相关产品推荐更多 >
万千商家帮你免费找货
0 人在求购买到急需产品
- 详细信息
- 文献和实验
- 技术资料
- 免疫原:
A synthetic peptide corresponding to an Internal region of Human Steroidogenic factor 1
- 亚型:
IgG
- 形态:
Liquid
- 保存条件:
Store as concentrated solution. Centrifuge briefly prior to opening vial. For short-term storage (1-2 weeks), store at 4ºC. For long-term storage, aliquot and store at -20ºC or below. Avoid multiple freeze-thaw cycles.
- 克隆性:
Polyclonal
- 标记物:
Unconjugated
- 适应物种:
Human
- 保质期:
12 months from the shipping date of the product.
- 抗原来源:
Human
- 目录编号:
GTX77813
- 级别:
Primary Antibodies
- 库存:
Available
- 供应商:
GeneTex
- 宿主:
Rabbit
- 应用范围:
WB, IHC-P
- 浓度:
0.5-1 mg/ml (Please refer to the vial label for the specific concentration.)
- 靶点:
Steroidogenic Factor 1
- 抗体英文名:
Steroidogenic Factor 1 antibody, Internal
- 抗体名:
Steroidogenic Factor 1 抗体, Internal
- 规格:
50 μg
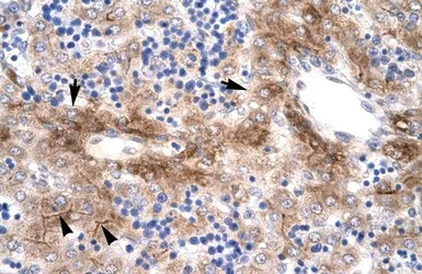
IHC-P analysis of human liver tissue using GTX77813 Steroidogenic factor 1 antibody at 4.0-8.0μg/ml.
IHC-P analysis of human kidney tissue using GTX77813 Steroidogenic factor 1 antibody at 4.0-8.0μg/ml.
WB analysis of human fetal muscle tissue using GTX77813 Steroidogenic factor 1 antibody at 1.0μg/ml.
WB analysis of human fetal lung tissue using GTX77813 Steroidogenic factor 1 antibody at 1.0μg/ml.
WB analysis of human fetal liver tissue using GTX77813 Steroidogenic factor 1 antibody at 1.0μg/ml.
WB analysis of human placenta tissue using GTX77813 Steroidogenic factor 1 antibody at 1.0μg/ml.
WB analysis of human fetal heart tissue using GTX77813 Steroidogenic factor 1 antibody at 1.0μg/ml.
WB analysis of human heart tissue using GTX77813 Steroidogenic factor 1 antibody at 1μg/ml.
WB analysis of HepG2 cells using GTX77813 Steroidogenic factor 1 antibody at 0.2-1μg/ml.
风险提示:丁香通仅作为第三方平台,为商家信息发布提供平台空间。用户咨询产品时请注意保护个人信息及财产安全,合理判断,谨慎选购商品,商家和用户对交易行为负责。对于医疗器械类产品,请先查证核实企业经营资质和医疗器械产品注册证情况。
文献和实验secondary antibody review -- data from 99 publications
cytometry used as a control to detect cell responses targeted antigen 7 Alexa Fluor 488 7 Cy3 8 goat IgG Alexa Fluor 488 1:2000 detect antibody binding in human embryonic kidney 293T cells Invitrogen 9 donkey
within an internal region of PEDF (pigment endothelium-derived factor) of human origin. S P E C I F I C I T Y PEDF (I -15) is recommended for detection of precursor and matu re PEDF of mou se, ra t an d human origin by Western blotting, immunoprecipitation
Antigen Design Sera Purification Tech Sheet
for antibody generation. Algorithms for predicting protein characteristics such as hydrophilicity/hydrophobicity and secondary structure regions such as alpha-helix, beta-sheet and beta-turn aid selection of a potentially exposed, immunogenic internal
技术资料暂无技术资料 索取技术资料






![AMPK alpha 1 antibody [5G11]](https://img1.dxycdn.com/2023/0711/451/6106825198874858761-14.jpg!wh200)


