相关产品推荐更多 >
万千商家帮你免费找货
0 人在求购买到急需产品
- 详细信息
- 文献和实验
- 技术资料
- 免疫原:
Recombinant protein encompassing a sequence within the center region of human Tropomyosin 1. The exact sequence is proprietary.
- 亚型:
IgG
- 形态:
Liquid
- 保存条件:
Store as concentrated solution. Centrifuge briefly prior to opening vial. For short-term storage (1-2 weeks), store at 4ºC. For long-term storage, aliquot and store at -20ºC or below. Avoid multiple freeze-thaw cycles.
- 克隆性:
Polyclonal
- 标记物:
Unconjugated
- 适应物种:
Human, Mouse, Rat, Pig
- 保质期:
12 months from the shipping date of the product.
- 抗原来源:
Human
- 目录编号:
GTX113857
- 级别:
Primary Antibodies
- 库存:
Available
- 供应商:
GeneTex
- 宿主:
Rabbit
- 应用范围:
WB, ICC/IF, IHC-P
- 浓度:
1.05 mg/ml (Please refer to the vial label for the specific concentration.)
- 靶点:
Tropomyosin 1
- 抗体英文名:
Tropomyosin 1 antibody
- 抗体名:
Tropomyosin 1 抗体
- 规格:
100 μl/25 μl
| 规格: | 100 μl | 产品价格: | ¥4000.0 |
|---|---|---|---|
| 规格: | 25 μl | 产品价格: | ¥1700.0 |
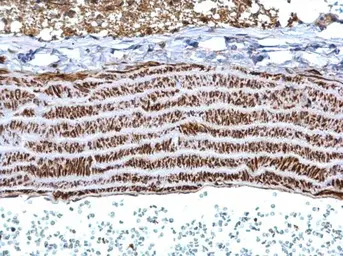
Tropomyosin 1 antibody detects Tropomyosin 1 protein at cytosol on mouse vein by immunohistochemical analysis.
Sample: Paraffin-embedded mouse vein.
Tropomyosin 1 antibody (GTX113857) dilution: 1:500.
Antigen Retrieval: Trilogy™ (EDTA based, pH 8.0) buffer, 15min
Immunohistochemical analysis of paraffin-embedded A549 xenograft, using Tropomyosin 1(GTX113857) antibody at 1:500 dilution.
Antigen Retrieval: Trilogy™ (EDTA based, pH 8.0) buffer, 15min
Various whole cell extracts (30 μg) were separated by 12% SDS-PAGE, and the membrane was blotted with Tropomyosin 1 antibody (GTX113857) diluted at 1:1000. The HRP-conjugated anti-rabbit IgG antibody (GTX213110-01) was used to detect the primary antibody.
Tropomyosin 1 antibody detects Tropomyosin 1 protein at cytosol on mouse vein by immunohistochemical analysis.
Sample: Paraffin-embedded mouse vein.
Tropomyosin 1 antibody (GTX113857) dilution: 1:500.
Antigen Retrieval: Trilogy™ (EDTA based, pH 8.0) buffer, 15min
Tropomyosin 1 antibody detects TPM1 protein by western blot analysis.
A. 50 μg rat muscle lysate/extract
10% SDS-PAGE
Tropomyosin 1 antibody (GTX113857) dilution: 1:6000
The HRP-conjugated anti-rabbit IgG antibody (GTX213110-01) was used to detect the primary antibody.
Tropomyosin 1 antibody detects Tropomyosin 1 protein at cytoskeleton by immunofluorescent analysis.
Sample: HeLa cells were fixed in 4% PFA at RT for 15 min.
Green: Tropomyosin 1 stained by Tropomyosin 1 antibody (GTX113857) diluted at 1:500.
Blue: Fluoroshield with DAPI (GTX30920).
Scale bar= 10 μm.
Sample (50 μg of whole cell lysate)
A: mouse liver
12% SDS PAGE
GTX113857 diluted at 1:1000
The HRP-conjugated anti-rabbit IgG antibody (GTX213110-01) was used to detect the primary antibody.
风险提示:丁香通仅作为第三方平台,为商家信息发布提供平台空间。用户咨询产品时请注意保护个人信息及财产安全,合理判断,谨慎选购商品,商家和用户对交易行为负责。对于医疗器械类产品,请先查证核实企业经营资质和医疗器械产品注册证情况。
文献和实验Oldershaw R et al., Stem Cells Dev 2019 (PMID:30803370)
Jie Li et al., Experimental Cell Research 2015
Huang HJ et al., Mol Biosyst 2014 (PMID:25259860)
Yun-Hong Y et al., Mol Cell Proteomics 2011 (PMID:21715321)
proteins (tropomyosin, fibrinogen, extended fibronectin): S max /S is in the range of 2.0 to 3.0. • For very long thread-like molecules
技术资料暂无技术资料 索取技术资料





![ORC6 antibody [C2C3], C-term](https://img1.dxycdn.com/2023/0711/255/2344116916935858761-14.jpg!wh200)


![CTCF antibody [1D11]](https://img1.dxycdn.com/2023/0711/451/6106825198874858761-14.jpg!wh200)

