相关产品推荐更多 >
万千商家帮你免费找货
0 人在求购买到急需产品
- 详细信息
- 文献和实验
- 技术资料
- 免疫原:
The antiserum was produced against synthesized phosphopeptide derived from human PTEN around the phosphorylation site of serine 380 and threonine 382/383 (R-Y-Sp-D-Tp-Tp-D-S).
- 亚型:
IgG
- 形态:
Liquid
- 保存条件:
Store as concentrated solution. Centrifuge briefly prior to opening vial. For short-term storage (1-2 weeks), store at 4ºC. For long-term storage, aliquot and store at -20ºC or below. Avoid multiple freeze-thaw cycles.
- 克隆性:
Polyclonal
- 标记物:
Unconjugated
- 适应物种:
Human
- 保质期:
12 months from the shipping date of the product.
- 抗原来源:
Human
- 目录编号:
GTX78959
- 级别:
Primary Antibodies
- 库存:
Available
- 供应商:
GeneTex
- 宿主:
Rabbit
- 应用范围:
WB, IHC-P
- 浓度:
Batch dependent (Please refer to the vial label for the specific concentration.)
- 靶点:
PTEN (phospho Ser380/Thr382/Thr383)
- 抗体英文名:
PTEN (phospho Ser380/Thr382/Thr383) antibody
- 抗体名:
PTEN (phospho Ser380/Thr382/Thr383) 抗体
- 规格:
100 μg
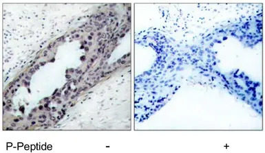
IHC-P analysis of human breast carcinoma tissue using GTX78959 PTEN (phospho Ser380/Thr382/Thr383) antibody.
WB analysis of HT29 cells untreated or treated with calyculin A lysates using GTX78959 PTEN (phospho Ser380/Thr382/Thr383) antibody.
风险提示:丁香通仅作为第三方平台,为商家信息发布提供平台空间。用户咨询产品时请注意保护个人信息及财产安全,合理判断,谨慎选购商品,商家和用户对交易行为负责。对于医疗器械类产品,请先查证核实企业经营资质和医疗器械产品注册证情况。
文献和实验Using Phospho‐Motif Antibodies to Determine Kinase Substrates
comprising both the phosphorylated residue and the surrounding residues that determine kinase specificity, with degenerate residues taking up the remaining positions. Currently, several categories of phospho?motif antibody are commercially available
Optimized Protocol to Make Phospho-Specific Antibodies that Work
, not simply its level of expression. In this review, we will discuss both the design of the phosphopeptide immunogen and immunization. The affinity purification of the phospho-specific antibody as well as the methods most suitable for characterizing
Measurement of PTEN Activity in vivo by Imaging Phosphorylated Akt
-dependent activation and phosphorylation of the survival kinase Akt can be used as readout for cellular PTEN activity. Here we have outlined a detailed procedure employing a phosphoserine-specific anti-Akt antibody to examine the content of phosphorylated
技术资料暂无技术资料 索取技术资料





![Androgen Receptor (ARv7 Splice Variant) antibody [HL1239]](https://img1.dxycdn.com/2023/0711/058/8406876405285858761-14.jpg!wh200)



