相关产品推荐更多 >
万千商家帮你免费找货
0 人在求购买到急需产品
- 详细信息
- 文献和实验
- 技术资料
- 免疫原:
Human p21 protein
- 亚型:
IgG1
- 形态:
Liquid
- 保存条件:
Store as concentrated solution. Centrifuge briefly prior to opening vial. Store at 4ºC. DO NOT FREEZE.
- 克隆性:
Monoclonal
- 标记物:
Unconjugated
- 适应物种:
Human, Primate
- 保质期:
12 months from the shipping date of the product.
- 抗原来源:
Human
- 目录编号:
GTX27903
- 级别:
Primary Antibodies
- 库存:
Available
- 供应商:
GeneTex
- 宿主:
Mouse
- 应用范围:
WB, ICC/IF, IHC-P, ELISA
- 浓度:
1 mg/ml (Please refer to the vial label for the specific concentration.)
- 靶点:
p21 Cip1
- 抗体英文名:
p21 Cip1 antibody [WA-1]
- 抗体名:
p21 Cip1 抗体 [WA-1]
- 规格:
100 μg
ICC/IF analysis of human primary fibroblasts using GTX27903 p21 Cip1 antibody [WA-1].
Green : Primary antibody
Red : Actin
Blue : DAPI
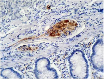
IHC-P analysis of colon carcinoma tissue using GTX27903 p21 Cip1 antibody [WA-1].
风险提示:丁香通仅作为第三方平台,为商家信息发布提供平台空间。用户咨询产品时请注意保护个人信息及财产安全,合理判断,谨慎选购商品,商家和用户对交易行为负责。对于医疗器械类产品,请先查证核实企业经营资质和医疗器械产品注册证情况。
文献和实验Analysis of p21CDKN1A Recruitment to DNA Excision Repair Foci in the UV-Induced DNA Damage Response
The cyclin-dependent kinase (CDK) inhibitor p21CDKN1A (also known as p21waf1/cip1 ) is a well known player of the G1 and G2 phase cell cycle checkpoints, which are activated in response to DNA damage. In addition, p21 interacts directly
-induced responses, including a down-regulation of the cyclin-dependent kinase (Cdk2) inhibitors p21CIP1 and p27KIP1 , while attachment to P-L-L did not. We conclude that engagement of the FN-receptor integrin α5β1 induces integrin signaling regulating
(1 ). In our laboratory, we have developed methods to immortalize specific antibody-producing cells by fusing secreting EBV-activated lymphocytes to mouse-human heteromyeloma cell lines with electrofusion, followed by cloning (2 ). This methodology has allowed
技术资料暂无技术资料 索取技术资料







![CD45RA antibody [Bu78] (FITC)](https://custom.dxycdn.com/trademd/upload/pic/2011/12/14/1323695851.jpg!small.t.1)

