相关产品推荐更多 >
万千商家帮你免费找货
0 人在求购买到急需产品
- 详细信息
- 文献和实验
- 技术资料
- 免疫原:
Recombinant fragment corresponding to the v4 domain of human CD44
- 亚型:
IgG2a
- 形态:
Liquid
- 保存条件:
Store as concentrated solution. Centrifuge briefly prior to opening vial. For short-term storage (1-2 weeks), store at 4ºC. For long-term storage, aliquot and store at -20ºC or below. Avoid multiple freeze-thaw cycles.
- 克隆性:
Monoclonal
- 标记物:
Unconjugated
- 适应物种:
Human
- 保质期:
12 months from the shipping date of the product.
- 抗原来源:
Human
- 目录编号:
GTX34520
- 级别:
Primary Antibodies
- 库存:
Available
- 供应商:
GeneTex
- 宿主:
Mouse
- 应用范围:
IHC-P
- 浓度:
0.2 mg/ml (Please refer to the vial label for the specific concentration.)
- 靶点:
This antibody recognizes an epitope encoded by exon v4 on the variant portion of human CD44.
- 抗体英文名:
CD44v4 antibody [CD44v4/1219]
- 抗体名:
CD44v4 抗体 [CD44v4/1219]
- 规格:
100 μg
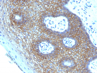
IHC-P analysis of human tongue squamous cell carcinoma tissue using GTX34520 CD44v4 antibody [CD44v4/1219].
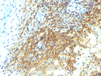
IHC-P analysis of human cervical squamous cell carcinoma tissue using GTX34520 CD44v4 antibody [CD44v4/1219].
风险提示:丁香通仅作为第三方平台,为商家信息发布提供平台空间。用户咨询产品时请注意保护个人信息及财产安全,合理判断,谨慎选购商品,商家和用户对交易行为负责。对于医疗器械类产品,请先查证核实企业经营资质和医疗器械产品注册证情况。
文献和实验人可溶性CD44v6(sCD44v6)ELISA试剂盒 说明书
上海西唐生物科技有限公司 021-55229872, 65333639 www.westang.com 人可溶性CD44v6 (sCD44v6)ELISA 试剂盒 ( 用于血清、血浆、细胞培养上清液和其它生物体液内 ) 原理 本实验采用双抗体夹心 ABC-ELISA 法。用抗人 sCD44v6 单抗包被于酶标板上,标准品和样品中的 sCD44v6与单抗结合,加入生物素化的抗人
To engineer or manipulate antibody or Fv-based molecules, isolation of the V region of the antibodies is necessary. A number of strategies can be adopted for amplification; one such approach is to use subgroup-specific oligonucleotides
7.5, 150 mM NaCl, and1% (v/v) Triton X-100. 7. Suitable SDS-PAGE and transfer setup as in Section 2.4.1 . 8. Protein Sample Loading Dye (4×) as in Section 2.4.1 . 9. Nitrocellulose or PVDF membrane. 10. Mouse anti-β-catenin antibody (available
技术资料暂无技术资料 索取技术资料







![Nucleophosmin antibody [5A4]](https://img1.dxycdn.com/2023/0711/451/6106825198874858761-14.jpg!wh200)


