相关产品推荐更多 >
万千商家帮你免费找货
0 人在求购买到急需产品
- 详细信息
- 文献和实验
- 技术资料
- 免疫原:
Recombinant protein encompassing a sequence within the C-terminus region of human VPS33A. The exact sequence is proprietary.
- 亚型:
IgG
- 形态:
Liquid
- 保存条件:
Store as concentrated solution. Centrifuge briefly prior to opening vial. For short-term storage (1-2 weeks), store at 4ºC. For long-term storage, aliquot and store at -20ºC or below. Avoid multiple freeze-thaw cycles.
- 克隆性:
Polyclonal
- 标记物:
Unconjugated
- 适应物种:
Human, Mouse
- 保质期:
12 months from the shipping date of the product.
- 抗原来源:
Human
- 目录编号:
GTX119416
- 级别:
Primary Antibodies
- 库存:
Available
- 供应商:
GeneTex
- 宿主:
Rabbit
- 应用范围:
WB, ICC/IF, IHC-P
- 浓度:
1 mg/ml (Please refer to the vial label for the specific concentration.)
- 靶点:
VPS33A
- 抗体英文名:
VPS33A antibody [C1C3]
- 抗体名:
VPS33A 抗体 [C1C3]
- 规格:
100 μl/25 μl
| 规格: | 100 μl | 产品价格: | ¥4000.0 |
|---|---|---|---|
| 规格: | 25 μl | 产品价格: | ¥1700.0 |
Various whole cell extracts (30 μg) were separated by 7.5% SDS-PAGE, and the membrane was blotted with VPS33A antibody [C1C3] (GTX119416) diluted at 1:500. The signal was developed with Trident ECL plus-Enhanced.
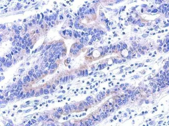
Immunohistochemical analysis of paraffin-embedded human colon carcinoma, using VPS33A(GTX119416) antibody at 1:500 dilution.
Antigen Retrieval: Trilogy™ (EDTA based, pH 8.0) buffer, 15min
VPS33A antibody [C1C3] detects VPS33A protein at cytoplasm by immunofluorescent analysis.
Sample: HeLa cells were fixed in 4% PFA at RT for 15 min.
Green: VPS33A protein stained by VPS33A antibody [C1C3] (GTX119416) diluted at 1:200.
Red: alpha Tubulin, a cytoskeleton marker, stained by alpha Tubulin antibody [GT114] (GTX628802) diluted at 1:1000.
Blue: Hoechst 33342 staining.
风险提示:丁香通仅作为第三方平台,为商家信息发布提供平台空间。用户咨询产品时请注意保护个人信息及财产安全,合理判断,谨慎选购商品,商家和用户对交易行为负责。对于医疗器械类产品,请先查证核实企业经营资质和医疗器械产品注册证情况。
文献和实验Guangyan Miao et al., Dev Cell 2021 (PMID:33422265)
Jiang P et al., Mol Biol Cell 2014 (PMID:24554770)
Uematsu M et al., Autophagy 2017 (PMID:28598244)
Hubert V et al., Biol Open 2016 (PMID:27628032)
van der Kant R et al., J Biol Chem 2015 (PMID:26463206)
van der Kant R et al., J Cell Sci 2013 (PMID:23729732)
技术资料暂无技术资料 索取技术资料







![IL1F8 antibody [2Q27]](https://img1.dxycdn.com/2023/0711/451/6106825198874858761-14.jpg!wh200)

