相关产品推荐更多 >
万千商家帮你免费找货
0 人在求购买到急需产品
- 详细信息
- 文献和实验
- 技术资料
- 免疫原:
Recombinant protein encompassing a sequence within the center region of human Citrate synthetase. The exact sequence is proprietary.
- 亚型:
IgG
- 形态:
Liquid
- 保存条件:
Store as concentrated solution. Centrifuge briefly prior to opening vial. For short-term storage (1-2 weeks), store at 4℃. For long-term storage, aliquot and store at -20℃ or below. Avoid multiple freeze-thaw cycles.
- 克隆性:
Polyclonal
- 标记物:
Unconjugated
- 适应物种:
Human, Mouse, Rat, Zebrafish, Chicken, Monkey, Frog
- 保质期:
12 months from the shipping date of the product.
- 抗原来源:
Human
- 目录编号:
GTX110624
- 级别:
Primary Antibodies
- 库存:
Available
- 供应商:
GeneTex
- 宿主:
Rabbit
- 应用范围:
WB, ICC/IF, IHC-P, IHC-Fr, IHC-Wm, IP
- 浓度:
0.65 mg/ml(Please refer to the vial label for the specific concentration.)
- 靶点:
Citrate synthase
- 抗体英文名:
Citrate synthase antibody [N2C3]
- 抗体名:
Citrate synthase 抗体 [N2C3]
- 规格:
100 μl/25 μl
| 规格: | 100 μl | 产品价格: | ¥4000.0 |
|---|---|---|---|
| 规格: | 25 μl | 产品价格: | ¥1700.0 |
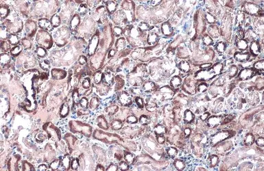
Citrate synthetase antibody [N2C3] detects Citrate synthetase protein at mitochondria by immunohistochemical analysis.
Sample: Paraffin-embedded mouse kidney.
Citrate synthetase stained by Citrate synthetase antibody [N2C3] (GTX110624) diluted at 1:500.
Antigen Retrieval: Citrate buffer, pH 6.0, 15 min
Citrate synthase antibody [N2C3] detects Citrate synthase protein at mitochondria by immunohistochemical analysis.
Sample: Paraffin-embedded rat brain.
Citrate synthase stained by Citrate synthase antibody [N2C3] (GTX110624) diluted at 1:100.
Antigen Retrieval: Citrate buffer, pH 6.0, 15 min
Citrate synthase antibody [N2C3] detects Citrate synthase protein on zebrafish by whole mount immunohistochemical analysis.
Sample: 1 day-post-fertilization zebrafish embryo.
Citrate synthase antibody [N2C3] (GTX110624) dilution: 1:50.
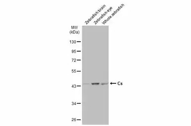
Various tissue extracts (30 μg) were separated by 10% SDS-PAGE, and the membrane was blotted with Citrate synthase antibody [N2C3] (GTX110624) diluted at 1:500. The HRP-conjugated anti-rabbit IgG antibody (GTX213110-01) was used to detect the primary antibody.
Citrate synthase antibody [N2C3] detects Citrate synthase protein on whole mount zebrafish by immunohistochemical analysis.
Sample: PFA-fixed 1 day-post-fertilization zebrafish embryo.
Green: Citrate synthase stained by Citrate synthase antibody [N2C3] (GTX110624) diluted at 1:100.
Various whole cell extracts (30 μg) were separated by 10% SDS-PAGE, and the membrane was blotted with Cs antibody (GTX110624) diluted at 1:500. The HRP-conjugated anti-rabbit IgG antibody (GTX213110-01) was used to detect the primary antibody.
Various tissue extracts (50 μg) were separated by 10% SDS-PAGE, and the membrane was blotted with Citrate synthase antibody [N2C3] (GTX110624) diluted at 1:1000. The HRP-conjugated anti-rabbit IgG antibody (GTX213110-01) was used to detect the primary antibody.
Citrate synthetase antibody [N2C3] detects Citrate synthetase protein at mitochondria by immunohistochemical analysis.
Sample: Paraffin-embedded mouse kidney.
Citrate synthetase stained by Citrate synthetase antibody [N2C3] (GTX110624) diluted at 1:500.
