相关产品推荐更多 >
万千商家帮你免费找货
0 人在求购买到急需产品
- 详细信息
- 文献和实验
- 技术资料
- 免疫原:
Recombinant protein encompassing a sequence within the center region of human HMGA2. The exact sequence is proprietary.
- 亚型:
IgG
- 形态:
Liquid
- 保存条件:
Store as concentrated solution. Centrifuge briefly prior to opening vial. For short-term storage (1-2 weeks), store at 4ºC. For long-term storage, aliquot and store at -20ºC or below. Avoid multiple freeze-thaw cycles.
- 克隆性:
Polyclonal
- 标记物:
Unconjugated
- 适应物种:
Human, Mouse, Rat
- 保质期:
12 months from the shipping date of the product.
- 抗原来源:
Human
- 目录编号:
GTX100519
- 级别:
Primary Antibodies
- 库存:
Available
- 供应商:
GeneTex
- 宿主:
Rabbit
- 应用范围:
WB, ICC/IF, IHC-P, IP, ChIP assay
- 浓度:
0.083 mg/ml (Please refer to the vial label for the specific concentration.)
- 靶点:
HMGA2
- 抗体英文名:
HMGA2 antibody - ChIP grade
- 抗体名:
HMGA2 抗体 - ChIP grade
- 规格:
100 μl/25 μl
| 规格: | 100 μl | 产品价格: | ¥4000.0 |
|---|---|---|---|
| 规格: | 25 μl | 产品价格: | ¥1700.0 |
Immunohistochemical analysis of paraffin-embedded H1299 xenograft, using HMGA2(GTX100519) antibody at 1:500 dilution.
Antigen Retrieval: Trilogy™ (EDTA based, pH 8.0) buffer, 15min
Various whole cell extracts (30 μg) were separated by 15% SDS-PAGE, and the membrane was blotted with HMGA2 antibody - ChIP grade (GTX100519) diluted at 1:1000. The HRP-conjugated anti-rabbit IgG antibody (GTX213110-01) was used to detect the primary antibody.
HMGA2 antibody detects HMGA2 protein by western blot analysis. Various whole cell extracts (30 μg) were separated by 15% SDS-PAGE, and the membrane was blotted with HMGA2 antibody (GTX100519) diluted at a dilution of 1:10000. The HRP-conjugated anti-rabbit IgG antibody (GTX213110-01) was used to detect the primary antibody.
Various whole cell extracts (30 μg) were separated by 15% SDS-PAGE, and the membrane was blotted with HMGA2 antibody - ChIP grade (GTX100519) diluted at 1:1000. The HRP-conjugated anti-rabbit IgG antibody (GTX213110-01) was used to detect the primary antibody.
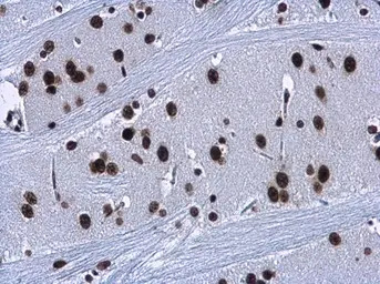
HMGA2 antibody detects HMGA2 protein at nucleus in rat brain by immunohistochemical analysis.
Sample: Paraffin-embedded rat brain.
HMGA2 antibody (GTX100519) diluted at 1:500.
Antigen Retrieval: Citrate buffer, pH 6.0, 15 min
HMGA2 antibody detects HMGA2 protein at nucleus in rat duodenum by immunohistochemical analysis.
Sample: Paraffin-embedded rat duodenum.
HMGA2 antibody (GTX100519) diluted at 1:500.
Antigen Retrieval: Citrate buffer, pH 6.0, 15 min
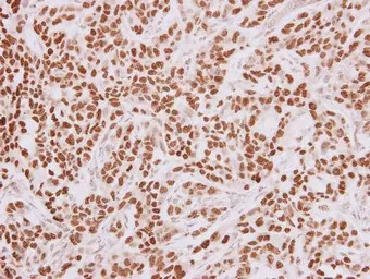
HMGA2 antibody - ChIP grade detects HMGA2 protein at nucleus in human HuCCT1 xenograft by immunohistochemical analysis.
Sample: Paraffin-embedded human HuCCT1 xenograft .
HMGA2 antibody - ChIP grade (GTX100519) diluted at 1:250.
