human, Mouse, Rat, Cat, Dog
- 保质期:
12 months from the shipping date of the product.
- 抗原来源:
Human
- 目录编号:
GTX101794
- 级别:
Primary Antibodies
- 库存:
Available
- 供应商:
GeneTex
- 宿主:
Rabbit
- 应用范围:
WB, IHC-P, IHC-Fr
- 浓度:
0.2 mg/ml (Please refer to the vial label for the specific concentration.)
- 靶点:
Actin Gamma 1
- 抗体英文名:
Actin Gamma 1 antibody
- 抗体名:
Actin Gamma 1 抗体
- 规格:
100 μl/25 μl
| 规格: | 100 μl | 产品价格: | ¥4000.0 |
|---|---|---|---|
| 规格: | 25 μl | 产品价格: | ¥1700.0 |
Whole cell extract (30 μg) was separated by 10% SDS-PAGE, and the membrane was blotted with Actin Gamma 1 antibody (GTX101794) diluted at 1:1000. The HRP-conjugated anti-rabbit IgG antibody (GTX213110-01) was used to detect the primary antibody, and the signal was developed with Trident ECL plus-Enhanced.
PG-4 whole cell extract (30 μg) was separated by 10% SDS-PAGE, and the membrane was blotted with Actin Gamma 1 antibody (GTX101794) diluted at 1:1000. The HRP-conjugated anti-rabbit IgG antibody (GTX213110-01) was used to detect the primary antibody.
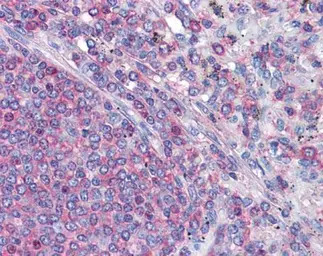
Actin Gamma 1 antibody detects Actin Gamma 1 protein at cell membrane by immunohistochemical analysis.
Sample: Paraffin-embedded cat intestine.
Actin Gamma 1 stained by Actin Gamma 1 antibody (GTX101794) diluted at 1:500.
Antigen Retrieval: Citrate buffer, pH 6.0, 15 min
Various whole cell extracts (30 μg) were separated by 10% SDS-PAGE, and the membrane was blotted with alpha Sarcomeric Actin antibody (GTX101794) diluted at 1:1000.
Immunohistochemical analysis of paraffin-embedded human Spleen, using gamma Actin(GTX101794) antibody(10 μg/ml).
Antigen Retrieval: Trilogy™ (EDTA based, pH 8.0) buffer, 15min
Sample (30 ug of whole cell lysate)
A: A431 (GTX27909)
10% SDS PAGE
GTX101794 diluted at 1:1000
Sample (30 ug of whole cell lysate)
A: NIH-3T3
B: JC
C: BCL-1
10% SDS PAGE
GTX101794 diluted at 1:1000
风险提示:丁香通仅作为第三方平台,为商家信息发布提供平台空间。用户咨询产品时请注意保护个人信息及财产安全,合理判断,谨慎选购商品,商家和用户对交易行为负责。对于医疗器械类产品,请先查证核实企业经营资质和医疗器械产品注册证情况。
文献和实验Xie Y et al., Anal Biochem 2019 (PMID:30981700)
Li W et al., J Diabetes Res 2018 (PMID:29955616)
Chen YH et al., Cancers (Basel) 2019 (PMID:31430901)
Chang YC et al., Cancer Res 2019 (PMID:31358528)
. For primary antibody use anti-GST at 1:1000 and anti-actin at 1:1000. For secondary use HRP conjugated IgG at 1:10,000. Actin Capture Assay Reagants Binding Buffer: 1X PBS pH 7.2 (Lane Recipe) + 10% Glycerol + 1mMMgCl2 + 0.2mM ATP + 0.1% BSA
大鼠Actin-b(Actin-b)ELISA试剂盒 说明书
上海西唐生物科技有限公司 021-55229872, 65333639 www.westang.com 大鼠 Actin- b (Actin- b )ELISA 试剂盒 ( 用于血清、血浆、细胞培养上清液和其它生物体液内 ) 原理 本实验采用双抗体夹心 ABC-ELISA 法。用抗大鼠 Actin- b 单抗包被于酶标板上,标准品和样品中的 Actin- b 与单抗结合,加入生物素化的抗大
by reaction with alkaline phosphatase-conjugated goat anti-mouse secondary antibody. Choose the actin pool broadly, however, consider also checking the column fractions by dot blot with mAB 3F2 to identify capping protein. Pool the actin fractions
技术资料暂无技术资料 索取技术资料







![GIMAP8 antibody [C1], Internal](https://img1.dxycdn.com/2023/0516/045/6925717576889828561-14.jpg!wh200)


