相关产品推荐更多 >
万千商家帮你免费找货
0 人在求购买到急需产品
- 详细信息
- 文献和实验
- 技术资料
- 免疫原:
Mouse spleen cells.
- 亚型:
IgG2a
- 形态:
Liquid
- 保存条件:
Store as concentrated solution. Centrifuge briefly prior to opening vial. For short-term storage (1-2 weeks), store at 4ºC. For long-term storage, aliquot and store at -20ºC or below. Avoid multiple freeze-thaw cycles.
- 克隆性:
Monoclonal
- 标记物:
Unconjugated
- 适应物种:
Mouse
- 保质期:
12 months from the shipping date of the product.
- 抗原来源:
Mouse
- 目录编号:
GTX41819
- 级别:
Primary Antibodies
- 库存:
Available
- 供应商:
GeneTex
- 宿主:
Rat
- 应用范围:
ICC/IF, IHC-Fr, FACS
- 浓度:
1 mg/ml (Please refer to the vial label for the specific concentration.)
- 靶点:
This antibody recognizes a non polymorphic epitope on the mouse CD8 alpha chain.
- 抗体英文名:
CD8 alpha antibody [YTS105.18] (Low endotoxin, azide free)
- 抗体名:
CD8 alpha 抗体 [YTS105.18] (Low endotoxin, azide free)
- 规格:
500 μg
IHC-Fr analysis of a mouse lymph node with Rat anti mouse CD19, clone 6D5 (GTX75012), green in A and Rat anti Mouse CD8 (GTX41819), red in B. Merged image in C with nuclei counterstained blue using DAPI. High power
IHC-Fr analysis of mouse lymph node with Rat anti Mouse CD11b, clone 5C6 , green in A and Rat anti Mouse CD8, clone YTS105.18 (GTX41819), red in B. C is the merged image with nuclei counterstained blue using DAPI. Low power
IHC-Fr analysis of a mouse lymph node with Rat anti mouse CD19, clone 6D5 (GTX75012), green in A and Rat anti Mouse CD8 (GTX41819), red in B. Merged image in C wiih nuclei counterstained blue using DAPI. Low power
IHC-Fr analysis of mouse lymph node tissue using GTX41819 CD8 antibody [YTS105.18] (Low endotoxin, azide free).
IHC-Fr analysis of mouse lymph node tissue using GTX41819 CD8 antibody [YTS105.18] (Low endotoxin, azide free).
IHC-Fr analysis of mouse lymph node using Rat anti Mouse CD11b antibody (GTX76454), green in A and Rat anti Mouse CD8 antibody (GTX41819), red in B, Merged image in C
IHC-Fr analysis of mouse lymph node with Rat anti Mouse Ly-6B.2 antibody, clone 7/4 , green in A and Rat anti Mouse CD8 antibody, clone YTS105.18 (GTX41819), red in B. C is the merged image with nuclei counterstained blue using DAPI. High power
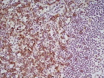
FACS analysis of mouse spleen cells using GTX41819 CD8 antibody [YTS105.18] (Low endotoxin, azide free).
IHC-Fr analysis of mouse lymph node with Rat anti Mouse CD11b, clone 5C6, green in A and Rat anti Mouse CD8, clone YTS105.18 (GTX41819), red in B. C is the merged image with nuclei counterstained blue using DAPI. High power
IHC-Fr analysis of mouse lymph node tissue using GTX41819 CD8 antibody [YTS105.18] (Low endotoxin, azide free).
风险提示:丁香通仅作为第三方平台,为商家信息发布提供平台空间。用户咨询产品时请注意保护个人信息及财产安全,合理判断,谨慎选购商品,商家和用户对交易行为负责。对于医疗器械类产品,请先查证核实企业经营资质和医疗器械产品注册证情况。
文献和实验Wu L et al., Theranostics 2022 (PMID:34976216)
Purification of Endotoxin Free mAbs
pressure of circulation to force water out through the membrane, and rapidly concentrating the antibody/proteins up to 100 fold. The advantage of this method is very large volumes can be processed using sterile and endotoxin free components. Ammonium
In situ hybridisation to alpha satellite sequences (chromosome specific)
Alpha satellite sequences, whilst highly repetitive, are specific to each individual chromosome. These sequences flank the centromeres and can present a target measured in megabases. In this protocol a biotin or digoxigenin labelled DNA
Isolation of Untouched Human CD8+ T Cells from Peripheral Blood Mononuclear Cells (PBMC)
实验原理 A mixture of biotinylated monoclonal antibodies against the non-CD8 T cells is added to the starting sample and allowed to bind to the cells. Depletion MyOne™ SA Dynabeads® are added and will bind to the antibody
技术资料暂无技术资料 索取技术资料






![FBL4 antibody [C1C3]](https://img1.dxycdn.com/2023/0516/050/2572066211091928561-14.jpg!wh200)
![Myoglobin antibody [rMB/2105]](https://img1.dxycdn.com/2023/0711/451/6106825198874858761-14.jpg!wh200)
![alpha Smooth Muscle Actin antibody [HL1419]](https://img1.dxycdn.com/2023/0711/058/8406876405285858761-14.jpg!wh200)


