相关产品推荐更多 >
万千商家帮你免费找货
0 人在求购买到急需产品
- 详细信息
- 文献和实验
- 技术资料
- 免疫原:
KLH conjugated synthetic peptide between 181-207 amino acids from the C-terminal region of human TRAP.
- 亚型:
IgG
- 形态:
Liquid
- 保存条件:
Store as concentrated solution. Centrifuge briefly prior to opening vial. For short-term storage (1-2 weeks), store at 4ºC. For long-term storage, aliquot and store at -20ºC or below. Avoid multiple freeze-thaw cycles.
- 克隆性:
Polyclonal
- 标记物:
Unconjugated
- 适应物种:
Human
- 保质期:
12 months from the shipping date of the product.
- 抗原来源:
Human
- 目录编号:
GTX81853
- 级别:
Primary Antibodies
- 库存:
Available
- 供应商:
GeneTex
- 宿主:
Rabbit
- 应用范围:
WB, IHC-P, FACS
- 浓度:
Batch dependent (Please refer to the vial label for the specific concentration.)
- 靶点:
CD40L / CD154
- 抗体英文名:
CD40L / CD154 antibody, C-term
- 抗体名:
CD40L / CD154 抗体, C-term
- 规格:
400 μl
WB analysis of K562 cell lysate (35ug/lane) using GTX81853 CD40L / CD154 antibody, C-term.
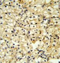
IHC-P analysis of human kidney carcinoma using GTX81853 CD40L / CD154 antibody, C-term.
FACS analysis of K562 cells using GTX81853 CD40L / CD154 antibody, C-term.
Green : primary antibody
Blue : negative control
风险提示:丁香通仅作为第三方平台,为商家信息发布提供平台空间。用户咨询产品时请注意保护个人信息及财产安全,合理判断,谨慎选购商品,商家和用户对交易行为负责。对于医疗器械类产品,请先查证核实企业经营资质和医疗器械产品注册证情况。
文献和实验CD3/ CD4 /CD8 T cell subset counts
Description Procedure for CD3/ CD4 /CD8 T cell subset counts using CD3-FITC / CD4-PE / CD8-PECy5 antibody Procedure 1. One 5 ml round bottom tube (Falcon) is taken per blood sample to be analyzed. The tube is labeled, which includes
CD40 分子 CD40 常用单克隆抗体或代号: G28- 5,EA- 5 主要表达细胞: B,M,FDC,并指细胞,上皮 [B] 分子质量(kDa)和结构: gp50(TNFR- SF) 功 能: B细胞生长、分化和记忆细胞产生,配体为CD40L,T- B相互作用 CD40 Plays a central role in regulating cell-mediated
transfer of residual antibody. Vials of Dynabeads® CD3⁄CD28 CTS™ are at negative pressure – liquid must be displaced with air and vice versa. 2) Place one 10 ml vial of Dynabeads® CD3⁄CD28 CTS™ on the MPC-1 for 1 min. 3)
技术资料暂无技术资料 索取技术资料







![c-Myc antibody [SPM237]](https://img1.dxycdn.com/2023/0711/451/6106825198874858761-14.jpg!wh200)
![ENPP6 antibody [N1C1]](https://img1.dxycdn.com/2023/0516/050/2572066211091928561-14.jpg!wh200)

