相关产品推荐更多 >
万千商家帮你免费找货
0 人在求购买到急需产品
- 详细信息
- 文献和实验
- 技术资料
- 免疫原:
Recombinant human eIF-2-alpha.
- 亚型:
IgG1
- 形态:
Liquid
- 保存条件:
Store as concentrated solution. Centrifuge briefly prior to opening vial. For short-term storage (1-2 weeks), store at 4ºC. For long-term storage, aliquot and store at -20ºC or below. Avoid multiple freeze-thaw cycles.
- 克隆性:
Monoclonal
- 标记物:
Unconjugated
- 适应物种:
Human, Mouse, Rat, Primate
- 保质期:
12 months from the shipping date of the product.
- 抗原来源:
Human
- 目录编号:
GTX25369
- 级别:
Primary Antibodies
- 库存:
Available
- 供应商:
GeneTex
- 宿主:
Mouse
- 应用范围:
WB, ICC/IF, IHC-P, FACS
- 浓度:
Batch dependent (Please refer to the vial label for the specific concentration.)
- 靶点:
This antibody recognizes the alpha subunit of eukaryotic translation initiation factor 2 (eIF-2A).
- 抗体英文名:
eIF2 alpha antibody [EIF2a]
- 抗体名:
eIF2 alpha 抗体 [EIF2a]
- 规格:
50 μg
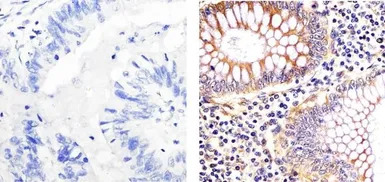
IHC-P analysis of human colon carcinoma tissue using GTX25369 eIF2 alpha antibody [EIF2a].
Right : Primary antibody
Left : Negative control without primary antibody
Antigen retrieval : 10mM sodium citrate (pH 6.0), microwaved for 8-15 min
Dilution : 1:20
ICC/IF analysis of A549 cells using GTX25369 eIF2 alpha antibody [EIF2a]. Panel e is a no primary antibody control.
Green : Primary antibody
Blue : Nuclei
Red : Actin
Fixation : 4% PFA
Permeabilization : 0.25% Triton X-100 for 10 minutes
Dilution : 1:250 dilution in1% BSA and incubated for 3 hours at room temperature
IHC-P analysis of human colon carcinoma tissue using GTX25369 eIF2 alpha antibody [EIF2a].
Right : Primary antibody
Left : Negative control without primary antibody
Antigen retrieval : 10mM sodium citrate (pH 6.0), microwaved for 8-15 min
Dilution : 1:20
WB analysis of whole cell extracts (20 μg lysate) of COS-7 (Lane 1), MCF7 (Lane 2), PC-12 (Lane 3), HeLa (lane 4), Jurkat (lane 5), NIH/3T3 (lane 6) and A-431 (lane 7) using GTX25369 eIF2 alpha antibody [EIF2a].
Dilution : 1:500-1:1000
风险提示:丁香通仅作为第三方平台,为商家信息发布提供平台空间。用户咨询产品时请注意保护个人信息及财产安全,合理判断,谨慎选购商品,商家和用户对交易行为负责。对于医疗器械类产品,请先查证核实企业经营资质和医疗器械产品注册证情况。
文献和实验Wei PC et al., Nucleic Acids Res 2012 (PMID:21908404)
【交流】内质网应激信号通路eIF2a、P-eIF2a Western blot
chengyi1228 各位前辈,我准备做内质网应激通路eIF2a、P-eIF2a两个蛋白的 Western blot。请问谁有这方面经验可以交流一下么? 对细胞处理后多久提P-eIF2a蛋白比较合适呢? 谢谢~ batiwangna 内质网应激比较急,具体时间自己摸索,不过建议不要超过24h 辉辉8916 请问你们还做内质网应激的其他通路吗?像ATF6的检测
In situ hybridisation to alpha satellite sequences (chromosome specific)
Alpha satellite sequences, whilst highly repetitive, are specific to each individual chromosome. These sequences flank the centromeres and can present a target measured in megabases. In this protocol a biotin or digoxigenin labelled DNA
RNA interference:The short answer
factor eIF2a to shut down all protein synthesis, and 28, 58 oligoadenylate synthetase (28, 58-AS), which synthesizes a molecule that activates RNase L, a nonspecific enzyme that targets all mRNAs. The nonspecific pathway represents a host response
技术资料暂无技术资料 索取技术资料





![HLA-ABCE antibody [TP25.99SF] (PE)](https://img1.dxycdn.com/2023/0711/451/6106825198874858761-14.jpg!wh200)



