相关产品推荐更多 >
万千商家帮你免费找货
0 人在求购买到急需产品
- 详细信息
- 文献和实验
- 技术资料
- 免疫原:
KLH conjugated synthetic peptide between 911-940 amino acids from the C-terminal region of human Myosin 1C (MYO1C).
- 亚型:
IgG
- 形态:
Liquid
- 保存条件:
Store as concentrated solution. Centrifuge briefly prior to opening vial. For short-term storage (1-2 weeks), store at 4ºC. For long-term storage, aliquot and store at -20ºC or below. Avoid multiple freeze-thaw cycles.
- 克隆性:
Polyclonal
- 标记物:
Unconjugated
- 适应物种:
Human
- 保质期:
12 months from the shipping date of the product.
- 抗原来源:
Human
- 目录编号:
GTX81898
- 级别:
Primary Antibodies
- 库存:
Available
- 供应商:
GeneTex
- 宿主:
Rabbit
- 应用范围:
WB, IHC-P
- 浓度:
Batch dependent (Please refer to the vial label for the specific concentration.)
- 靶点:
Myosin 1C
- 抗体英文名:
Myosin 1C antibody, C-term
- 抗体名:
Myosin 1C 抗体, C-term
- 规格:
400 μl
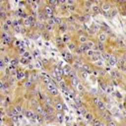
IHC-P analysis of human prostata carcinoma using GTX81898 Myosin 1C antibody, C-term.
WB analysis of K562 cell lysate (35ug/lane) using GTX81898 Myosin 1C antibody, C-term.
风险提示:丁香通仅作为第三方平台,为商家信息发布提供平台空间。用户咨询产品时请注意保护个人信息及财产安全,合理判断,谨慎选购商品,商家和用户对交易行为负责。对于医疗器械类产品,请先查证核实企业经营资质和医疗器械产品注册证情况。
文献和实验【求助】请教:myosin 2 和 nonmuscle myosin2有何区别
of these properties. Myosin II contains two heavy chains, each about 2000 amino acids in length, which constitute the head and tail domains. Each of these heavy chains contains the N-terminal head domain, while the C-terminal tails take on a coiled-coil
In Situ Binding Assay to Detect Myosin-1c Interactions with Hair-Cell Proteins
Myosin-1c is an unconventional myosin involved in hair-cell mechanotransduction, a process that underlies our senses of hearing and balance. To study the interaction of myosin-1c with other components of the hair-cell transduction complex
Myosin Light Chain Preparation
Buffer A.Homogenizing Buffer: 28 liters: 50 mM KCl,20 mM Tris (pH 8.0),15 mM MCE, 0.2 mM MgAc2 (350 ml 4 M KCl,280 ml 2 M Tris,28 ml 15 M MCE,1.20 g MgAc2) Buffer B.Triton X-100 Buffer: 4 liters of Buffer A plus 40 ml X-100 (1% Triton final) Buffer C
技术资料暂无技术资料 索取技术资料









