相关产品推荐更多 >
万千商家帮你免费找货
0 人在求购买到急需产品
- 详细信息
- 文献和实验
- 技术资料
- 免疫原:
Full length human Bid Recombinant protein.
- 亚型:
IgG
- 形态:
Liquid
- 保存条件:
Store as concentrated solution. Centrifuge briefly prior to opening vial. For short-term storage (1-2 weeks), store at 4ºC. For long-term storage, aliquot and store at -20ºC or below. Avoid multiple freeze-thaw cycles.
- 克隆性:
Polyclonal
- 标记物:
Unconjugated
- 适应物种:
Human, Mouse, Rat
- 保质期:
12 months from the shipping date of the product.
- 抗原来源:
Human
- 目录编号:
GTX110568
- 级别:
Primary Antibodies
- 库存:
Available
- 供应商:
GeneTex
- 宿主:
Rabbit
- 应用范围:
WB, ICC/IF, IHC-P, IP
- 浓度:
1 mg/ml (Please refer to the vial label for the specific concentration.)
- 靶点:
IP/MS validation was supported by references (PMID:30377403)
- 抗体英文名:
Bid antibody [N1C3-2]
- 抗体名:
Bid 抗体 [N1C3-2]
- 规格:
100 μl/25 μl
| 规格: | 100 μl | 产品价格: | ¥4000.0 |
|---|---|---|---|
| 规格: | 25 μl | 产品价格: | ¥1700.0 |
Non-transfected (–) and transfected (+) 293T whole cell extracts (60 μg) were separated by 12% SDS-PAGE, and the membrane was blotted with Bid antibody [N1C3-2] (GTX110568) diluted at 1:1000. The HRP-conjugated anti-rabbit IgG antibody (GTX213110-01) was used to detect the primary antibody.
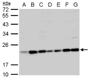
Bid antibody [N1C3-2] detects Bid protein by western blot analysis.
A. 30 μg 293T whole cell lysate/extract
B. 30 μg A431 whole cell lysate/extract
C. 30 μg H1299 whole cell lysate/extract
D. 30 μg HeLa whole cell lysate/extract
E. 30 μg HepG2 whole cell lysate/extract
F. 30 μg Molt-4 whole cell lysate/extract
G. 30 μg Raji whole cell lysate/extract
7.5 % SDS-PAGE
Bid antibody [N1C3-2] (GTX110568) dilution: 1:1000
Immunohistochemical analysis of paraffin-embedded U87 xenograft, using Bid(GTX110568) antibody at 1:500 dilution.
Antigen Retrieval: Citrate buffer, pH 6.0, 15 min
Immunoprecipitation of Bid protein from Jurkat whole cell extracts using 5 μg of Bid antibody [N1C3-2] (GTX110568) or Bid antibody [N1C3] (GTX101323).
Western blot analysis was performed using Bid antibody [N1C3-2] (GTX110568) diluted at 1:500.
EasyBlot anti-Rabbit IgG (GTX221666-01) was used as a secondary reagent.
Bid antibody [N1C3-2] detects Bid protein at cytoplasm by immunofluorescent analysis.
Sample: A431 cells were fixed in 4% PFA at RT for 15 min.
Green: Bid protein stained by Bid antibody [N1C3-2] (GTX110568) diluted at 1:1000.
Red: alpha Tubulin, a cytoskeleton marker, stained by alpha Tubulin antibody [GT114] (GTX628802) diluted at 1:1000.
Blue: Hoechst 33342 staining.
Bid antibody [N1C3-2] detects BID protein at cytoplasm by immunofluorescent analysis.
Sample: HeLa cells were fixed in 2% PFA/culture medium at 37ºC for 30 min.
Green: BID protein stained by Bid antibody [N1C3-2] (GTX110568) diluted at 1:500.
Blue: Hoechst 33343 staining.
Whole cell extract (30 μg) was separated by 12% SDS-PAGE, and the membrane was blotted with Bid antibody [N1C3-2] (GTX110568) diluted at 1:1000.
Various whole cell extracts (30 μg) were separated by 12% SDS-PAGE, and the membrane was blotted with Bid antibody [N1C3-2] (GTX110568) diluted at 1:500.
风险提示:丁香通仅作为第三方平台,为商家信息发布提供平台空间。用户咨询产品时请注意保护个人信息及财产安全,合理判断,谨慎选购商品,商家和用户对交易行为负责。对于医疗器械类产品,请先查证核实企业经营资质和医疗器械产品注册证情况。
文献和实验Ovadje P et al., Oncotarget 2016 (PMID:27564258)
Carpentieri A et al., Cell Death Dis 2015 (PMID:26561783)
Pu YF et al., Int J Clin Exp Pathol 2014 (PMID:24817952)
Sikorski K et al., Nat Methods 2018 (PMID:30377371)
【公告】核酸技术版零应助贴整理2007.8.1-2007.8.10,请大家积极参与讨论,加分从优!
=16&age=0 13. 【求助】原核表达 http://www.dxy.cn/bbs/post/view?bid=64&id=9674925&sty=1&tpg=15&age=0 14. 【求助】dna 表位疫苗所产生的抗体能否被包被的相应的病毒的elisa检测 ? http://www.dxy.cn/bbs/post/view?bid=64&id=9675509&sty=1&tpg=15&age=0 15. 【求助】转染构建的PEGFP-N1重组质粒后荧光比较弱,不能照相,请大家
【资源】Pubmed上mass spectrum,Mass Spectrometry, electrophoresis ,electrophoretic等进行杂志搜索,摘录的大部分杂志---做蛋白组学
Indexed in: Index medicus v9n1, 1988- MEDLINE v9n1, 1988- PubMed v9n1, 1988- Indexing History: Index medicus ceased as a print publication December 2004. MeSH: Electrophoresis* Publication Type(s): Periodicals Notes: Title from cover
=5351560&sty=1&tpg=33&age=0 [求购]IP3 receptor antibody http://www.dxy.cn/bbs/post/view?bid=65&id=5363966&sty=1&tpg=32&age=0 [求助]有关蛋白上样量的问题! http://www.dxy.cn/bbs/post/view?bid=65&id=5360605&sty=1&tpg=32&age=0 [求助]大鼠BDNF有人做过western吗? http://www
技术资料暂无技术资料 索取技术资料







![CD53 antibody [OX-44]](https://custom.dxycdn.com/trademd/upload/pic/2011/12/14/1323695851.jpg!small.t.1)

