相关产品推荐更多 >
万千商家帮你免费找货
0 人在求购买到急需产品
- 详细信息
- 文献和实验
- 技术资料
- 免疫原:
Human myelin basic protein
- 亚型:
IgG2b
- 形态:
Liquid
- 保存条件:
Store as concentrated solution. Centrifuge briefly prior to opening vial. For short-term storage (1-2 weeks), store at 4ºC. For long-term storage, aliquot and store at -20ºC or below. Avoid multiple freeze-thaw cycles.
- 克隆性:
Monoclonal
- 标记物:
Unconjugated
- 适应物种:
Human
- 保质期:
12 months from the shipping date of the product.
- 抗原来源:
Human
- 目录编号:
GTX11223
- 级别:
Primary Antibodies
- 库存:
Available
- 供应商:
GeneTex
- 宿主:
Mouse
- 应用范围:
IHC-P, IHC-Fr
- 靶点:
This antibody recognizes an epitope of myelin basic protein between amino acids 84-89.
- 抗体英文名:
Myelin basic protein antibody [22]
- 抗体名:
Myelin basic protein 抗体 [22]
- 规格:
1 ml
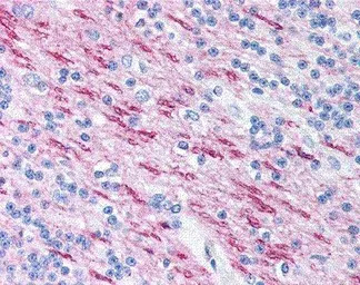
IHC analysis of white matter in human brain tissue using GTX11223 Myelin basic protein antibody [22].
风险提示:丁香通仅作为第三方平台,为商家信息发布提供平台空间。用户咨询产品时请注意保护个人信息及财产安全,合理判断,谨慎选购商品,商家和用户对交易行为负责。对于医疗器械类产品,请先查证核实企业经营资质和医疗器械产品注册证情况。
文献和实验Basic Protein Sequence Analysis
for Understanding Results Predicting the Subcellular Localization of a Protein Using TargetP Basic Protocol 3: Predicting Key Functional Residues and Motifs using the Prosite Web Server Support Protocol 6: Guidelines
Protein A Purification of Antibody
1. Reagents(1) Affi-gel Protein-A Agarose (BioRad #153-6153)(2) MAPS II Binding Buffer (BioRad # 153-6161)(3) 0.314 g/ml diH2O(4) MAPS II Elution Buffer (BioRad #153-6162)(5) 0.023 g/ml diH2O(6) MAPS II Regeneration Buffer (BioRad #153-6166(7) 1M
The COS-7 Cell In Vitro Paradigm to Study Myelin Proteolipid Protein 1 Gene Mutations
Despite many shortcomings, a reductionist approach using cell culture paradigms to define basic principles underlying disease processes has considerable merit. One example of the utility of this approach is the expression of mutant forms
技术资料暂无技术资料 索取技术资料








![CD150 antibody [6L6]](https://img1.dxycdn.com/2023/0711/451/6106825198874858761-14.jpg!wh200)

