相关产品推荐更多 >
万千商家帮你免费找货
0 人在求购买到急需产品
- 详细信息
- 文献和实验
- 技术资料
- 免疫原:
A synthetic methylated peptide corresponding to residues surrounding R26 of human histone H3
- 亚型:
IgG
- 形态:
Liquid
- 保存条件:
Store as concentrated solution. Centrifuge briefly prior to opening vial. For short-term storage (1-2 weeks), store at 4ºC. For long-term storage, aliquot and store at -20ºC or below. Avoid multiple freeze-thaw cycles.
- 克隆性:
Polyclonal
- 标记物:
Unconjugated
- 适应物种:
Human, Mouse
- 保质期:
12 months from the shipping date of the product.
- 抗原来源:
Human
- 目录编号:
GTX54139
- 级别:
Primary Antibodies
- 库存:
Available
- 供应商:
GeneTex
- 宿主:
Rabbit
- 应用范围:
WB, ICC/IF, IHC-P, Dot
- 浓度:
1 mg/ml (Please refer to the vial label for the specific concentration.)
- 靶点:
Histone H3R26me1 (mono-methyl Arg26)
- 抗体英文名:
Histone H3R26me1 (mono-methyl Arg26) antibody
- 抗体名:
Histone H3R26me1 (mono-methyl Arg26) 抗体
- 规格:
100 μl
ICC/IF analysis of 293T cells using GTX54139 Histone H3R26me1 (mono-methyl Arg26) antibody.
Blue : DAPI
WB analysis of various sample lysates using GTX54139 Histone H3R26me1 (mono-methyl Arg26) antibody.
Loading : 25μg per lane
Dot blot analysis of all sorts of methylation peptides using GTX54139 Histone H3R26me1 (mono-methyl Arg26) antibody.
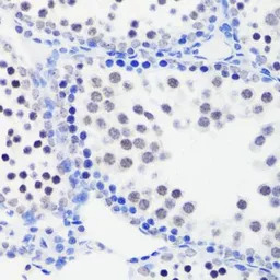
IHC-P analysis of mouse testis tissue using GTX54139 Histone H3R26me1 (mono-methyl Arg26) antibody.
Dilution : 1:100
风险提示:丁香通仅作为第三方平台,为商家信息发布提供平台空间。用户咨询产品时请注意保护个人信息及财产安全,合理判断,谨慎选购商品,商家和用户对交易行为负责。对于医疗器械类产品,请先查证核实企业经营资质和医疗器械产品注册证情况。
文献和实验Analysis of Linker Histone Binding to Mono- and Dinucleosomes
The assembly of DNA into the eukaryotic nucleus via an ascending hierarchy of intermediate chromatin structures has two major functional consequences: 1. The intermediate chromatin
Determination of Histone Methylation in Mono- and Dicotyledonous Plants
. It has been found that the methylation pattern in the histone H3 may provide understanding of the process involved in cell differentiation, adaptation, and evolution in plants. In this work, we detail a method for isolation of nuclear proteins from small amount of sample to identify
Methods for Analyzing Histone Citrullination in Chromatin Structure and Gene Regulation
4, also called PADI4), which converts both histone arginine (Arg) and mono-methyl arginine residues to citrulline. Recent studies have found that histone citrullination counteracts the effect of histone arginine methylation and functions as a repressive marker to turn
技术资料暂无技术资料 索取技术资料







![mTOR antibody [GT6611]](https://img1.dxycdn.com/2023/0711/451/6106825198874858761-14.jpg!wh200)

