相关产品推荐更多 >
万千商家帮你免费找货
0 人在求购买到急需产品
- 详细信息
- 文献和实验
- 技术资料
- 免疫原:
Synthetic peptide corresponding to residues R(12) K R R K P(17) V(22) K P I P A E G I K(31) of human AhR.
- 亚型:
IgG1
- 形态:
Liquid
- 保存条件:
Store as concentrated solution. Centrifuge briefly prior to opening vial. For short-term storage (1-2 weeks), store at 4ºC. For long-term storage, aliquot and store at -20ºC or below. Avoid multiple freeze-thaw cycles.
- 克隆性:
Monoclonal
- 标记物:
Unconjugated
- 适应物种:
Human, Mouse, Rat, Pig, Primate
- 保质期:
12 months from the shipping date of the product.
- 抗原来源:
Human
- 目录编号:
GTX22770
- 级别:
Primary Antibodies
- 库存:
Available
- 供应商:
GeneTex
- 宿主:
Mouse
- 应用范围:
WB, ICC/IF, IHC-P, IP, ELISA, ChIP assay
- 靶点:
AHR
- 抗体英文名:
AHR antibody [RPT1]
- 抗体名:
AHR 抗体 [RPT1]
- 规格:
100 μl
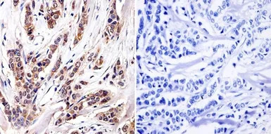
IHC-P analysis of human breast carcinoma tissue using GTX22770 AHR antibody [RPT1].
Left : Primary antibody
Right : Negative control without primary antibody
Antigen retrieval : heat induced antigen retrieval was performed using 10mM sodium citrate (pH6.0) buffer, microwaved for 8-15 minutes
Dilution : 1:100
WB analysis of 20 ug of HepG2, U2OS, and K562 whole cell lysates using GTX22770 AHR antibody [RPT1].
Dilution : 1:1000
ICC/IF analysis of NIH-3T3 cells using GTX22770 AHR antibody [RPT1]. Cells were probed without (right) or with(left) an antibody.
Green : Primary antibody
Blue : Nuclei
Red : Actin
Fixation : formaldehyde
Dilution : 1:200 overnight at 4ºC
风险提示:丁香通仅作为第三方平台,为商家信息发布提供平台空间。用户咨询产品时请注意保护个人信息及财产安全,合理判断,谨慎选购商品,商家和用户对交易行为负责。对于医疗器械类产品,请先查证核实企业经营资质和医疗器械产品注册证情况。
文献和实验Floreani M et al., PLoS One 2013 (PMID:23626760)
Su HH et al., Toxicology 2016 (PMID:27697457)
Mariuzzi L et al., Lab Invest 2016 (PMID:27348627)
Zhong C et al., Am J Cancer Res 2022 (PMID:35812057)
Iizuka T et al., Proc Natl Acad Sci U S A 2022 (PMID:36375056)
Zhan Y et al., BMC Med 2022 (PMID:36258210)
Xiaoyuan Ma et al., Front Microbiol 2022 (PMID:35572636)
Reynolds WJ et al., FASEB J 2020 (PMID:32915475)
Sadik A et al., Cell 2020 (PMID:32818467)
to the animal and provides biologically meaningful samples. Only personnel with appropriate AHR training may handle live animals. Isoflourane inhalation: This should be given in sufficient dose to cause complete loss of breathing and pulse in the mouse. Apply
技术资料暂无技术资料 索取技术资料





![CNGA2 antibody [C1C3]](https://img1.dxycdn.com/2023/0516/050/2572066211091928561-14.jpg!wh200)



