相关产品推荐更多 >
万千商家帮你免费找货
0 人在求购买到急需产品
- 详细信息
- 文献和实验
- 技术资料
- 免疫原:
Synthetic peptide corresponding to residues E S R D E T V S G A, conjugated to ovalbumin.
- 亚型:
IgG1
- 形态:
Liquid
- 保存条件:
Store as concentrated solution. Centrifuge briefly prior to opening vial. For short-term storage (1-2 weeks), store at 4ºC. For long-term storage, aliquot and store at -20ºC or below. Avoid multiple freeze-thaw cycles.
- 克隆性:
Monoclonal
- 标记物:
Unconjugated
- 适应物种:
Human, Bovine
- 保质期:
12 months from the shipping date of the product.
- 抗原来源:
Human
- 目录编号:
GTX79463
- 级别:
Primary Antibodies
- 库存:
Available
- 供应商:
GeneTex
- 宿主:
Mouse
- 应用范围:
WB, IHC-P, FACS, ELISA, IHC
- 靶点:
CYP3A7
- 抗体英文名:
CYP3A7 antibody [F19 P2 H2]
- 抗体名:
CYP3A7 抗体 [F19 P2 H2]
- 规格:
100 μl
WB analysis of 25 ug of HepG2 (lane 1), Hela (lane 2) and HT29 (lane 3) cell lysates using GTX79463 CYP3A7 antibody [F19 P2 H2].
Dilution : 1:1000
FACS analysis of HepG2 cells using GTX79463 CYP3A7 antibody [F19 P2 H2] compared to an isotype control (blue).
Dilution : 1:80 for 60 min at room temperature
Fixation : 2% PFA
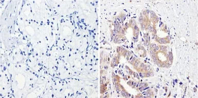
IHC-P analysis of human prostate carcinoma tissue using GTX79463 CYP3A7 antibody [F19 P2 H2].
Right : Primary antibody
Left : Negative control without primary antibody
Antigen retrieval : 10mM sodium citrate (pH 6.0) microwaved for 8-15 min
Dilution : 1:200
FACS analysis of Hela cells using GTX79463 CYP3A7 antibody [F19 P2 H2] compared to an isotype control (blue).
Dilution : 0.5 ug/test incubated for 30 min at 4ºC
Fixation : 2% PFA
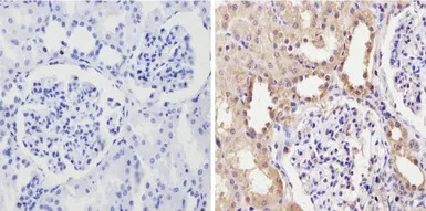
IHC-P analysis of human kidney tissue using GTX79463 CYP3A7 antibody [F19 P2 H2].
Right : Primary antibody
Left : Negative control without primary antibody
Antigen retrieval : 10mM sodium citrate (pH 6.0) microwaved for 8-15 min
Dilution : 1:100
FACS analysis of HT29 cells using GTX79463 CYP3A7 antibody [F19 P2 H2] compared to an isotype control (blue).
Dilution : 1:40 for 60 min at room temperature
Fixation : 2% PFA
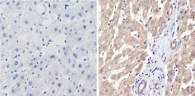
IHC-P analysis of human liver tissue using GTX79463 CYP3A7 antibody [F19 P2 H2].
Right : Primary antibody
Left : Negative control without primary antibody
Antigen retrieval : 10mM sodium citrate (pH 6.0) microwaved for 8-15 min
Dilution : 1:200
风险提示:丁香通仅作为第三方平台,为商家信息发布提供平台空间。用户咨询产品时请注意保护个人信息及财产安全,合理判断,谨慎选购商品,商家和用户对交易行为负责。对于医疗器械类产品,请先查证核实企业经营资质和医疗器械产品注册证情况。
文献和实验/pTLWtREdsSb1m+0F19c7mS4tU22y2K+XTt6bdOmba7NhsQ3RLSXPvecrV27erdtsS643bMTZCoC/RhMQaDMbDFEBPYeBAb30L1HqihJRCAiEBGICEQE9jkE/iND6sBkPLSp2jKNvDTKeVu7arOdfto8LTl9pJ01b64dP+coe/rZJda9Y6PNOeEYu/jtF9opJ51qH/noJ2SW0bSVqzfaZz7/BWmE0QNn7LtXfs++853viPAyYU6kV8tSv7x8mf0n
[资源] 所有的看家基因(housekeeping genes)列表+引物设计服务
, H+ transporting, lysosomal interacting protein 1 (ATP6IP1), mRNA 1089 NM_003526 Homo sapiens H2B histone family, member L (H2BFL), mRNA 2232 NM_004718 Homo sapiens cytochrome c oxidase subunit VIIa polypeptide 2 like (COX7A2L), nuclear gene
静脉内皮细胞的体外培养、鉴定及形态观察 1.标本采集 在无菌条件下于健康产妇分娩后立即取新生儿脐带, 挤出脐带血管中的血液,放入装有含青链霉素的PBS液瓶中,2h之内行脐静脉内皮细胞培养。 双抗:青霉素100u/ml; 链霉素100μl/ml PBS:KCl 0.2 g/L, KH2PO4 0.24 g/L, NaCl 8.0g/L, Na2HPO4•7H2O 1.56g/L或Na2HPO4 1.44 g/L。 在800ml蒸馏水中加入上述质量物质,用盐酸调节溶液的pH值至7.4,加水定容至1L,高压
技术资料暂无技术资料 索取技术资料





![Alpha fetoprotein / AFP antibody [A4]](https://img1.dxycdn.com/2023/0711/451/6106825198874858761-14.jpg!wh200)



