相关产品推荐更多 >
万千商家帮你免费找货
0 人在求购买到急需产品
- 详细信息
- 文献和实验
- 技术资料
- 免疫原:
Recombinant protein encompassing a sequence within the C-terminus region of human ATP5A1. The exact sequence is proprietary.
- 亚型:
IgG
- 形态:
Liquid
- 保存条件:
Store as concentrated solution. Centrifuge briefly prior to opening vial. For short-term storage (1-2 weeks), store at 4ºC. For long-term storage, aliquot and store at -20ºC or below. Avoid multiple freeze-thaw cycles.
- 克隆性:
Polyclonal
- 标记物:
Unconjugated
- 适应物种:
Human, Mouse, Rat
- 保质期:
12 months from the shipping date of the product.
- 抗原来源:
Human
- 目录编号:
GTX101741
- 级别:
Primary Antibodies
- 库存:
Available
- 供应商:
GeneTex
- 宿主:
Rabbit
- 应用范围:
WB, ICC/IF, IHC-P, IHC-Fr
- 浓度:
0.66 mg/ml (Please refer to the vial label for the specific concentration.)
- 靶点:
ATP5A1
- 抗体英文名:
ATP5A1 antibody [C2C3], C-term
- 抗体名:
ATP5A1 抗体 [C2C3], C-term
- 规格:
100 μl/25 μl
| 规格: | 100 μl | 产品价格: | ¥4000.0 |
|---|---|---|---|
| 规格: | 25 μl | 产品价格: | ¥1700.0 |
HepG2 and mitochondria extracts (30 μg) were separated by SDS-PAGE, and the membrane was blotted with ATP5A1 antibody [C2C3], C-term (GTX101741) diluted at 1:2000. The HRP-conjugated anti-rabbit IgG antibody (GTX213110-01) was used to detect the primary antibody.
ATP5A1 antibody [C2C3], C-term detects ATP5A1 protein at cytosol on human colon carcinoma by immunohistochemical analysis.
Sample: Paraffin-embedded colon carcinoma.
ATP5A1 antibody [C2C3], C-term (GTX101741) dilution: 1:200.
Antigen Retrieval: Trilogy™ (EDTA based, pH 8.0) buffer, 15min
Various tissue extracts (50 μg) were separated by 10% SDS-PAGE, and the membrane was blotted with ATP5A1 antibody [C2C3], C-term (GTX101741) diluted at 1:1000.
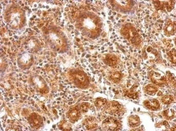
ATP5A1 antibody [C2C3], C-term detects ATP5A1 protein at cytoplasm on mouse stomach by immunohistochemical analysis.
Sample: Paraffin-embedded mouse stomach.
ATP5A1 antibody [C2C3], C-term (GTX101741) dilution: 1:500.
Antigen Retrieval: Trilogy™ (EDTA based, pH 8.0) buffer, 15min
ATP5A1 antibody detects ATP5A1 protein by western blot analysis. Various whole cell extracts (30 μg) were separated by 10% SDS-PAGE, and the membrane was blotted with ATP5A1 antibody (GTX101741) diluted by 1:2000.
Non-transfected (–) and transfected (+) 293T whole cell extracts (30 μg) were separated by 10% SDS-PAGE, and the membrane was blotted with ATP5A1 antibody [C2C3], C-term (GTX101741) diluted at 1:1000. The HRP-conjugated anti-rabbit IgG antibody (GTX213110-01) was used to detect the primary antibody.
ATP5A1 antibody [C2C3], C-term detects ATP5A1 protein by immunohistochemical analysis.
Sample: Frozen sectioned adult mouse retina.
Green: ATP5A1 protein stained by ATP5A1 antibody [C2C3], C-term (GTX101741) diluted at 1:250.
Red: Protein kinase C alpha staining.
Blue: Fluoroshield with DAPI (GTX30920).
ATP5A1 antibody [C2C3], C-term detects ATP5A1 protein at membrane on mouse lung by immunohistochemical analysis.
Sample: Paraffin-embedded mouse lung.
ATP5A1 antibody [C2C3], C-term (GTX101741) dilution: 1:500.
Antigen Retrieval: Trilogy™ (EDTA based, pH 8.0) buffer, 15min
Various whole cell extracts (30 μg) were separated by 10% SDS-PAGE, and the membrane was blotted with ATP5A1 antibody (GTX101741) diluted at 1:2000. The HRP-conjugated anti-rabbit IgG antibody (GTX213110-01) was used to detect the primary antibody.
ATP5A1 antibody [C2C3], C-term detects ATP5A1 protein at mitochondria by immunofluorescent analysis.
Sample: HeLa cells were fixed in 4% PFA at RT for 15 min.
Green: ATP5A1 protein stained by ATP5A1 antibody [C2C3], C-term (GTX101741) diluted at 1:500.
Blue: Hoechst 33342 staining.
Scale bar = 10 μm.
风险提示:丁香通仅作为第三方平台,为商家信息发布提供平台空间。用户咨询产品时请注意保护个人信息及财产安全,合理判断,谨慎选购商品,商家和用户对交易行为负责。对于医疗器械类产品,请先查证核实企业经营资质和医疗器械产品注册证情况。
文献和实验Tatsuo Suzuki et al., Life Sci Alliance 2021 (PMID:34006534)
Lee SO et al., Mol Cancer Res 2014 (PMID:24515801)
Mingming Zhao et al., Nat Commun 2022 (PMID:35365608)
于研究。 性能参数 LIST OF ANTBODY PRODUCTS AP8401a BDP1 N-term Antibody AP8408b MEG2 C-term Antibody AP8451b PPP3CA C-term Antibody AP8449b CTDSP1 C-term Antibody AP8408a MEG2 N-term Antibody AP8451a PPP3CA N-term Antibody AP8449
【资源】全面归类网址:毕赤酵母表达各种来源蛋白(细菌,真菌,植物,人类等)
europaea (olive tree) aeroallergen Ole e 1S, 60 mg/L, α-MF[115, 334, 391]Olea europaea 1,3-β-glucanase Ole e 9 C-term.seg.S, 100 mg/L, α-MF, active486Oleaceae sp. (lilac and privet) pollen allergensS, 30 mg/L, reactive481Pepper endo-b-1,4-glucanase cCel1S
[资源] 所有的看家基因(housekeeping genes)列表+引物设计服务
complex, alpha subunit, isoform 1, cardiac muscle (ATP5A1), mRNA 1348 NM_001894 Homo sapiens casein kinase 1, epsilon (CSNK1E), transcript variant 2, mRNA 613 NM_003795 Homo sapiens sorting nexin 3 (SNX3), transcript variant 1, mRNA 1426 NM_001909
技术资料暂无技术资料 索取技术资料





![beta Amyloid (1-40) antibody [4H308]](https://img1.dxycdn.com/2023/0711/451/6106825198874858761-14.jpg!wh200)

![ZNF587 antibody [C1C3]](https://img1.dxycdn.com/2023/0711/255/2344116916935858761-14.jpg!wh200)

