相关产品推荐更多 >
万千商家帮你免费找货
0 人在求购买到急需产品
- 详细信息
- 文献和实验
- 技术资料
- 免疫原:
Carrier-protein conjugated synthetic peptide encompassing a sequence within the C-terminus region of human TAL1. The exact sequence is proprietary.
- 亚型:
IgG
- 形态:
Liquid
- 保存条件:
Store as concentrated solution. Centrifuge briefly prior to opening vial. For short-term storage (1-2 weeks), store at 4ºC. For long-term storage, aliquot and store at -20ºC or below. Avoid multiple freeze-thaw cycles.
- 克隆性:
Polyclonal
- 标记物:
Unconjugated
- 适应物种:
Human, Mouse
- 保质期:
12 months from the shipping date of the product.
- 抗原来源:
Human
- 目录编号:
GTX116020
- 级别:
Primary Antibodies
- 库存:
Available
- 供应商:
GeneTex
- 宿主:
Rabbit
- 应用范围:
WB, IHC-P, IP, ChIP assay
- 浓度:
1.61 mg/ml (Please refer to the vial label for the specific concentration.)
- 靶点:
TAL1
- 抗体英文名:
TAL1 antibody [C2C3], C-term
- 抗体名:
TAL1 抗体 [C2C3], C-term
- 规格:
100 μl/25 μl
| 规格: | 100 μl | 产品价格: | ¥4000.0 |
|---|---|---|---|
| 规格: | 25 μl | 产品价格: | ¥1700.0 |
TAL1 antibody immunoprecipitates TAL1 protein in IP experiments. IP Sample: 293T whole cell lysate/extract A. 40 μg 293T whole cell lysate/extract B. Control with 2 μg of preimmune rabbit IgG C. Immunoprecipitation of TAL1 protein by 2 μg of TAL1 antibody (GTX116020) 12% SDS-PAGE The immunoprecipitated TAL1 protein was detected by TAL1 antibody (GTX116020) diluted at 1:1000. EasyBlot anti-rabbit IgG (GTX221666-01) was used as a secondary reagent.
Immunohistochemical analysis of paraffin-embedded A549 Xenograft , using TAL1(GTX116020) antibody at 1:100 dilution.
Antigen Retrieval: Trilogy™ (EDTA based, pH 8.0) buffer, 15min
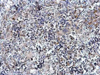
TAL1 antibody [C2C3], C-term detects TAL1 protein at cytosol and nucleus on mouse spleen by immunohistochemical analysis.
Sample: Paraffin-embedded mouse spleen.
TAL1 antibody [C2C3], C-term (GTX116020) dilution: 1:500.
Antigen Retrieval: Trilogy™ (EDTA based, pH 8.0) buffer, 15min
Various whole cell extracts (30 μg) were separated by 12% SDS-PAGE, and the membrane was blotted with TAL1 antibody [C2C3], C-term (GTX116020) diluted at 1:500. The HRP-conjugated anti-rabbit IgG antibody (GTX213110-01) was used to detect the primary antibody. Corresponding RNA expression data for the same cell lines are based on Human Protein Atlas program.
风险提示:丁香通仅作为第三方平台,为商家信息发布提供平台空间。用户咨询产品时请注意保护个人信息及财产安全,合理判断,谨慎选购商品,商家和用户对交易行为负责。对于医疗器械类产品,请先查证核实企业经营资质和医疗器械产品注册证情况。
文献和实验C Collart et al., BMC Dev Biol 2021 (PMID:33752600)
Qi Q et al., Blood 2021 (PMID:33512425)
Sundararaman B et al., Mol Cell 2016 (PMID:26990993)
于研究。 性能参数 LIST OF ANTBODY PRODUCTS AP8401a BDP1 N-term Antibody AP8408b MEG2 C-term Antibody AP8451b PPP3CA C-term Antibody AP8449b CTDSP1 C-term Antibody AP8408a MEG2 N-term Antibody AP8451a PPP3CA N-term Antibody AP8449
【资源】全面归类网址:毕赤酵母表达各种来源蛋白(细菌,真菌,植物,人类等)
europaea (olive tree) aeroallergen Ole e 1S, 60 mg/L, α-MF[115, 334, 391]Olea europaea 1,3-β-glucanase Ole e 9 C-term.seg.S, 100 mg/L, α-MF, active486Oleaceae sp. (lilac and privet) pollen allergensS, 30 mg/L, reactive481Pepper endo-b-1,4-glucanase cCel1S
Use of In Vivo Biotinylation for Chromatin Immunoprecipitation
) 4 to 12% gradient Novex Tris⋅glycine precast gels (Invitrogen) Antibody for detection of the protein of interest (e.g., anti‐GFP
技术资料暂无技术资料 索取技术资料





![KRT71 antibody [N3C3]](https://img1.dxycdn.com/2023/0711/255/2344116916935858761-14.jpg!wh200)
![CXCL11 antibody [9N26]](https://img1.dxycdn.com/2023/0711/451/6106825198874858761-14.jpg!wh200)

