相关产品推荐更多 >
万千商家帮你免费找货
0 人在求购买到急需产品
- 详细信息
- 文献和实验
- 技术资料
- 免疫原:
Recombinant protein encompassing a sequence within the N-terminus region of human COL1A1. The exact sequence is proprietary.
- 亚型:
IgG
- 形态:
Liquid
- 保存条件:
Store as concentrated solution. Centrifuge briefly prior to opening vial. For short-term storage (1-2 weeks), store at 4ºC. For long-term storage, aliquot and store at -20ºC or below. Avoid multiple freeze-thaw cycles.
- 克隆性:
Polyclonal
- 标记物:
Unconjugated
- 适应物种:
Polyodon spathula, Human, Mouse, Rat
- 保质期:
12 months from the shipping date of the product.
- 抗原来源:
Human
- 目录编号:
GTX112731
- 级别:
Primary Antibodies
- 库存:
Available
- 供应商:
GeneTex
- 宿主:
Rabbit
- 应用范围:
WB, ICC/IF, IHC-P, IHC-Fr, IP
- 浓度:
0.81 mg/ml (Please refer to the vial label for the specific concentration.)
- 靶点:
COL1A1
- 抗体英文名:
COL1A1 antibody [N1N2], N-term
- 抗体名:
COL1A1 抗体 [N1N2], N-term
- 规格:
100 μl/25 μl
| 规格: | 100 μl | 产品价格: | ¥4000.0 |
|---|---|---|---|
| 规格: | 25 μl | 产品价格: | ¥1700.0 |
COL1A1 antibody [N1N2], N-term detects secreted COL1A1 protein by immunohistochemical analysis.
Sample: Paraffin-embedded human lung cancer.
COL1A1 stained by COL1A1 antibody [N1N2], N-term (GTX112731) diluted at 1:500.
Antigen Retrieval: Citrate buffer, pH 6.0, 15 min
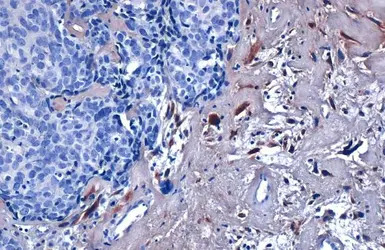
COL1A1 antibody [N1N2], N-term detects secreted COL1A1 protein by immunohistochemical analysis.
Sample: Paraffin-embedded human breast carcinoma.
COL1A1 stained by COL1A1 antibody [N1N2], N-term (GTX112731) diluted at 1:500.
Antigen Retrieval: Citrate buffer, pH 6.0, 15 min
COL1A1 antibody [N1N2], N-term detects COL1A1 protein at vesicle by immunofluorescent analysis.
Sample: SK-N-SH cells were fixed in 4% PFA at RT for 15 min.
Green: COL1A1 stained by COL1A1 antibody [N1N2], N-term (GTX112731) diluted at 1:500.
Red: alpha Tubulin, a cytoskeleton marker, stained by alpha Tubulin antibody [GT114] (GTX628802) diluted at 1:1000.
Blue: Fluoroshield with DAPI (GTX30920).
COL1A1 antibody [N1N2], N-term detects COL1A1 protein at vesicle by immunofluorescent analysis.
Sample: NIH-3T3 cells were fixed in 4% PFA at RT for 15 min.
Green: COL1A1 stained by COL1A1 antibody [N1N2], N-term (GTX112731) diluted at 1:500.
Red: alpha Tubulin, a cytoskeleton marker, stained by alpha Tubulin antibody [GT114] (GTX628802) diluted at 1:1000.
Blue: Fluoroshield with DAPI (GTX30920).
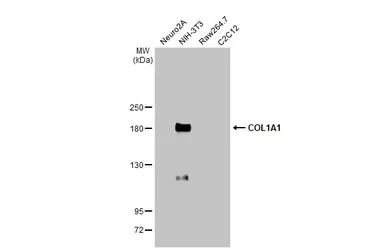
Various whole cell extracts (30 μg) were separated by 5% SDS-PAGE, and the membrane was blotted with COL1A1 antibody [N1N2], N-term (GTX112731) diluted at 1:1000. The HRP-conjugated anti-rabbit IgG antibody (GTX213110-01) was used to detect the primary antibody.
