相关产品推荐更多 >
万千商家帮你免费找货
0 人在求购买到急需产品
- 详细信息
- 询价记录
- 文献和实验
- 技术资料
- 免疫原:
Synthetic 18 amino acid peptide from N-terminal extracellular domain of human KISS1R / GPR54.
- 亚型:
IgG
- 形态:
Liquid
- 保存条件:
Store as concentrated solution. Centrifuge briefly prior to opening vial. For short-term storage (1-2 weeks), store at 4ºC. For long-term storage, aliquot and store at -20ºC or below. Avoid multiple freeze-thaw cycles.
- 克隆性:
Polyclonal
- 标记物:
Unconjugated
- 适应物种:
Human
- 保质期:
12 months from the shipping date of the product.
- 抗原来源:
Human
- 目录编号:
GTX12699
- 级别:
Primary Antibodies
- 库存:
Available
- 供应商:
GeneTex
- 宿主:
Rabbit
- 应用范围:
IHC-P, FACS
- 浓度:
1 mg/ml (Please refer to the vial label for the specific concentration.)
- 靶点:
GPR54
- 抗体英文名:
GPR54 antibody
- 抗体名:
GPR54 抗体
- 规格:
25 μg
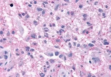
IHC-P analysis of human pancreas, carcinoma tissue using GTX12699 GPR54 antibody.
Antigen retrieval : Heat-induced antigen retrieval
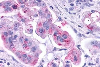
IHC-P analysis of human brain, neurons and glia tissue using GTX12699 GPR54 antibody.
Antigen retrieval : Heat-induced antigen retrieval
IHC-P analysis of human pancreas, carcinoma tissue using GTX12699 GPR54 antibody.
Antigen retrieval : Heat-induced antigen retrieval
IHC-P analysis of brain, medulla tissue using GTX12699 GPR54 antibody.
IHC-P analysis of human brain, glioblastoma tissue using GTX12699 GPR54 antibody.
Antigen retrieval : Heat-induced antigen retrieval
风险提示:丁香通仅作为第三方平台,为商家信息发布提供平台空间。用户咨询产品时请注意保护个人信息及财产安全,合理判断,谨慎选购商品,商家和用户对交易行为负责。对于医疗器械类产品,请先查证核实企业经营资质和医疗器械产品注册证情况。
- 作者
- 内容
- 询问日期
文献和实验NSMB:徐华强 / 谢欣 / 蒋轶发现孤儿受体 GPR119 内源性配体的分子机制
糖尿病、脂肪肝和肥胖症等代谢性疾病已经成为影响人类健康的一大「杀手」,研究显示一些孤儿受体可能成为治疗这些疾病的重要靶点。 GPR119 又被称为葡萄糖依赖的促胰岛素受体(Glucose-dependent insulinotropic receptor),是 G 蛋白偶联受体(GPCR)超家族中的一种孤儿受体。由于其在糖代谢调控中的作用,GPR119 被认为是一种治疗糖尿病、脂肪肝和肥胖症等代谢性疾病的潜在药物靶点。GPR119 主要分布在胰岛 β 细胞和胃肠道 L 细胞,调节葡萄糖依赖
CD54 分子 CD54 常用单克隆抗体或代号: WEHI- CAMI,OKT27;(ICAM- 1) 主要表达细胞: 广泛 [AS] 分子质量(kDa)和结构: gp90- 115(IgSF) 功 能: 与LFA- 1、Mac- 1和CD43结合,细胞间粘附,鼻病毒受体,En上恶性疟原虫受体 CD54 Aka ICAM-1 (intercellular adhesion
实验54 刺激支配膀胱的神经引起的反应 【目的要求】 观察膀胱活动的神经调节。 【基本原理】 支配膀胱的神经为盆神经与腹下神经。盆神经兴奋可引起膀胱逼尿肌收缩和内括约肌松弛,促使膀胱排尿。腹下神经对逼尿肌活动没有明显作用,但能使内括约肌紧张性增强,阻止排尿。 【动物与器材】 兔、手术台、常用手术器械、刺激器、保护电极、20
技术资料暂无技术资料 索取技术资料





![LEFTY2 antibody [7C5G1H6H10]](https://img1.dxycdn.com/2023/0711/451/6106825198874858761-14.jpg!wh200)

![STAT1 antibody [N2C2], Internal](https://custom.dxycdn.com/trademd/upload/pic/2011/12/20/1324015994.jpg!small.t.1)


