相关产品推荐更多 >
万千商家帮你免费找货
0 人在求购买到急需产品
- 详细信息
- 询价记录
- 文献和实验
- 技术资料
- 免疫原:
Recombinant protein encompassing a sequence within the center region of human p21 Cip1. The exact sequence is proprietary.
- 亚型:
IgG
- 形态:
Liquid
- 保存条件:
Store as concentrated solution. Centrifuge briefly prior to opening vial. For short-term storage (1-2 weeks), store at 4ºC. For long-term storage, aliquot and store at -20ºC or below. Avoid multiple freeze-thaw cycles.
- 克隆性:
Polyclonal
- 标记物:
Unconjugated
- 适应物种:
Human, Chicken
- 保质期:
12 months from the shipping date of the product.
- 抗原来源:
Human
- 目录编号:
GTX112898
- 级别:
Primary Antibodies
- 库存:
Available
- 供应商:
GeneTex
- 宿主:
Rabbit
- 应用范围:
WB, ICC/IF, IHC-P
- 浓度:
1 mg/ml (Please refer to the vial label for the specific concentration.)
- 靶点:
p21 Cip1
- 抗体英文名:
p21 Cip1 antibody
- 抗体名:
p21 Cip1 抗体
- 规格:
100 μl/25 μl
| 规格: | 100 μl | 产品价格: | ¥4000.0 |
|---|---|---|---|
| 规格: | 25 μl | 产品价格: | ¥1700.0 |
Wild-type (WT) and p21 Cip1 knockout (KO) HeLa cell extracts (30 μg) were separated by 15% SDS-PAGE, and the membrane was blotted with p21 Cip1 antibody (GTX112898) diluted at 1:500. The HRP-conjugated anti-rabbit IgG antibody (GTX213110-01) was used to detect the primary antibody, and the signal was developed with Trident ECL plus-Enhanced.
Sample (30 ug of whole cell lysate)
A: HCT116
B: HCT116 treated with 30uM cisplatin for 24hr
12% SDS PAGE
GTX112898 diluted at 1:1000
p21 Cip1 antibody detects CDKN1A protein at nucleus on SkHep1xenograft by immunohistochemical analysis.
Sample: Paraffin-embedded SkHep1xenograft.
p21 Cip1 antibody (GTX112898) dilution: 1:500.
Antigen Retrieval: Trilogy™ (EDTA based, pH 8.0) buffer, 15min
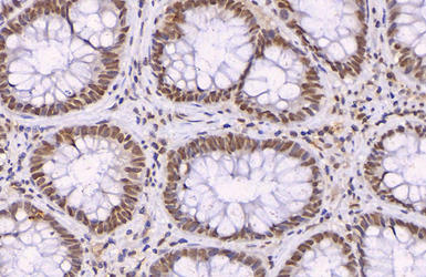
p21 Cip1 antibody detects p21 Cip1 protein at nucleus by immunohistochemical analysis (Autostainer Formulated).
Sample: Paraffin-embedded human normal colon tissue.
p21 Cip1 stained by p21 Cip1 antibody (GTX112898) diluted at 1:500.
Antigen Retrieval: EDTA buffer, 20 min
p21 Cip1 antibody detects p21 Cip1 protein at nucleus by immunofluorescent analysis.
Samples: HeLa cells mock (left) and treated with 30 μM Cisplatin for 24 hrs (right) were fixed in 4% PFA at RT for 15 min.
Green: p21 Cip1 protein stained by p21 Cip1 antibody (GTX112898) diluted at 1:500.
Blue: Hoechst 33342 staining.
Scale bar = 10 μm.
风险提示:丁香通仅作为第三方平台,为商家信息发布提供平台空间。用户咨询产品时请注意保护个人信息及财产安全,合理判断,谨慎选购商品,商家和用户对交易行为负责。对于医疗器械类产品,请先查证核实企业经营资质和医疗器械产品注册证情况。
- 作者
- 内容
- 询问日期
文献和实验Abdalla BA et al., Front Genet 2020 (PMID:32158470)
Lin JH et al., Stem Cells International 2019 2019()
Cai B et al., Cell Death Dis 2018 (PMID:29511169)
Lee WY et al., Oncotarget 2015 (PMID:26363315)
Ma G et al., Int J Biol Sci 2014 (PMID:24644428)
Ma M et al., Cell Commun Signal 2023 (PMID:36635672)
Abdalla BA et al., Life Sci 2021 (PMID:33290791)
Abdalla BA et al., Front Physiol 2018 (PMID:30333755)
Analysis of p21CDKN1A Recruitment to DNA Excision Repair Foci in the UV-Induced DNA Damage Response
The cyclin-dependent kinase (CDK) inhibitor p21CDKN1A (also known as p21waf1/cip1 ) is a well known player of the G1 and G2 phase cell cycle checkpoints, which are activated in response to DNA damage. In addition, p21 interacts directly
-induced responses, including a down-regulation of the cyclin-dependent kinase (Cdk2) inhibitors p21CIP1 and p27KIP1 , while attachment to P-L-L did not. We conclude that engagement of the FN-receptor integrin α5β1 induces integrin signaling regulating
Quantification of Cell Cycle-Arresting Proteins
blockage is mainly mediated by the persistent upregulation of one or more cyclin-dependent kinase inhibitors (CKIs), including (though not limited to) p16 INK4A and p21 CIP1 and p27 KIP1 . CKIs operate by binding to cyclin-dependent kinases (CDKs
技术资料暂无技术资料 索取技术资料






![TIF1 gamma antibody [3H7-C8-B9]](https://img1.dxycdn.com/2023/0711/451/6106825198874858761-14.jpg!wh200)


