相关产品推荐更多 >
万千商家帮你免费找货
0 人在求购买到急需产品
- 详细信息
- 文献和实验
- 技术资料
- 免疫原:
Recombinant protein encompassing a sequence within the center region of human CD31. The exact sequence is proprietary.
- 亚型:
IgG
- 形态:
Liquid
- 保存条件:
Store as concentrated solution. Centrifuge briefly prior to opening vial. For short-term storage (1-2 weeks), store at 4ºC. For long-term storage, aliquot and store at -20ºC or below. Avoid multiple freeze-thaw cycles.
- 克隆性:
Polyclonal
- 标记物:
Unconjugated
- 适应物种:
Human
- 保质期:
12 months from the shipping date of the product.
- 抗原来源:
Human
- 目录编号:
GTX110602
- 级别:
Primary Antibodies
- 库存:
Available
- 供应商:
GeneTex
- 宿主:
Rabbit
- 应用范围:
WB, IHC-P, IHC-Fr
- 浓度:
1 mg/ml (Please refer to the vial label for the specific concentration.)
- 靶点:
CD31
- 抗体英文名:
CD31 antibody [N3C2], Internal
- 抗体名:
CD31 抗体 [N3C2], Internal
- 规格:
100 μl/25 μl
| 规格: | 100 μl | 产品价格: | ¥4000.0 |
|---|---|---|---|
| 规格: | 25 μl | 产品价格: | ¥1700.0 |
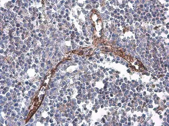
CD31 antibody [N3C2], Internal detects CD31 protein at cell membrane by immunohistochemical analysis.
Sample: Paraffin-embedded human tonsil.
CD31 stained by CD31 antibody [N3C2], Internal (GTX110602) diluted at 1:5000.
Antigen Retrieval: Citrate buffer, pH 6.0, 15 min
Whole cell extract (30 μg) was separated by 5% SDS-PAGE, and the membrane was blotted with CD31 antibody [N3C2], Internal (GTX110602) diluted at 1:10000.
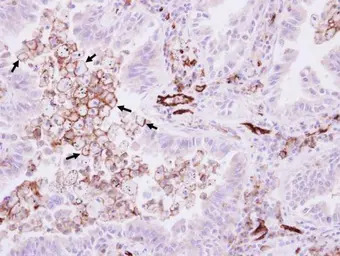
CD31 antibody detects CD31 protein at cell membrane of endothelial cells in human lung cancer by immunohistochemical analysis.
Sample: Paraffin-embedded human lung cancer.
CD31 antibody (GTX110602) diluted at 1:250.
Antigen Retrieval: Trilogy™ (EDTA based, pH 8.0) buffer, 15min
风险提示:丁香通仅作为第三方平台,为商家信息发布提供平台空间。用户咨询产品时请注意保护个人信息及财产安全,合理判断,谨慎选购商品,商家和用户对交易行为负责。对于医疗器械类产品,请先查证核实企业经营资质和医疗器械产品注册证情况。
文献和实验Feng X et al., Mol Med Rep 2017 (PMID:28849224)
Yuliang He et al., Cells 2022 (PMID:35406678)
CD31 分子 CD31 常用单克隆抗体或代号: SG134,TM3,HEC- 75;(PECAM、EndoCAM) 主要表达细胞: Pt,M,G,B,NK,Tsub [AS] 分子质量(kDa)和结构: gp140,血小板GPⅡa(IgSF) 功 能: 嗜同性或嗜异性(与CD38互为受体)粘附,炎症,En功能 CD31 Aka
In the field of therapeutic recombinant proteins, monoclonal antibodies (mAbs) have achieved a rising success with more than 30 mAbs that have reached the market in the past 20 years. From a structural standpoint, one of the most important
. For most substrates, it is believed, though it has been demonstrated experimentally only for a few, that the first ubiquitin moiety is conjugated, via its C-terminal Gly76 residue, to an ε-NH2 group of an internal Lys residue. Recent findings indicate
技术资料暂无技术资料 索取技术资料







![Influenza A virus Nucleoprotein antibody [GT1236]](https://img1.dxycdn.com/2023/0711/451/6106825198874858761-14.jpg!wh200)
![ZNHIT1 antibody [N1C3]](https://img1.dxycdn.com/2023/0516/895/8887749495766728561-14.jpg!wh200)