Antigen Retrieval: Trilogy™ (EDTA based, pH 8.0) buffer, 15min
Immunohistochemical analysis of paraffin-embedded C2C12 xenograft, using HMGA2(GTX100519) antibody at 1:500 dilution.
Antigen Retrieval: Trilogy™ (EDTA based, pH 8.0) buffer, 15min
Non-transfected (–) and transfected (+) HeLa whole cell extracts (30 μg) were separated by 15% SDS-PAGE, and the membrane was blotted with HMGA2 antibody - ChIP grade (GTX100519) diluted at 1:50000. The HRP-conjugated anti-rabbit IgG antibody (GTX213110-01) was used to detect the primary antibody.
HMGA2 antibody detects HMGA2 protein by western blot analysis. Whole cell extracts (30 μg) was separated by 15% SDS-PAGE, and the membrane was blotted with HMGA2 antibody (GTX100519) at a dilution of 1:10000. The HRP-conjugated anti-rabbit IgG antibody (GTX213110-01) was used to detect the primary antibody.
Immunoprecipitation of HMGA2 protein from HepG2 nuclear extracts using 5 μg of HMGA2 antibody (GTX100519).
Western blot analysis was performed using HMGA2 antibody (GTX100519) diluted at 1:500.
EasyBlot anti-Rabbit IgG (GTX221666-01) was used as a secondary reagent.
风险提示:丁香通仅作为第三方平台,为商家信息发布提供平台空间。用户咨询产品时请注意保护个人信息及财产安全,合理判断,谨慎选购商品,商家和用户对交易行为负责。对于医疗器械类产品,请先查证核实企业经营资质和医疗器械产品注册证情况。
文献和实验Li Y et al., Thorac Cancer 2020 (PMID:32031335)
Leung SW et al., Cancers (Basel) 2019 (PMID:31581665)
Nana AW et al., Endocr Relat Cancer 2017 (PMID:29255096)
Liu Y et al., Mol Med Rep 2017 (PMID:28849119)
Venkatachalam G et al., Nucleic Acids Research 2017 (Epub)
de Vasconcellos JF et al., J Transl Med 2017 (PMID:28768505)
Wang Y et al., J Biol Chem 2017 (PMID:28765279)
Sun J et al., Sci Rep 2017 (PMID:28533522)
Wang Y et al., Sci Rep 2017 (PMID:28522832)
Wang Y et al., Biochem Biophys Res Commun 2016 (PMID:27773820)
Lee SH et al., Biochim Biophys Acta 2014 (PMID:24602972)
Jinlong Yin et al., Oncotarget. 2016 (PMID:27821801)
Jie-Ning Li et al., Front Cell Dev Biol 2021 (PMID:34291046)
Owosho AA et al., Int J Clin Exp Pathol 2022 (PMID:35265254)
Li D et al., Oncol Lett 2021 (PMID:34733367)
Liu HH et al., Biochem Biophys Res Commun 2021 (PMID:34166916)
Tang C et al., Cell Death Dis 2021 (PMID:33927188)
Su L et al., Sci Rep 2020 (PMID:33139812)
Liu B et al., FASEB J 2020 (PMID:32592217)
Lopez-Nunez O et al., Hum Pathol 2020 (PMID:32692992)
Venkatachalam G et al., Nucleic Acids Res 2017 (PMID:28985345)
Wu Y et al., Nucleic Acids Res 2020 (PMID:32313942)
Chen CH et al., Biochem Biophys Res Commun 2020 (PMID:32063361)
Herring Sperm DNA37% Formaldehyde (ACS reagent grade)1.25 M glycineProtocol: (Generalized for all cell types- inquire for details regarding particular cell types) For all the following steps,use the pipets that are specifically designated for ChIP use
Characterization and Quality Control of Antibodies Used in ChIP Assays
, modifying enzymes, and chromatin-interacting proteins. The final purpose of the characterization and QC is to label antibodies as chromatin immunoprecipitation (ChIP) grade. Indeed, the ChIP method is extensively used in epigenetics to study gene regulation
ChIP‐chip for Genome‐Wide Analysis of Protein Binding in Mammalian Cells
Abstract Table of Contents Materials Figures Literature Cited Abstract ChIP?chip combines
技术资料暂无技术资料 索取技术资料






![TMEM80 antibody [2B7]](https://img1.dxycdn.com/2023/0711/451/6106825198874858761-14.jpg!wh200)


