相关产品推荐更多 >
万千商家帮你免费找货
0 人在求购买到急需产品
- 详细信息
- 文献和实验
- 技术资料
- 免疫原:
Recombinant protein encompassing a sequence within the center region of human PRMT5. The exact sequence is proprietary.
- 亚型:
IgG
- 形态:
Liquid
- 保存条件:
Store as concentrated solution. Centrifuge briefly prior to opening vial. For short-term storage (1-2 weeks), store at 4ºC. For long-term storage, aliquot and store at -20ºC or below. Avoid multiple freeze-thaw cycles.
- 克隆性:
Polyclonal
- 标记物:
Unconjugated
- 适应物种:
Human, Mouse
- 保质期:
12 months from the shipping date of the product.
- 抗原来源:
Human
- 目录编号:
GTX116004
- 级别:
Primary Antibodies
- 库存:
Available
- 供应商:
GeneTex
- 宿主:
Rabbit
- 应用范围:
WB, IHC-P, IP, ChIP assay
- 浓度:
0.31 mg/ml (Please refer to the vial label for the specific concentration.)
- 靶点:
PRMT5
- 抗体英文名:
PRMT5 antibody [N1C1]
- 抗体名:
PRMT5 抗体 [N1C1]
- 规格:
100 μl/25 μl
| 规格: | 100 μl | 产品价格: | ¥4000.0 |
|---|---|---|---|
| 规格: | 25 μl | 产品价格: | ¥1700.0 |
Immunohistochemical analysis of paraffin-embedded MCF7 xenograft, using PRMT5(GTX116004) antibody at 1:100 dilution.
Antigen Retrieval: Trilogy™ (EDTA based, pH 8.0) buffer, 15min
Various whole cell extracts (30 μg) were separated by 7.5% SDS-PAGE, and the membrane was blotted with PRMT5 antibody [N1C1] (GTX116004) diluted at 1:1000. The HRP-conjugated anti-rabbit IgG antibody (GTX213110-01) was used to detect the primary antibody.
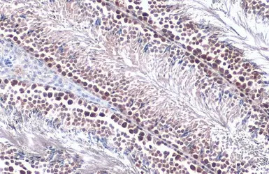
PRMT5 antibody [N1C1] detects PRMT5 protein at cytoplasm and nucleus by immunohistochemical analysis.
Sample: Paraffin-embedded mouse testis.
PRMT5 stained by PRMT5 antibody [N1C1] (GTX116004) diluted at 1:500.
Antigen Retrieval: Citrate buffer, pH 6.0, 15 min
PRMT5 antibody [N1C1] immunoprecipitates PRMT5 protein in IP experiments.
IP samples: Raji whole cell extract
A. 35 μg Raji whole cell extract
B. Control with 4 μg of preimmune Rabbit IgG
C. Immunoprecipitation of PRMT5 protein by 4 μg PRMT5 antibody [N1C1] (GTX116004)
7.5 % SDS-PAGE
The immunoprecipitated PRMT5 protein was detected by PRMT5 antibody [N1C1] (GTX116004) diluted at 1:500.
[EasyBlot anti-rabbit IgG (GTX221666-01) was used as a secondary reagent]
Cross-linked ChIP was performed with K562 chromatin extract and 5 μg of either control rabbit IgG or anti-PRMT5 antibody. The precipitated DNA was detected by PCR with primer set targeting to γ-globin promoter.
风险提示:丁香通仅作为第三方平台,为商家信息发布提供平台空间。用户咨询产品时请注意保护个人信息及财产安全,合理判断,谨慎选购商品,商家和用户对交易行为负责。对于医疗器械类产品,请先查证核实企业经营资质和医疗器械产品注册证情况。
文献和实验Cai S et al., Pharmacol Res 2020 (PMID:32739429)
Liu X et al., Biochim Biophys Acta 2018 (PMID:29802960)
Xiuying Sun et al., Bioengineered 2022 (PMID:35333690)
Liu J et al., Cell Death Differ 2019 (PMID:30858607)
3, mouse CARM1 (PRMT4), human JBP1 (PRMT5). Substrates of PRMTs: In mammalian cells hnRNPs contain about 65% of the total NG,NG-dimethylarginine found in the cell nucleus. Additionally, functionally diverse proteins are substrates for PRMT family
技术资料暂无技术资料 索取技术资料





![DR4 antibody [32A242]](https://img1.dxycdn.com/2023/0711/451/6106825198874858761-14.jpg!wh200)

![Histone H3S10ph (phospho Ser10) antibody [HL1752]](https://img1.dxycdn.com/2023/0711/058/8406876405285858761-14.jpg!wh200)
![CDC23 antibody [N2C2], Internal](https://img1.dxycdn.com/2023/0516/050/2572066211091928561-14.jpg!wh200)

