相关产品推荐更多 >
万千商家帮你免费找货
0 人在求购买到急需产品
- 详细信息
- 文献和实验
- 技术资料
- 免疫原:
Recombinant protein encompassing a sequence within the center region of human SMAD2 / SMAD3. The exact sequence is proprietary.
- 亚型:
IgG
- 形态:
Liquid
- 保存条件:
Store as concentrated solution. Centrifuge briefly prior to opening vial. For short-term storage (1-2 weeks), store at 4ºC. For long-term storage, aliquot and store at -20ºC or below. Avoid multiple freeze-thaw cycles.
- 克隆性:
Polyclonal
- 标记物:
Unconjugated
- 适应物种:
Human, Mouse, Rat
- 保质期:
12 months from the shipping date of the product.
- 抗原来源:
Human
- 目录编号:
GTX111123
- 级别:
Primary Antibodies
- 库存:
Available
- 供应商:
GeneTex
- 宿主:
Rabbit
- 应用范围:
WB, ICC/IF, IHC-P, FACS, IP, ChIP assay
- 浓度:
0.75 mg/ml (Please refer to the vial label for the specific concentration.)
- 靶点:
SMAD2 / SMAD3
- 抗体英文名:
SMAD2 / SMAD3 antibody
- 抗体名:
SMAD2 / SMAD3 抗体
- 规格:
100 μl/25 μl
| 规格: | 100 μl | 产品价格: | ¥4000.0 |
|---|---|---|---|
| 规格: | 25 μl | 产品价格: | ¥1700.0 |
SMAD2 / SMAD3 antibody immunoprecipitates SMAD2 / SMAD3 protein-DNA in ChIP experiments. ChIP Sample: HeLa whole cell lysate/extract A. 5 μg preimmune rabbit IgG B. 5 μg of SMAD2 / SMAD3 antibody (GTX111123) The precipitated DNA was detected by PCR with primer set targeting to smad7 promoter.
Non-transfected (–) and transfected (+) 293T whole cell extracts (30 μg) were separated by 10% SDS-PAGE, and the membrane was blotted with SMAD2 / SMAD3 antibody (GTX111123) diluted at 1:20000. The HRP-conjugated anti-rabbit IgG antibody (GTX213110-01) was used to detect the primary antibody.
Immunoprecipitation of SMAD2 / SMAD3 protein from HeLa whole cell extracts using 2 μg of SMAD2 / SMAD3 antibody (GTX111123).
Western blot analysis was performed using SMAD2 / SMAD3 antibody (GTX111123) diluted at 1:1000.
EasyBlot HRP-conjugated anti rabbit IgG antibody (GTX221666-01) was used to detect the primary antibody.
Immunofluorescence analysis of PFA-fixed HeLa, using SMAD2 / SMAD3 (GTX111123) antibody at 1:200 dilution.
Various whole cell extracts (30 μg) were separated by 10% SDS-PAGE, and the membrane was blotted with SMAD2 / SMAD3 antibody (GTX111123) diluted at 1:5000. The HRP-conjugated anti-rabbit IgG antibody (GTX213110-01) was used to detect the primary antibody.
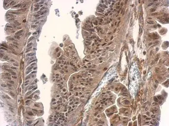
SMAD2 / SMAD3 antibody detects SMAD2 / SMAD3 protein at cytosol and nucleus on human gastric cancer by immunohistochemical analysis.
Sample: Paraffin-embedded gastric cancer.
SMAD2 / SMAD3 antibody (GTX111123) dilution: 1:500.
Antigen Retrieval: Trilogy™ (EDTA based, pH 8.0) buffer, 15min
Various tissue extracts (50 μg) were separated by 10% SDS-PAGE, and the membrane was blotted with SMAD2 / SMAD3 antibody (GTX111123) diluted at 1:5000. The HRP-conjugated anti-rabbit IgG antibody (GTX213110-01) was used to detect the primary antibody.
风险提示:丁香通仅作为第三方平台,为商家信息发布提供平台空间。用户咨询产品时请注意保护个人信息及财产安全,合理判断,谨慎选购商品,商家和用户对交易行为负责。对于医疗器械类产品,请先查证核实企业经营资质和医疗器械产品注册证情况。
文献和实验Huang YT et al., Cell Death Dis 2021 (PMID:34580281)
Traxel S et al., Cancer Immunol Immunother 2021 (PMID:33507341)
Chen HY et al., Antioxidants (Basel) 2021 (PMID:33451157)
Shih TW et al., Sci Rep 2020 (PMID:32616804)
Katoh D et al., Am J Pathol 2020 (PMID:32650003)
Ye J et al., Front Oncol 2019 (PMID:31824844)
Thiyagarajan V et al., PLoS One 2015 (PMID:26517117)
Huang-Chi Chen et al., Front Pharmacol 2022 (PMID:35517780)
Notes on Making Rat x Y3 Monoclonal Antibody Producing Hybridomas
Although Y3/Ag1.2.3 has its own myeloma light chain, their are numerous characteristics that make this a better parent line for making hybridomas than the 'Y0' chain loss variants or using NS0 to make rat x mouse hybrids. These are: a) Hybridomas
There is an increasing interest in the preparation of rat � rat hybridomas, because they have been found to be more stable in culture than mouse hybridomas and they secrete consistently high levels (10 �g/mL and above) of monoclonal antibody
人转录因子E2F1 ( E2F1 )ELISA 试剂盒 原理 本实验采用双抗体夹心 ABC-ELISA 法。用抗人 E2F1 单抗包被于酶标板上,标准品和样品中的 E2F1与单抗结合,加入生物素化的抗人 E2F1 ,形成免疫复合物连接在板上,辣根过氧化物酶标记的 Streptavidin 与生物素结合,加入底物工作液显蓝色,最后加终止液硫酸,在 450nm 处测 OD 值,E2F1 浓度与 OD 值成正比
技术资料暂无技术资料 索取技术资料





![Dengue virus NS1 protein antibody [GT1061]](https://img1.dxycdn.com/2023/0711/451/6106825198874858761-14.jpg!wh200)

![TIMP1 antibody [C2C3], C-term](https://img1.dxycdn.com/2023/0516/050/2572066211091928561-14.jpg!wh200)