COL1A1 antibody [N1N2], N-term detects secreted COL1A1 protein in human breast carcinoma by immunohistochemical analysis.
Sample: Paraffin-embedded human breast carcinoma.
COL1A1 antibody [N1N2], N-term (GTX112731) diluted at 1:500.
Antigen Retrieval: Citrate buffer, pH 6.0, 15 min
Various whole cell extracts (30 μg) were separated by 5% SDS-PAGE, and the membrane was blotted with COL1A1 antibody [N1N2], N-term (GTX112731) diluted at 1:1000. The HRP-conjugated anti-rabbit IgG antibody (GTX213110-01) was used to detect the primary antibody.
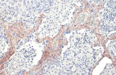
COL1A1 antibody [N1N2], N-term detects COL1A1 protein at cytoplasm by immunohistochemical analysis.
Sample: Paraffin-embedded human lung cancer.
COL1A1 stained by COL1A1 antibody [N1N2], N-term (GTX112731) diluted at 1:500.
Antigen Retrieval: Citrate buffer, pH 6.0, 15 min
Immunoprecipitation of COL1A1 protein from SK-N-AS whole cell extracts using 5 μg of COL1A1 antibody [N1N2], N-term (GTX112731).
Western blot analysis was performed using COL1A1 antibody [N1N2], N-term (GTX112731) diluted at 1:500.
EasyBlot anti-Rabbit IgG (GTX221666-01) was used as a secondary reagent.
COL1A1 antibody [N1N2], N-term detects COL1A1 protein at secreted on human endometrial carcinoma by immunohistochemical analysis.
Sample: Paraffin-embedded human endometrial carcinoma.
COL1A1 antibody [N1N2], N-term (GTX112731) diluted at 1:500.
Antigen Retrieval: Trilogy™ (EDTA based, pH 8.0) buffer, 15min
风险提示:丁香通仅作为第三方平台,为商家信息发布提供平台空间。用户咨询产品时请注意保护个人信息及财产安全,合理判断,谨慎选购商品,商家和用户对交易行为负责。对于医疗器械类产品,请先查证核实企业经营资质和医疗器械产品注册证情况。
文献和实验Ching-Chung Ko et al., Int J Mol Sci 2022 (PMID:35743003)
Yongchang Yang et al., Front Genet 2021 (PMID:35308164)
Seongki Min et al., Cell Death Dis 2021 (PMID:34772924)
Wu PT et al., J Biol Chem 2019 (PMID:31732563)
Chiang YF et al., Nutrients 2021 (PMID:34578952)
Besson B et al., PLoS One 2020 (PMID:32374750)
Mohankumar K et al., Endocrinology 2020 (PMID:32099996)
Liu T et al., J Cell Mol Med 2020 (PMID:31957232)
Choong OK et al., Theranostics 2019 (PMID:31588235)
Chen HY et al., Antioxidants (Basel) 2019 (PMID:31013842)
Chen HY et al., Cell Physiol Biochem 2018 (PMID:30235439)
Stroo I et al., BMC Nephrol 2018 (PMID:29609537)
Chen S et al., World J Urol 2016 (PMID:28013345)
Araki M et al., Sci Rep 2016 (PMID:27492138)
Li LX et al., Cells 2022 (PMID:36611841)
Chiou WC et al., Biomed Pharmacother 2023 (PMID:36906971)
Russell DF et al., PLoS One 2022 (PMID:36395118)
In the field of therapeutic recombinant proteins, monoclonal antibodies (mAbs) have achieved a rising success with more than 30 mAbs that have reached the market in the past 20 years. From a structural standpoint, one of the most important
to protect the antibody. These should be stored in smaller aliquots (about 1 ml) and frozen for long term storage though the protected solution is also stable for months at four degrees. Ascites fluid: This is a bit more problematic as it may contain
Materials 0.1M NaHC03 pH9 DMSO NHS-Biotin (N-Hydroxysuccinimidobiotin, Sigma #H-1759) PBS Procedure Dialyze the sample against carbonate buffer. After dialysis, adjust
技术资料暂无技术资料 索取技术资料









