相关产品推荐更多 >
万千商家帮你免费找货
0 人在求购买到急需产品
- 详细信息
- 文献和实验
- 技术资料
- 免疫原:
Carrier-protein conjugated synthetic peptide encompassing a sequence within the C-terminus region of human PRX III. The exact sequence is proprietary.
- 亚型:
IgG
- 形态:
Liquid
- 保存条件:
Store as concentrated solution. Centrifuge briefly prior to opening vial. For short-term storage (1-2 weeks), store at 4ºC. For long-term storage, aliquot and store at -20ºC or below. Avoid multiple freeze-thaw cycles.
- 克隆性:
Polyclonal
- 标记物:
Unconjugated
- 适应物种:
Human
- 保质期:
12 months from the shipping date of the product.
- 抗原来源:
Human
- 目录编号:
GTX111887
- 级别:
Primary Antibodies
- 库存:
Available
- 供应商:
GeneTex
- 宿主:
Rabbit
- 应用范围:
WB, ICC/IF, IHC-P
- 浓度:
1 mg/ml (Please refer to the vial label for the specific concentration.)
- 靶点:
PRX III
- 抗体英文名:
PRX III antibody [C2C3], C-term
- 抗体名:
PRX III 抗体 [C2C3], C-term
- 规格:
100 μl/25 μl
| 规格: | 100 μl | 产品价格: | ¥4000.0 |
|---|---|---|---|
| 规格: | 25 μl | 产品价格: | ¥1700.0 |
Wild-type (WT) and PRX III knockout (KO) HeLa cell extracts (30 μg) were separated by 12% SDS-PAGE, and the membrane was blotted with PRX III antibody [C2C3], C-term (GTX111887) diluted at 1:500. The HRP-conjugated anti-rabbit IgG antibody (GTX213110-01) was used to detect the primary antibody.
Peroxiredoxin 3 antibody [C2C3], C-term detects Peroxiredoxin 3 protein at mitochondria by immunofluorescent analysis.
Sample: HeLa cells were fixed in 2% PFA/culture medium at 37oC for 30 min.
Green: Peroxiredoxin 3 protein stained by Peroxiredoxin 3 antibody [C2C3], C-term (GTX111887) diluted at 1:1000.
Blue: Hoechst 33342 staining.
Scale bar = 10 μm.
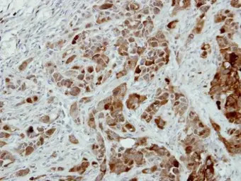
Immunohistochemical analysis of paraffin-embedded H358 xenograft, using PRX III(GTX111887) antibody at 1:500 dilution.
Antigen Retrieval: Citrate buffer, pH 6.0, 15 min
Sample (30 ug of whole cell lysate)
A: 293T
12% SDS PAGE
GTX111887 diluted at 1:1000
风险提示:丁香通仅作为第三方平台,为商家信息发布提供平台空间。用户咨询产品时请注意保护个人信息及财产安全,合理判断,谨慎选购商品,商家和用户对交易行为负责。对于医疗器械类产品,请先查证核实企业经营资质和医疗器械产品注册证情况。
文献和实验【资源】全面归类网址:毕赤酵母表达各种来源蛋白(细菌,真菌,植物,人类等)
europaea (olive tree) aeroallergen Ole e 1S, 60 mg/L, α-MF[115, 334, 391]Olea europaea 1,3-β-glucanase Ole e 9 C-term.seg.S, 100 mg/L, α-MF, active486Oleaceae sp. (lilac and privet) pollen allergensS, 30 mg/L, reactive481Pepper endo-b-1,4-glucanase cCel1S
技术资料暂无技术资料 索取技术资料






![Aldolase A antibody [AT3F9]](https://img1.dxycdn.com/2023/0711/451/6106825198874858761-14.jpg!wh200)