Antigen Retrieval: Citrate buffer, pH 6.0, 15 min
Immunoprecipitation of Citrate synthetase protein from 293T whole cell extracts using 5 μg of Citrate synthetase antibody [N2C3] (GTX110624).
Western blot analysis was performed using Citrate synthetase antibody [N2C3] (GTX110624).
EasyBlot anti-Rabbit IgG (GTX221666-01) was used as a secondary reagent.
Citrate synthetase antibody [N2C3] detects Citrate synthetase protein at cytoplasm in mouse muscle by immunohistochemical analysis.
Sample: Paraffin-embedded mouse muscle.
Citrate synthetase antibody [N2C3] (GTX110624) diluted at 1:500.
Antigen Retrieval: Citrate buffer, pH 6.0, 15 min
风险提示:丁香通仅作为第三方平台,为商家信息发布提供平台空间。用户咨询产品时请注意保护个人信息及财产安全,合理判断,谨慎选购商品,商家和用户对交易行为负责。对于医疗器械类产品,请先查证核实企业经营资质和医疗器械产品注册证情况。
文献和实验Leandro J et al., Mol Genet Metab 2019 (PMID:30709776)
Nam M et al., Sci Rep 2017 (PMID:28515438)
Suliman HB et al., JCI Insight 2017 (PMID:28194437)
Ding C.C. et al., bioRxiv 2018 (Epub)
Kim Y et al., Appl Physiol Nutr Metab 2017 (PMID:29024598)
Lake NJ et al., Am J Hum Genet 2017 (PMID:28777931)
Baati N et al., Biochim Biophys Acta 2017 (PMID:28676454)
Fredenburgh LE et al., Am J Physiol Lung Cell Mol Physiol 2015 (PMID:26320156)
Sanchez I et al., Hum Mol Genet 2016 (PMID:27466200)
Abdel Khalek W et al., PLoS One 2014 (PMID:25489948)
Alan L. Chang et al., Free Radical Biology and Medicine 2014 (PMID:25450328)
Mizushima S et al., Development 2014 (PMID:25249465)
Rosenkilde M et al., Scand J Med Sci Sports 2013 (PMID:24350597)
Demchenko IT et al., Front Mol Neurosci 2022 (PMID:36704328)
Todorova V et al., Mol Neurodegener 2023 (PMID:36882871)
Todorova V et al., Sci Rep 2022 (PMID:36424523)
Katharina I Zittlau et al., Mol Cell Proteomics 2022 (PMID:34974192)
Hagir Suliman et al., Front Physiol 2021 (PMID:34276404)
Leandro J et al., Hum Mol Genet 2020 (PMID:32160276)
Ding CC et al., Nat Metab 2020 (PMID:32462112)
Al-Attar R et al., Gene 2020 (PMID:32777527)
Chao-Chieh Lin et al., bioRxiv 2020 (Epub)
Jo?o Leandro et al., bioRxiv 2019 (Epub)
亦称缩合酶。是三羧酸循环中的一种酶, EC4. 1. 3. 7。是催化来自糖酵解或其它异化反应的乙酰 CoA与草酰乙酸缩合合成柠檬酸反应的酶。因为由乙酰 CoA游离出 CoA是放能反应(Δ G0 ′ =-7.7千卡),以致平衡趋于生成柠檬酸的方向。此酶是变构酶,一般可为 ATP所抑制,在肝脏和其它组织中成为三羧酸循环的限速步骤,存在于线粒体基质( mit-ochondrial matrix)中。
Using N,N,N,N-tetramethyl-p-phenylenediamine (TMPD) to Assay Cyclooxygenase Activity In Vitro
Prostaglandin endoperoxide synthase (PGH synthase), also known as cyclooxygenase (COX), was identified over 30 years ago and is the key enzyme in the pathway by which arachidonic acid is converted to the range of biologically active lipid
Measurement of NO and NO Synthase
Oxide Synthase (NOS) Activity Support Protocol 4: Preparation and Regeneration of Cation‐Exchange Columns Support Protocol 5: Purification of Radiolabeled L‐Arginine Support Protocol
技术资料暂无技术资料 索取技术资料







![B7-H4 antibody [B7H4/2652R]](https://img1.dxycdn.com/2023/0711/451/6106825198874858761-14.jpg!wh200)

