相关产品推荐更多 >
万千商家帮你免费找货
0 人在求购买到急需产品
- 详细信息
- 文献和实验
- 技术资料
- 免疫原:
Recombinant protein encompassing a sequence within the C-terminus region of human ADAM17. The exact sequence is proprietary.
- 亚型:
IgG
- 形态:
Liquid
- 保存条件:
Store as concentrated solution. Centrifuge briefly prior to opening vial. For short-term storage (1-2 weeks), store at 4ºC. For long-term storage, aliquot and store at -20ºC or below. Avoid multiple freeze-thaw cycles.
- 克隆性:
Polyclonal
- 标记物:
Unconjugated
- 适应物种:
Human, Mouse, Rat
- 保质期:
12 months from the shipping date of the product.
- 抗原来源:
Human
- 目录编号:
GTX101358
- 级别:
Primary Antibodies
- 库存:
Available
- 供应商:
GeneTex
- 宿主:
Rabbit
- 应用范围:
WB, IHC-P
- 浓度:
1.21 mg/ml (Please refer to the vial label for the specific concentration.)
- 靶点:
ADAM17
- 抗体英文名:
ADAM17 antibody [C2C3], C-term
- 抗体名:
ADAM17 抗体 [C2C3], C-term
- 规格:
100 μl/25 μl
| 规格: | 100 μl | 产品价格: | ¥4000.0 |
|---|---|---|---|
| 规格: | 25 μl | 产品价格: | ¥1700.0 |
Wild-type (WT) and ADAM17 knockout (KO) HeLa (30 μg) were separated by 7.5% SDS-PAGE, and the membrane was blotted with ADAM17 antibody [C2C3], C-term (GTX101358) diluted at 1:500. The HRP-conjugated anti-rabbit IgG antibody (GTX213110-01) was used to detect the primary antibody.
ADAM17 antibody [C2C3], C-term detects ADAM17 protein by western blot analysis.
A. 30 μg K562 whole cell lysate/extract |
7.5% SDS-PAGE
ADAM17 antibody [C2C3], C-term (GTX101358) dilution: 1:500
The HRP-conjugated anti-rabbit IgG antibody (GTX213110-01) was used to detect the primary antibody.
Whole cell extract (30 μg) was separated by 7.5% SDS-PAGE, and the membrane was blotted with ADAM17 antibody [C2C3], C-term (GTX101358) diluted at 1:500. The HRP-conjugated anti-rabbit IgG antibody (GTX213110-01) was used to detect the primary antibody.
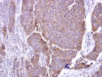
ADAM17 antibody [C2C3], C-term detects ADAM17 protein at cytosol on human breast carcinoma by immunohistochemical analysis.
Sample: ADAM17 antibody [C2C3], C-term (GTX101358) dilution: 1:250.
Antigen Retrieval: Trilogy™ (EDTA based, pH 8.0) buffer, 15min
Whole cell extract (30 μg) was separated by 7.5% SDS-PAGE, and the membrane was blotted with ADAM17 antibody [C2C3], C-term (GTX101358) diluted at 1:500. The HRP-conjugated anti-rabbit IgG antibody (GTX213110-01) was used to detect the primary antibody.
Various whole cell extracts (30 μg) were separated by 7.5% SDS-PAGE, and the membrane was blotted with ADAM17 antibody [C2C3], C-term (GTX101358) diluted at 1:500. The HRP-conjugated anti-rabbit IgG antibody (GTX213110-01) was used to detect the primary antibody, and the signal was developed with Trident ECL plus-Enhanced.
风险提示:丁香通仅作为第三方平台,为商家信息发布提供平台空间。用户咨询产品时请注意保护个人信息及财产安全,合理判断,谨慎选购商品,商家和用户对交易行为负责。对于医疗器械类产品,请先查证核实企业经营资质和医疗器械产品注册证情况。
文献和实验Groot AJ et al., Mol Cell Biol 2014 (PMID:24842903)
Yoshida H et al., Neurosci Res 2013 (PMID:24295810)
Khoury EE et al., J Cell Mol Med 2021 (PMID:33660945)
Arcidiacono MV et al., Nephrol Dial Transplant 2015 (PMID:25294851)
上海西唐生物科技有限公司 021-55229872, 65333639 www.westang.com 人 ADAM17(TACE)ELISA 试剂盒 ( 用于血清、血浆、细胞培养上清液和生物体液内 ) 原理 本实验采用双抗体夹心 ABC-ELISA 法。用抗人 ADAM17 单抗包被于酶标板上,标准品和样品中的 ADAM17 与单抗结合,加入生物素化的抗人 ADAM17 ,形成免疫复合物连接在板上,辣根
于研究。 性能参数 LIST OF ANTBODY PRODUCTS AP8401a BDP1 N-term Antibody AP8408b MEG2 C-term Antibody AP8451b PPP3CA C-term Antibody AP8449b CTDSP1 C-term Antibody AP8408a MEG2 N-term Antibody AP8451a PPP3CA N-term Antibody AP8449
【资源】全面归类网址:毕赤酵母表达各种来源蛋白(细菌,真菌,植物,人类等)
europaea (olive tree) aeroallergen Ole e 1S, 60 mg/L, α-MF[115, 334, 391]Olea europaea 1,3-β-glucanase Ole e 9 C-term.seg.S, 100 mg/L, α-MF, active486Oleaceae sp. (lilac and privet) pollen allergensS, 30 mg/L, reactive481Pepper endo-b-1,4-glucanase cCel1S
技术资料暂无技术资料 索取技术资料







![Estrogen Receptor beta antibody [ESR2/686]](https://img1.dxycdn.com/2023/0711/451/6106825198874858761-14.jpg!wh200)

